医影在线
标题: CT11031:M61Y,胰腺占位 [打印本页]
作者: xclzq_910 时间: 2007-12-25 00:04
标题: CT11031:M61Y,胰腺占位
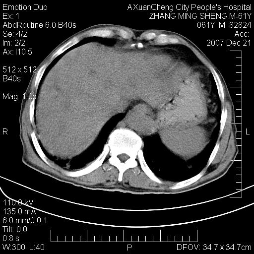
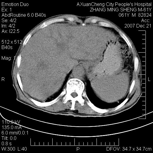
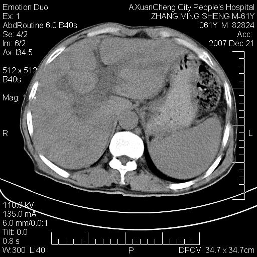
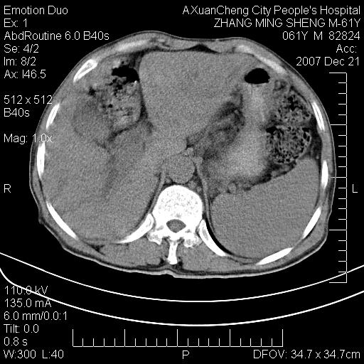
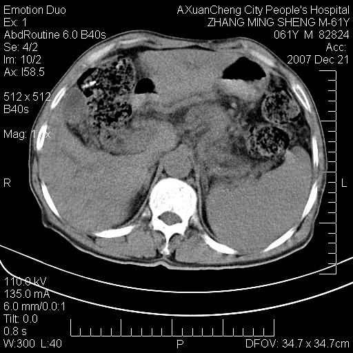
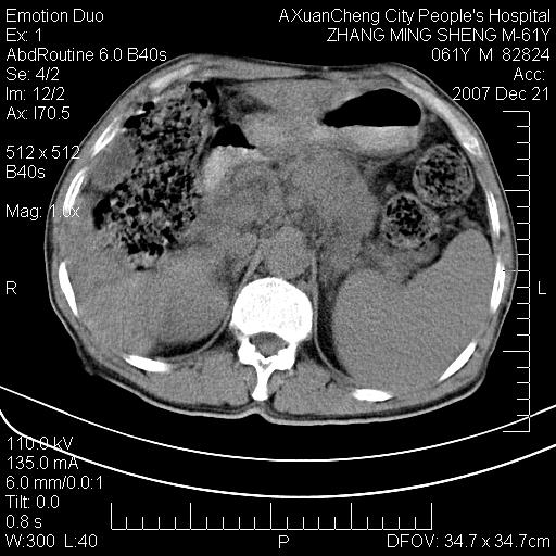
