医影在线
标题: CT11017:M20Y,面部肿块 [打印本页]
作者: 8314337 时间: 2007-12-23 19:32
标题: CT11017:M20Y,面部肿块
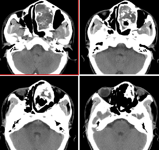
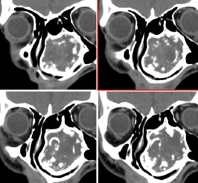
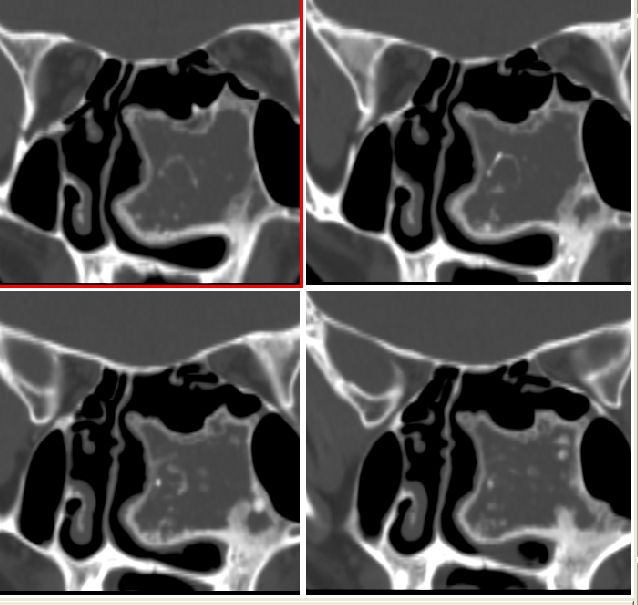
男性,20岁,面部包块8年余,进行性增大









我们考虑来源于上颌骨的骨化性纤维瘤,请大家指教
[本贴已被 jiajie 于 2007-12-23 11:58:22 修改过]
作者: tao772 时间: 2007-12-23 20:42
良性病变,考虑起源鼻腔乳头状瘤。建议活检,期待结果。
作者: 胡宇 时间: 2007-12-23 21:03
良性病变,考虑起源鼻腔乳头状瘤。建议活检,期待结果。
作者: qiuleiyu 时间: 2007-12-23 21:33
左侧鼻腔内囊性膨胀性骨质破坏,内示多发点环状钙化,周边骨质硬化.局部与上颌相连部骨质呈毛玻璃样改变.
考虑良性病变;1,上颌骨来源向鼻腔生长,软骨类肿瘤.2,骨化性纤维瘤.3,鼻腔霉菌感染.
作者: gedong 时间: 2007-12-23 21:49
左侧鼻腔内囊性膨胀性骨质破坏,内示多发点环状钙化,周边骨质硬化.
良性病变。骨化性纤维瘤首先考虑。
作者: zjzjr 时间: 2007-12-23 21:58
左侧上颌骨骨化性纤维瘤.
作者: xulianj 时间: 2007-12-23 22:29
左侧上颌骨骨化性纤维瘤.支持
作者: dyqct 时间: 2007-12-23 22:51
标题: 回复:ct11017:m20y,面部肿块
以下是引用zjzjr在2007-12-23 13:58:00的发言:[br]左侧上颌骨骨化性纤维瘤.
不除外含牙性肿瘤。
作者: 同 时间: 2007-12-23 23:08
左侧上颌骨骨化性纤维瘤可能性大.
作者: 悬壶济世 时间: 2007-12-24 00:20
考虑骨化性纤维瘤
作者: ydx_74 时间: 2007-12-24 00:24
来源于上颌骨及鼻腔,骨化性纤维瘤、血管纤维瘤、内翻乳头状瘤均有可能
作者: 王仕学 时间: 2007-12-24 00:37
左侧上颌骨骨化性纤维瘤.支持
作者: 张佳 时间: 2007-12-24 00:55
左侧上颌骨化牙骨质纤维瘤
作者: zhengfaming 时间: 2007-12-24 02:20
支持骨化性纤维瘤
作者: shenhs 时间: 2007-12-24 02:26
考虑骨化性纤维瘤
作者: 宇宙ct 时间: 2007-12-24 02:59
支持骨化性纤维瘤
作者: yy杨洋 时间: 2007-12-24 03:05
标题: 回复:ct11017:m20y,面部肿块
以下是引用gedong在2007-12-23 13:49:00的发言:[br]左侧鼻腔内囊性膨胀性骨质破坏,内示多发点环状钙化,周边骨质硬化.[br]良性病变。骨化性纤维瘤首先考虑。
作者: 天南地北 时间: 2007-12-24 03:36
标题: 回复:ct11017:m20y,面部肿块
以下是引用zjzjr在2007-12-23 13:58:00的发言:[br]左侧上颌骨骨化性纤维瘤.
作者: 国王 时间: 2007-12-24 03:42
左侧上颌骨骨化性纤维瘤可能性大
作者: wzr 时间: 2007-12-24 03:46
左侧上颌骨骨化性纤维瘤.
不除外含牙性肿瘤。
作者: wy232326 时间: 2007-12-24 04:09
左侧上颌骨骨化性纤维瘤可能性大.
作者: liaizhi 时间: 2007-12-24 05:26
支持骨化性纤维瘤.骨瘤(疏松型)不除.
作者: litianjin 时间: 2007-12-24 05:54
骨化性纤维瘤
作者: wansheng 时间: 2007-12-24 06:04
左侧上颌骨骨化性纤维瘤可能性大.
作者: 卜一 时间: 2007-12-24 17:29
左侧上颌骨骨化性纤维瘤可能性大!
作者: wj2039 时间: 2007-12-24 17:33
支持骨化性纤维瘤
作者: 琥珀人 时间: 2007-12-24 18:14
左侧上颌骨骨化性纤维瘤可能性大
作者: 拾荒者 时间: 2007-12-25 02:58
病变较大,密度不均,内见钙化及脂肪密度影,边缘锐利,相邻窦腔清晰,病史较长,考虑良性病变间叶性错构瘤可能。
作者: zyx168 时间: 2007-12-26 06:46
左侧上颌骨骨化性纤维瘤.
支持.
| 欢迎光临 医影在线 (http://bbs.radida.com/bbs/) |
Powered by Discuz! X3.2 |