医影在线
标题: CT11019:男性,66岁。发烧5-6天。治疗后无明显好转。 [打印本页]
作者: lijifeng5432 时间: 2007-12-23 21:51
标题: CT11019:男性,66岁。发烧5-6天。治疗后无明显好转。
























[本贴已被 jiajie 于 2007-12-23 16:46:23 修改过]
作者: zjzjr 时间: 2007-12-23 22:06
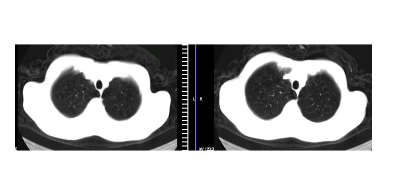
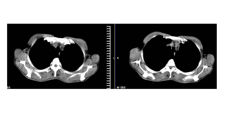
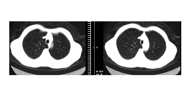
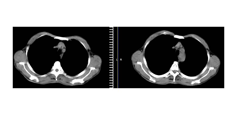
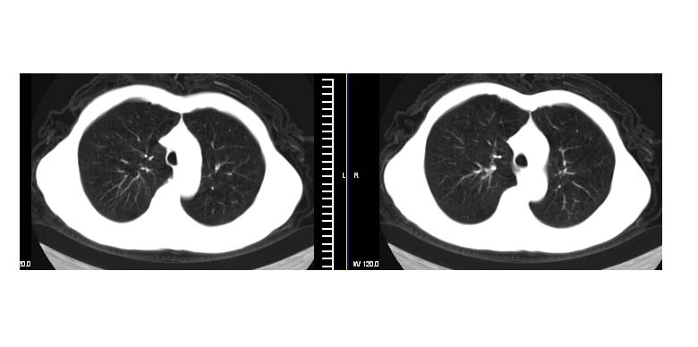
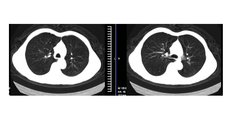
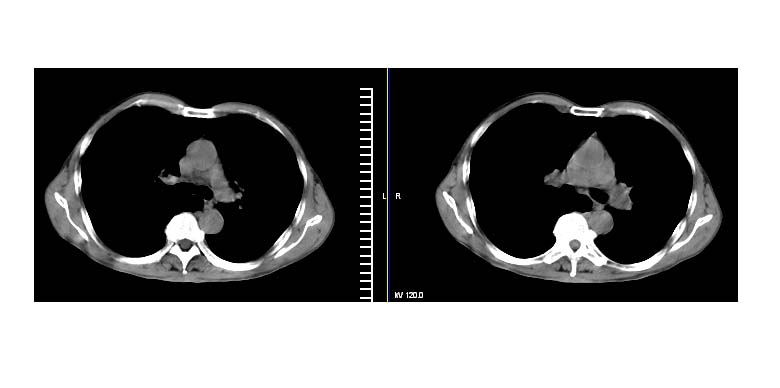
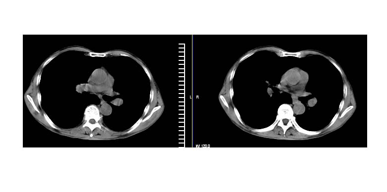
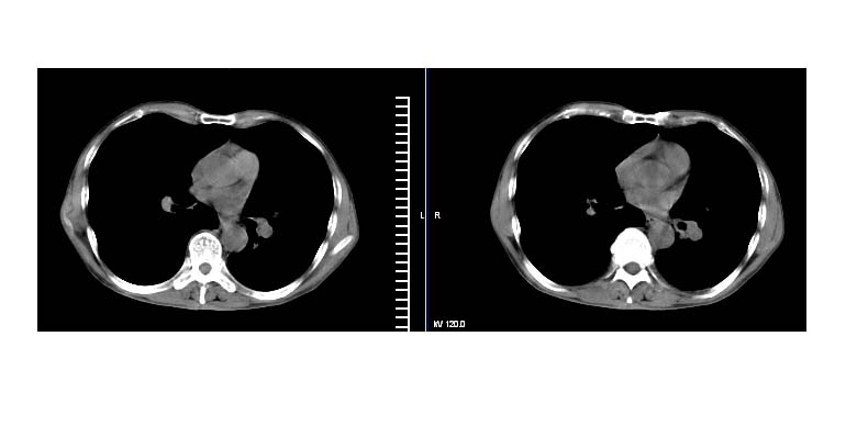