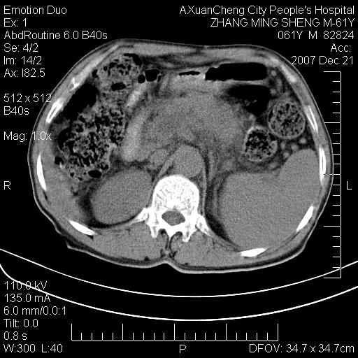
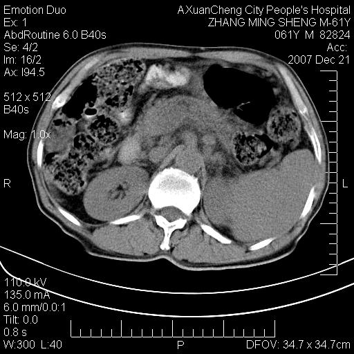
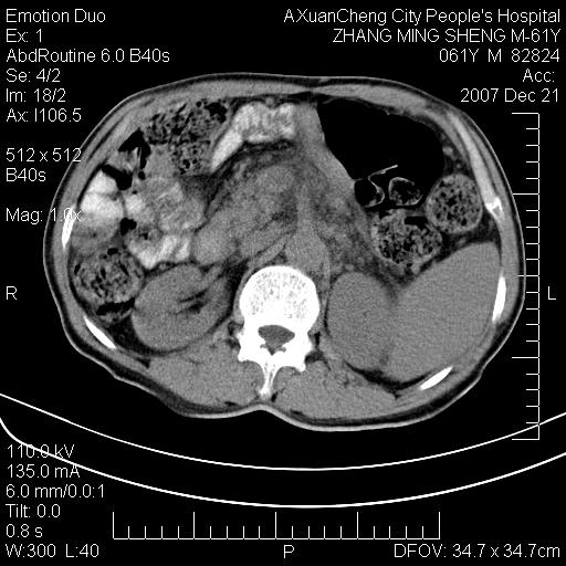
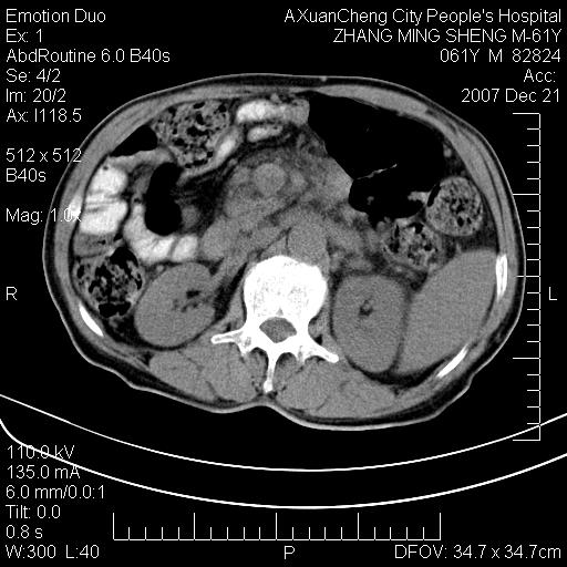
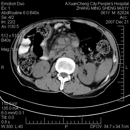
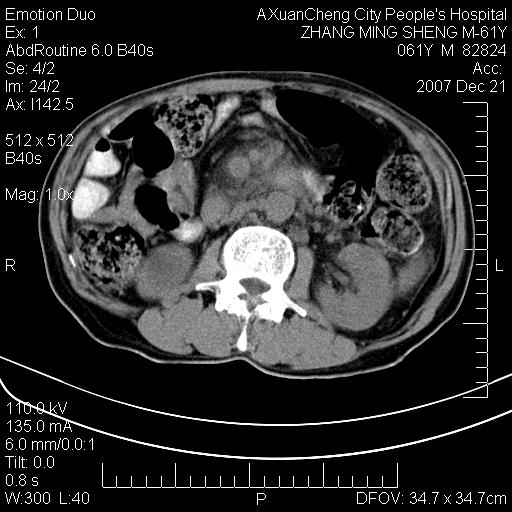
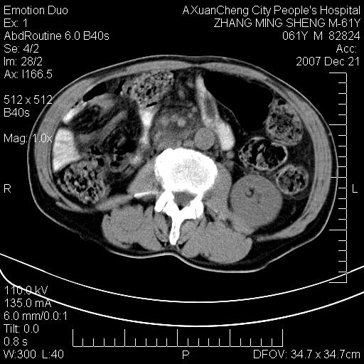
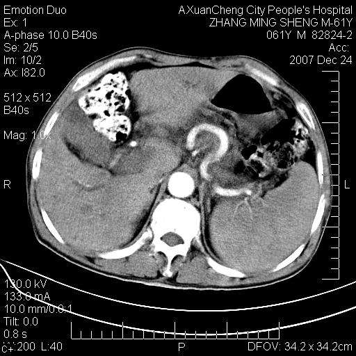
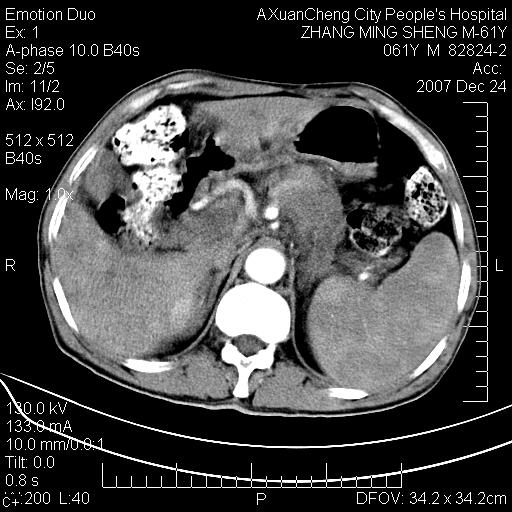
