医影在线
标题: CT11018:男性 76岁下颌右侧磨牙区肿物数月 [打印本页]
作者: 黑白影子 时间: 2007-12-23 21:47
标题: CT11018:男性 76岁下颌右侧磨牙区肿物数月
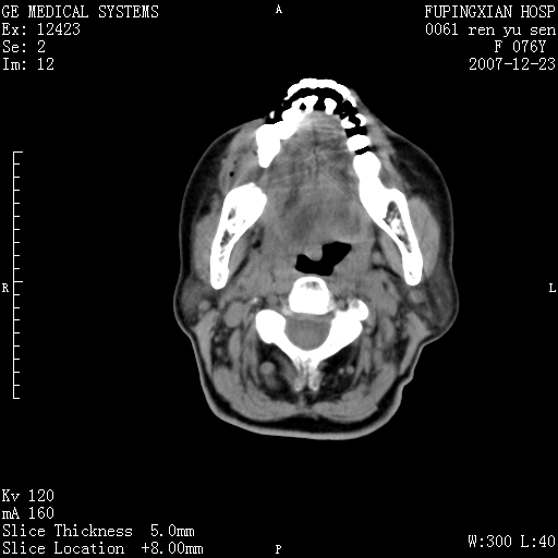
男性 76岁 下颌右侧磨牙区肿物数月, 约2.0*1.5cm大小波及颊舌侧,伴颌下淋巴结肿大。余(-)






























[本贴已被 jiajie 于 2007-12-23 16:46:14 修改过]
作者: zjzjr 时间: 2007-12-23 21:53
右颈部颌下腺前可见一类圆形软组织密度影,密度不均,内见小片坏死区.颌下颈前可见两枚肿大淋巴结影.考虑淋巴结感染可能性大,建议增强扫描..
作者: xulianj 时间: 2007-12-23 22:35
感染性病变可能性大,建议抗炎治疗后复查。
作者: dyqct 时间: 2007-12-23 22:52
标题: 回复:男性 76岁
以下是引用zjzjr在2007-12-23 13:53:00的发言:[br]右颈部颌下腺前可见一类圆形软组织密度影,密度不均,内见小片坏死区.颌下颈前可见两枚肿大淋巴结影.考虑淋巴结感染可能性大,建议增强扫描..
支持!!
作者: 同 时间: 2007-12-23 23:10
标题: 回复:男性 76岁
以下是引用zjzjr在2007-12-23 13:53:00的发言:[br]右颈部颌下腺前可见一类圆形软组织密度影,密度不均,内见小片坏死区.颌下颈前可见两枚肿大淋巴结影.考虑淋巴结感染可能性大,建议增强扫描..
作者: ydx_74 时间: 2007-12-24 00:27
感染性病变,炎性脓肿可能
作者: 王仕学 时间: 2007-12-24 00:35
感染性病变可能性大,建议抗炎治疗后复查。
作者: andymaomao 时间: 2007-12-24 00:39
考虑牙周炎并颌下淋巴结肿大(感染)可能!
作者: shiqingfa 时间: 2007-12-24 01:47
右颈部颌下腺前可见一类圆形软组织密度影,密度不均,内见小片坏死区.颌下颈前可见两枚肿大淋巴结影.考虑淋巴结感染可能性大,建议增强扫描..
支持
作者: zhengfaming 时间: 2007-12-24 02:13
还是感染可能性大点
作者: shenhs 时间: 2007-12-24 02:39
感染性病变可能性大,建议抗炎治疗后复查。
作者: 宇宙ct 时间: 2007-12-24 03:09
左侧声带是否突出 请关注
喉癌?转移?是否*应考虑
见笑+了
作者: 天南地北 时间: 2007-12-24 03:35
标题: 回复:ct11018:男性 76岁下颌右侧磨牙区肿物数月
以下是引用dyqct在2007-12-23 14:52:00的发言:[br][quote]以下是引用zjzjr在2007-12-23 13:53:00的发言:[br]右颈部颌下腺前可见一类圆形软组织密度影,密度不均,内见小片坏死区.颌下颈前可见两枚肿大淋巴结影.考虑淋巴结感染可能性大,建议增强扫描..
[br]支持!![br][/quote]
作者: wy232326 时间: 2007-12-24 04:04
感染性病变可能性大,建议抗炎治疗后复查。
作者: liuyue 时间: 2007-12-24 06:02
考虑牙周炎并颌下淋巴结肿大(感染)可能!
作者: guanaishengming 时间: 2007-12-24 06:52
还是感染可能性大点
作者: 卜一 时间: 2007-12-24 17:27
感染性病变,炎性脓肿可能!
作者: jiangjing 时间: 2007-12-24 19:29
右侧第四磨牙缺失,局部牙槽骨质破坏,边界欠清晰,同侧颌下及竟不见多发肿大淋巴结显示。考虑肿瘤病变可能性大,感染待排
作者: 拾荒者 时间: 2007-12-25 03:04
为什么都考虑感染性病变?转移性淋巴结肿大?淋巴瘤?
作者: zyx168 时间: 2007-12-26 06:49
感染性病变可能性大,建议抗炎治疗后复查。
| 欢迎光临 医影在线 (http://bbs.radida.com/bbs/) |
Powered by Discuz! X3.2 |