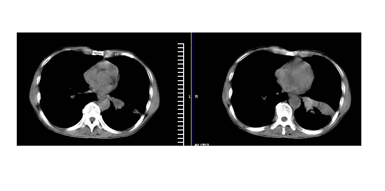
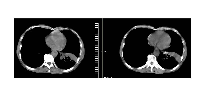
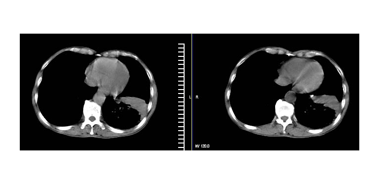
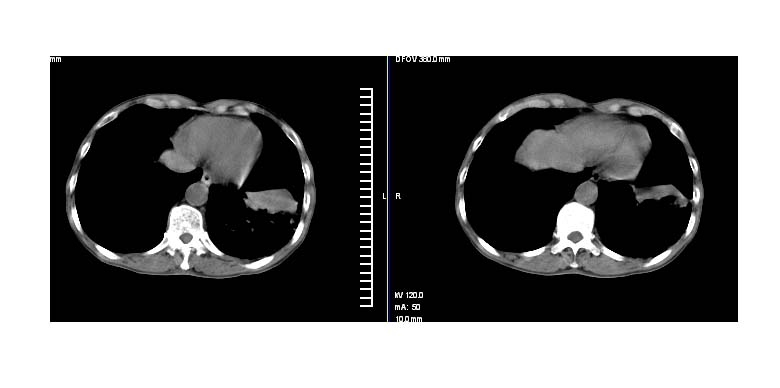
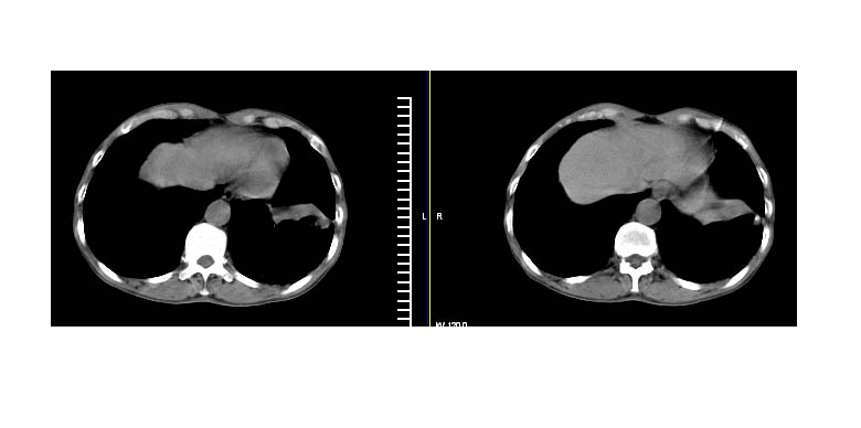
左下肺中央型肺癌伴阻塞性肺炎\\肺不张可能性大,建议支纤镜检查.
作者: xulianj 时间: 2007-12-23 22:20
复查间隔时间太短,建议继续抗炎治疗后复查除外占位。
作者: fytian 时间: 2007-12-23 22:35
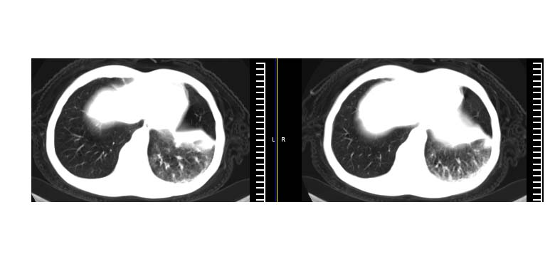
考虑左肺下叶肺炎建议抗炎治疗后复查.
作者: 同 时间: 2007-12-23 23:12
标题: 回复:男性,66岁。发烧5-6天。治疗后无明显好转。
以下是引用xulianj在2007-12-23 14:20:00的发言:[br]复查间隔时间太短,建议继续抗炎治疗后复查除外占位。
作者: andymaomao 时间: 2007-12-24 00:28
1.左肺门似可见一小块影,由此考虑中央型肺ca并阻塞性肺炎改变;
2.左下叶背段肺tb(干酪性肺炎)?