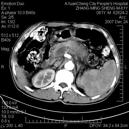
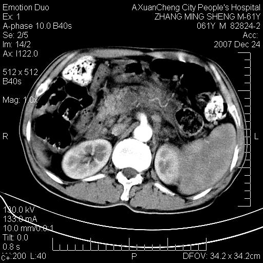
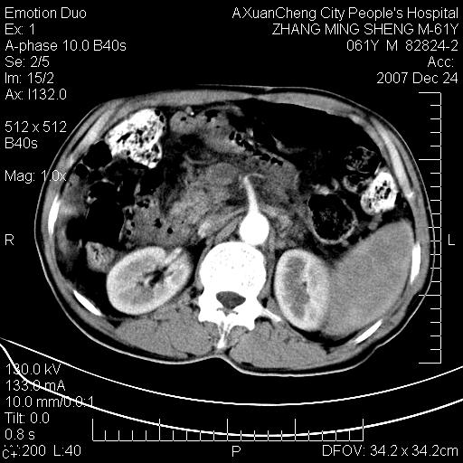
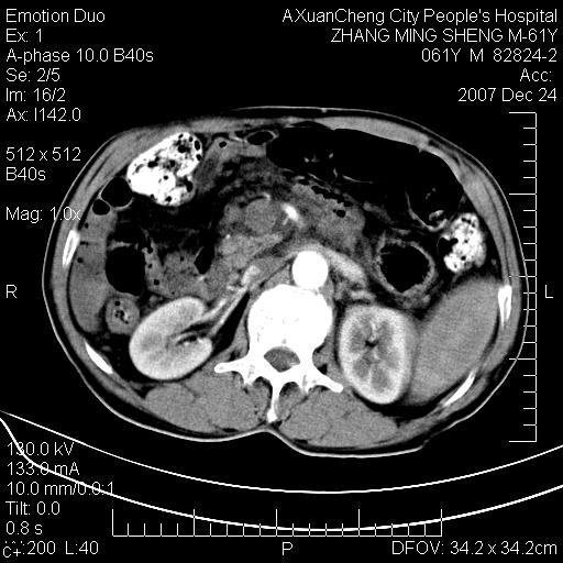
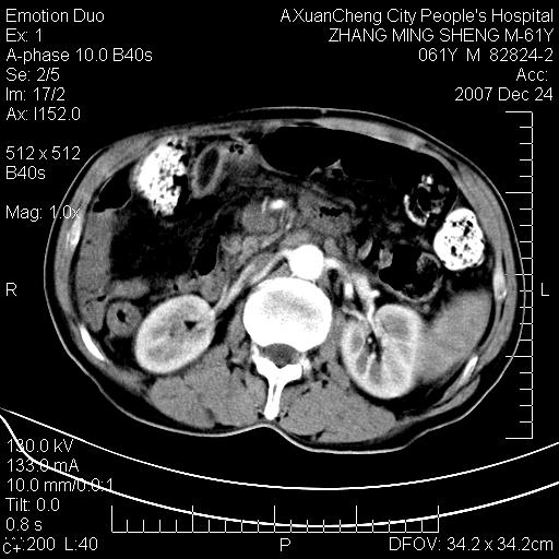
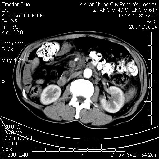
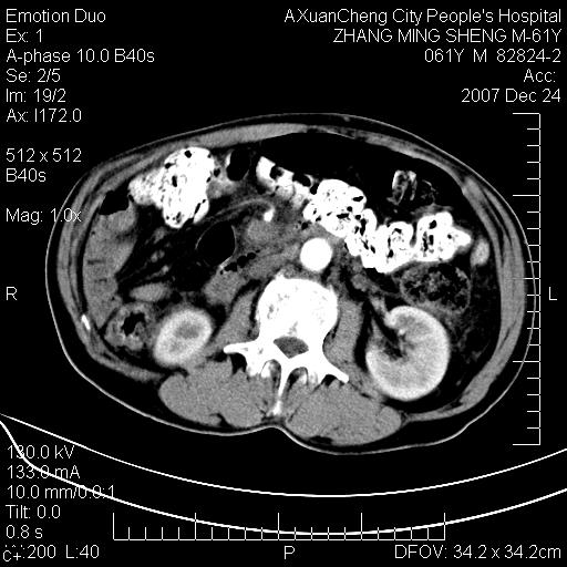
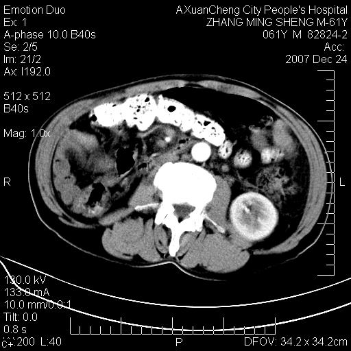
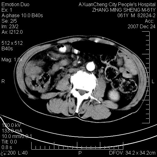
