



















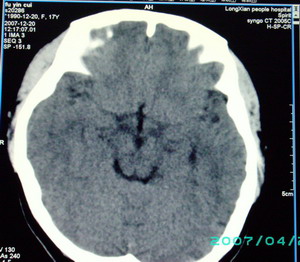
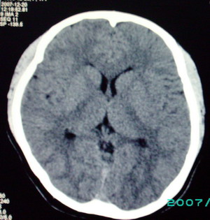
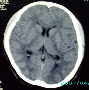
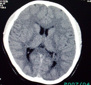
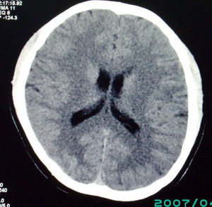
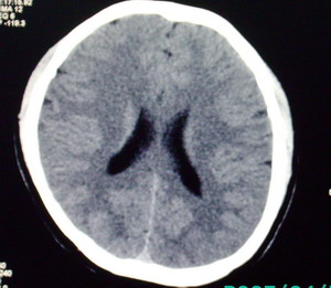
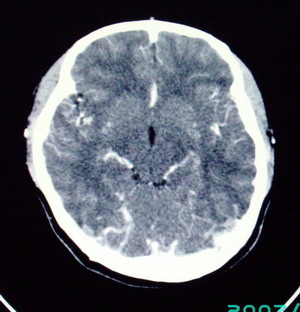
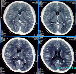
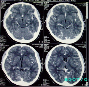
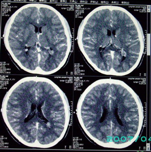
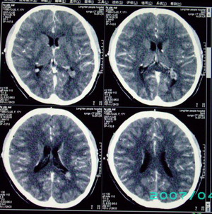
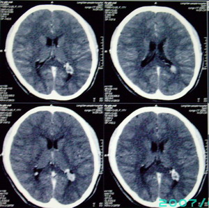
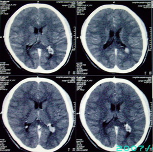
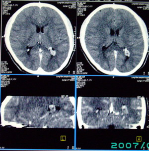
以下是引用九目段在2007-12-24 14:55:00的发言:[br]1,年轻女性[br]2,ct表现:左侧脑室三角区可见一不规则小明显强化的结节,中央见小低密度,侧脑室无扩张。[br]分析:[br]常见的有三种肿瘤好发三角区:[br]1,脉络丛乳头状瘤,好发于年轻者,明显强化,实性,分泌脑脊液,常伴有侧脑室扩大,肿瘤较小可以脑室扩大不明显,不能排除,但小结节尚不易形成坏死腔。[br]2,室管膜瘤,好发于儿童及青少年,明显强化,易坏死,大时伴脑室扩张。[br]3,脑膜瘤,明显强化,圆形,界请,无脑积水,一般不坏死。[br]诊断:[br]左侧脑室三角区结节,考虑室管膜瘤可能性大,不排除脉络丛乳头状瘤和脑膜瘤(因病史较长)。[br][br][本贴已被 九目段 于 2007-12-24 15:13:35 修改过]
| 欢迎光临 医影在线 (http://bbs.radida.com/bbs/) | Powered by Discuz! X3.2 |