3.单纯肺感染?建议进一步检查。
作者: ydx_74 时间: 2007-12-24 00:31
阻塞性肺炎并不张,建议抗炎治疗后复查或增强
作者: 王仕学 时间: 2007-12-24 00:33
建议抗炎治疗后复查或增强
作者: 张佳 时间: 2007-12-24 01:03
左下肺中心性肺癌伴下肺不张及周围阻塞性炎症
作者: shiqingfa 时间: 2007-12-24 01:45
左下肺中央型肺癌伴阻塞性肺炎\\肺不张可能性大,建议支纤镜检查
作者: lijifeng5432 时间: 2007-12-24 01:54
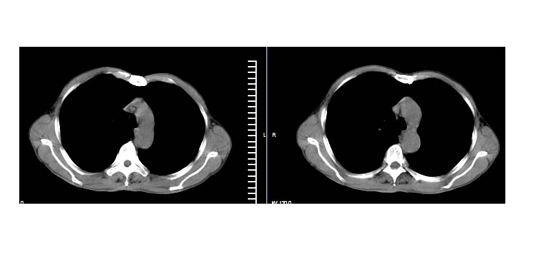
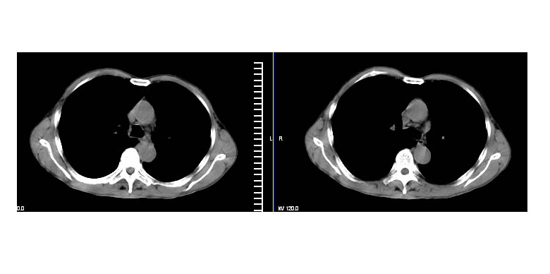
有叶间积液可能吗
作者: zhengfaming 时间: 2007-12-24 02:03
支持抗炎后复查,无明显肿大淋巴结,胸膜也无改变
作者: yy杨洋 时间: 2007-12-24 03:06
标题: 回复:ct11019:男性,66岁。发烧5-6天。治疗后无明显好转。
以下是引用zjzjr在2007-12-23 14:06:00的发言:[br]左下肺中央型肺癌伴阻塞性肺炎\\肺不张可能性大,建议支纤镜检查.
作者: 宇宙ct 时间: 2007-12-24 03:12
左下肺中央型肺癌伴阻塞性肺炎\\肺不张可能性大,建议支纤镜检查
作者: 眼睛 时间: 2007-12-24 03:14
建议继续抗炎治疗..............
作者: cmj 时间: 2007-12-24 03:23
支持肺癌诊断
作者: 天南地北 时间: 2007-12-24 03:34
考虑左肺下叶炎症合并叶间裂积液,建议抗炎治疗后复查
作者: 国王 时间: 2007-12-24 03:39
左下肺实变,考虑炎症
作者: wy232326 时间: 2007-12-24 04:00
左下肺中央型肺癌伴阻塞性肺炎\\肺不张可能性大,建议支纤镜检查
左肺下叶炎症不除外 建议抗炎治疗后复查
作者: liuyue 时间: 2007-12-24 06:05
左下肺中心性肺癌伴下肺不张及周围阻塞性炎症,
建议:支气管镜检查。
作者: guanaishengming 时间: 2007-12-24 06:26
复查间隔时间太短,建议继续抗炎治疗后复查除外占位。
作者: muzi888 时间: 2007-12-24 16:43
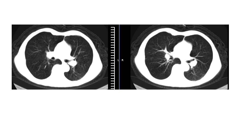