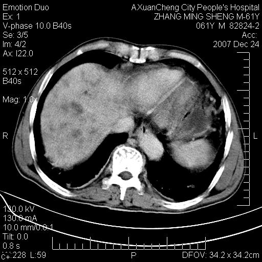
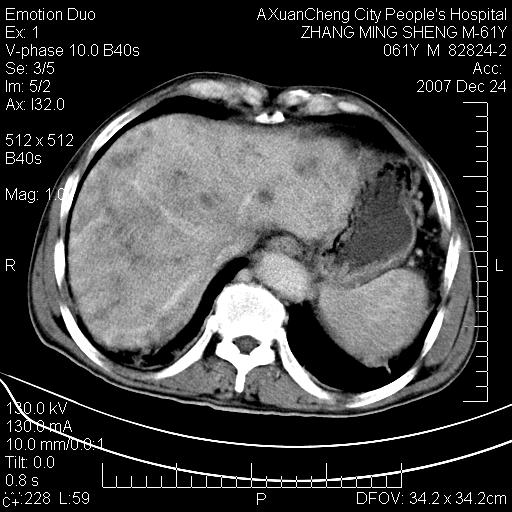
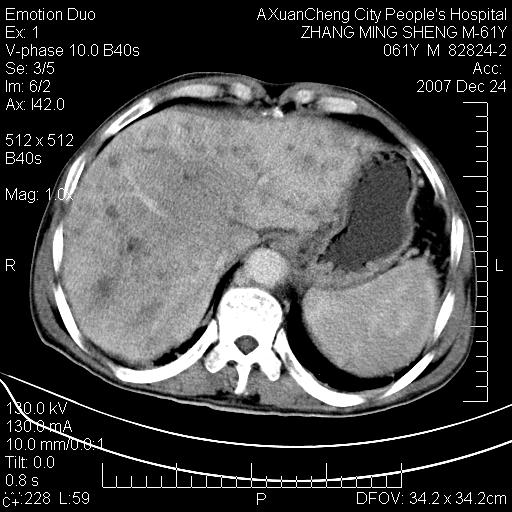
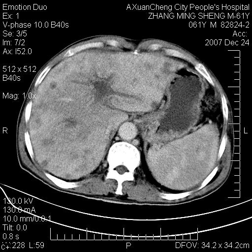
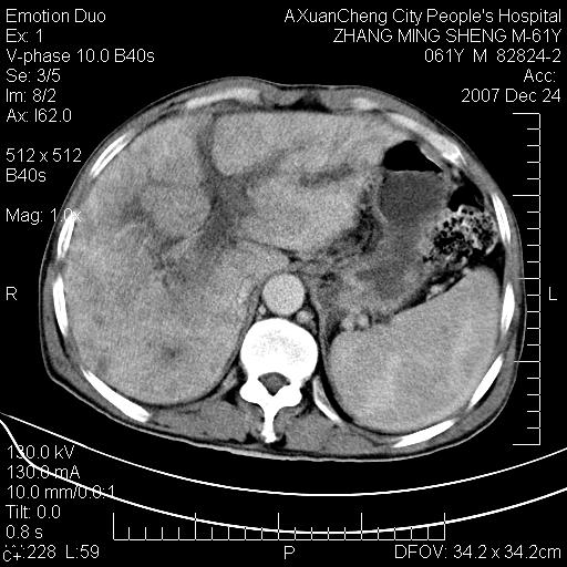
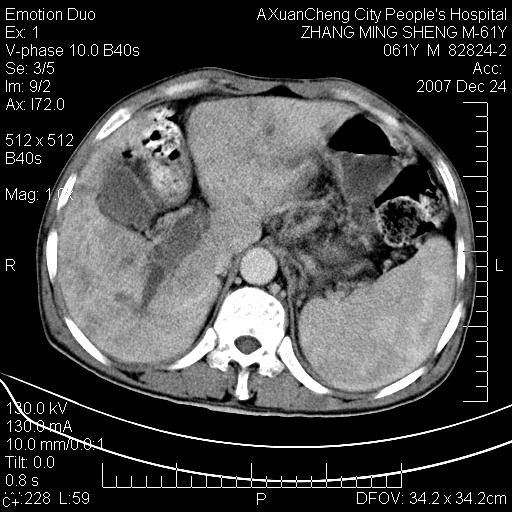
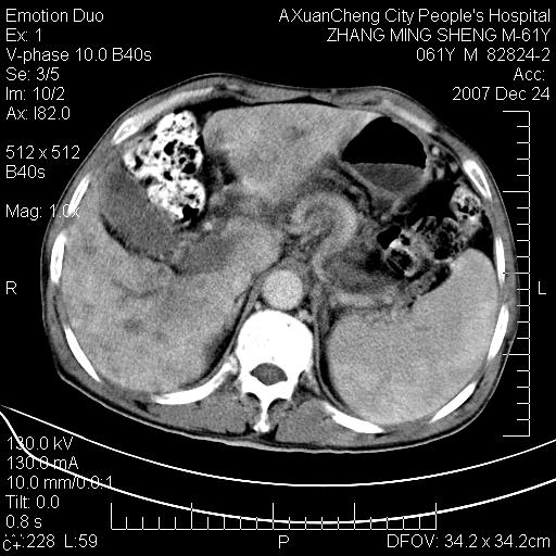
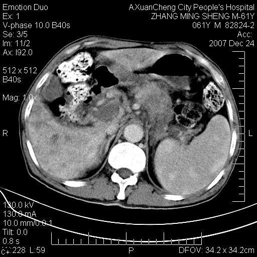
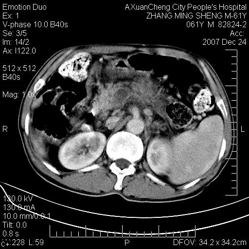
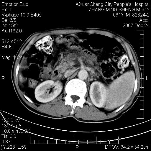
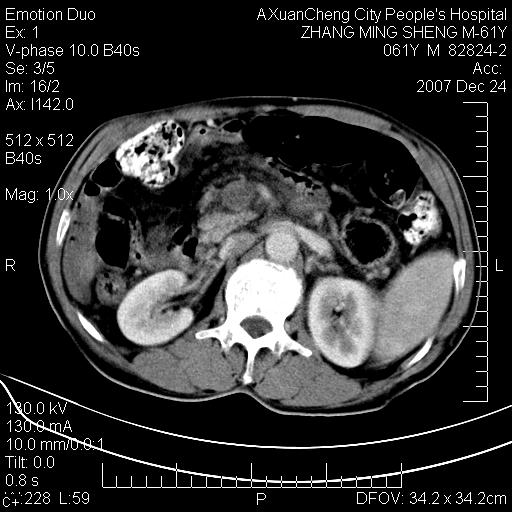
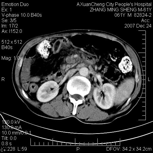
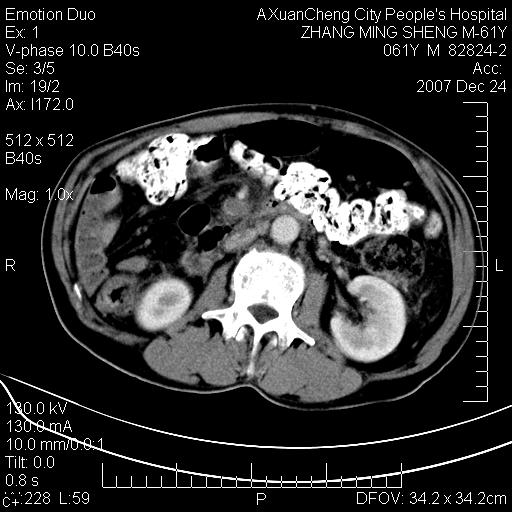
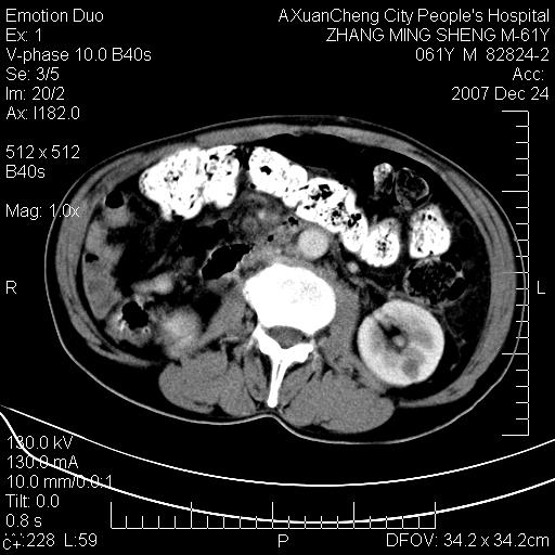
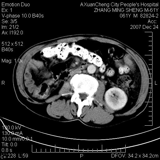
大家侃侃门静脉和胆管系统怎么回事,肝内转移?



















