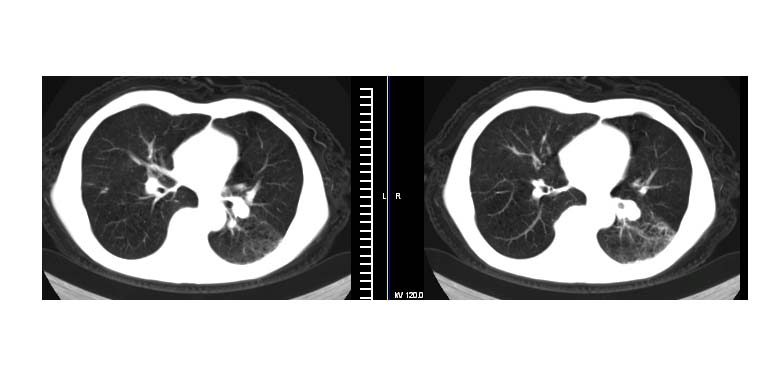
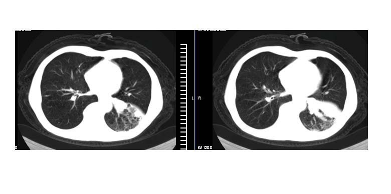
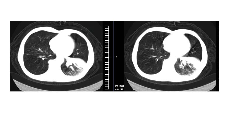
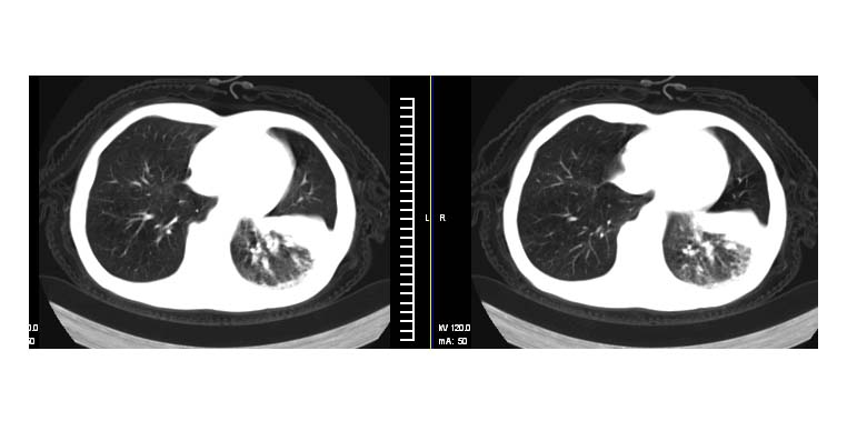
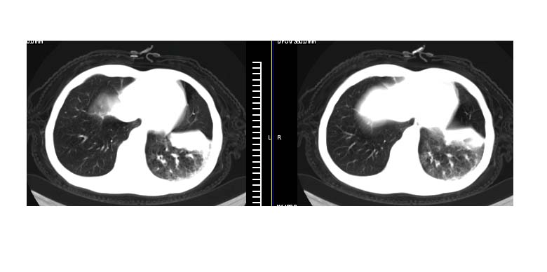
左侧胸廓偏小,左下梭形高密度影,考虑阻塞性肺炎.
作者: 卜一 时间: 2007-12-24 17:26
以下是引用xulianj在2007-12-23 14:20:00的发言:
复查间隔时间太短,建议继续抗炎治疗后复查除外占位。
支持!
作者: 琥珀人 时间: 2007-12-24 18:16
阻塞性肺炎并不张,建议抗炎治疗后复查或增强
作者: hnyzdjb 时间: 2007-12-24 18:16
斜肋积液
作者: tyfzj 时间: 2007-12-24 18:29
右下肺中央型肺癌伴阻塞性肺炎及肺不张可能性大,建议临床进一步检查(ct增强或纤支镜)
作者: lirenxiong 时间: 2007-12-24 18:40
斜裂积液,炎症
作者: jiangjing 时间: 2007-12-24 19:15
左肺门下分增大见有结节影,基底干及分支显示不清,下叶体积缩小,呈片带状机磨玻璃样影显示。支持考虑左下肺中心型肺癌伴阻塞性肺炎及部分肺不张。建议纤支镜检查
作者: yzmw1979 时间: 2007-12-24 20:32
节段性肺炎可能,建议系统的,正规的抗炎后复查。以排除占位。
作者: wuyiyunwu 时间: 2007-12-24 20:32
先做增强扫描,然后建议支纤镜活检或ct引导下穿刺活检,
作者: zyyzzy 时间: 2007-12-24 20:52
左下肺中央型肺癌伴阻塞性肺炎\\肺不张可能性大,建议支纤镜检查.
作者: 拾荒者 时间: 2007-12-25 03:47
明明是斜裂胸膜积液,为何都考虑阻塞性肺炎、肺不张(边缘内凹,而本例是外凸)。
作者: zyx168 时间: 2007-12-26 06:42
标题: 回复:ct11019:男性,66岁。发烧5-6天。治疗后无明显好转。
以下是引用拾荒者在2007-12-24 19:47:00的发言:[br]明明是斜裂胸膜积液,为何都考虑阻塞性肺炎、肺不张(边缘内凹,而本例是外凸)。
| 欢迎光临 医影在线 (http://bbs.radida.com/bbs/) |
Powered by Discuz! X3.2 |