[本贴已被 jiajie 于 2007-12-24 16:28:15 修改过]
作者: guanaishengming 时间: 2007-12-25 00:14
胰腺癌肝转移
作者: 312nanyang 时间: 2007-12-25 01:57
肝内外胆管扩张可能,
门脉高压,
胰腺体部稍宽,其内小片样低密度灶性质?
作者: qiuleiyu 时间: 2007-12-25 02:26
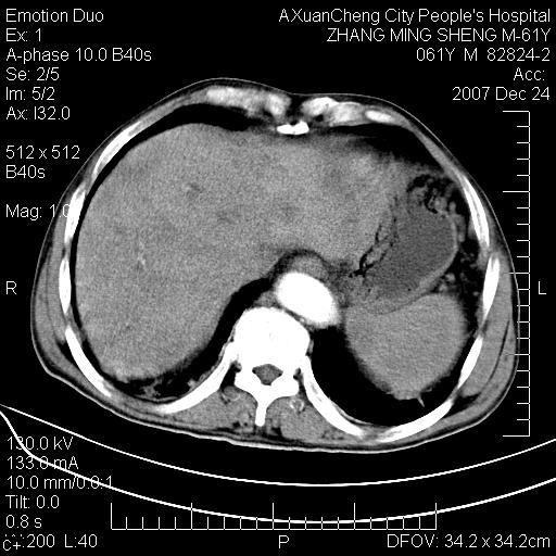
1,肝硬化,脾大.
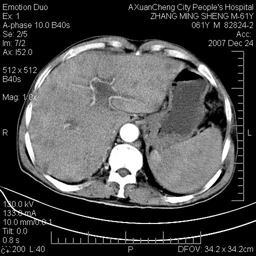
2,肝内多发结节状低密度占位,伴门脉及肠系膜上v栓子形成.考虑a;门脉及肠系膜上v血栓后肝改变.b;弥漫型肝癌伴门脉及肠系膜癌栓.
作者: 前行 时间: 2007-12-25 02:54
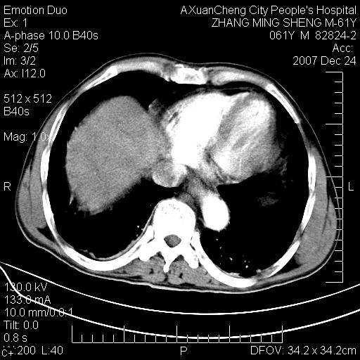
肝硬化,门脉高压,脾肿大;弥漫性肝癌,肝内、门脉、腹膜后淋巴结转移,肝内外胆管扩张,胰头区占位,建议mr检查
作者: xulianj 时间: 2007-12-25 02:56
胰腺癌伴肝内转移;门脉、肠系膜上v癌栓形成。
作者: 天南地北 时间: 2007-12-25 03:08
标题: 回复:ct11031:m61y,胰腺占位
以下是引用前行在2007-12-24 18:54:00的发言:[br]肝硬化,门脉高压,脾肿大;弥漫性肝癌,肝内、门脉、腹膜后淋巴结转移,肝内外胆管扩张,胰头区占位,建议mr检查
作者: 求知若渴 时间: 2007-12-25 03:44
标题: 回复:ct11031:m61y,胰腺占位
以下是引用qiuleiyu在2007-12-24 18:26:00的发言:[br]1,肝硬化,脾大.[br]2,肝内多发结节状低密度占位,伴门脉及肠系膜上v栓子形成.考虑a;门脉及肠系膜上v血栓后肝改变.b;弥漫型肝癌伴门脉及肠系膜癌栓.
作者: dyqct 时间: 2007-12-25 03:45
标题: 回复:ct11031:m61y,胰腺占位
以下是引用qiuleiyu在2007-12-24 18:26:00的发言:[br]1,肝硬化,脾大.[br]2,肝内多发结节状低密度占位,伴门脉及肠系膜上v栓子形成.考虑a;门脉及肠系膜上v血栓后肝改变.b;弥漫型肝癌伴门脉及肠系膜癌栓.
支持!!
作者: ydx_74 时间: 2007-12-25 03:54
1,肝硬化,脾大.
2,肝内多发结节状低密度占位,伴门脉及肠系膜上v栓子形成.考虑a;门脉及肠系膜上v血栓后肝改变.b;弥漫型肝癌伴门脉及肠系膜癌栓.
作者: 卜一 时间: 2007-12-25 04:56
胰腺癌伴肝内转移;门脉、肠系膜上v癌栓形成。支持!
作者: 随光逐影 时间: 2007-12-25 05:19
考虑为:胰腺癌伴肝脏转移、腹膜后淋巴结转移,门静脉及肠系膜上静脉瘤栓形成。
作者: qiushi 时间: 2007-12-25 05:48
标题: 回复:ct11031:m61y,胰腺占位
以下是引用xulianj在2007-12-24 18:56:00的发言:[br]胰腺癌伴肝内转移;门脉、肠系膜上v癌栓形成。
作者: 后进生 时间: 2007-12-25 09:29
标题: 回复:ct11031:m61y,胰腺占位
以下是引用dyqct在2007-12-24 19:45:00的发言:[br][quote]以下是引用qiuleiyu在2007-12-24 18:26:00的发言:[br]1,肝硬化,脾大.[br]2,肝内多发结节状低密度占位,伴门脉及肠系膜上v栓子形成.考虑a;门脉及肠系膜上v血栓后肝改变.b;弥漫型肝癌伴门脉及肠系膜癌栓.
[br]支持!![br][/quote]
作者: zjzjr 时间: 2007-12-25 17:01
胰体尾癌伴肝内转移,门静脉及肠系膜上静脉瘤栓形成.
作者: shuhuang2007 时间: 2007-12-25 18:22
肝硬化,脾大. 胰腺癌伴肝内转移;门脉、肠系膜上v癌栓形成。
作者: zhanghuaweii 时间: 2007-12-25 18:41
标题: 回复:ct11031:m61y,胰腺占位
以下是引用卜一在2007-12-24 20:56:00的发言:[br]胰腺癌伴肝内转移;门脉、肠系膜上v癌栓形成。支持!
作者: wy232326 时间: 2007-12-25 22:48
胰腺癌伴肝内转移;门脉、肠系膜上v癌栓形成 支持
作者: andymaomao 时间: 2007-12-25 23:04
标题: 回复:ct11031:m61y,胰腺占位
以下是引用qiuleiyu在2007-12-24 18:26:00的发言:[br]1,肝硬化,脾大.[br]2,肝内多发结节状低密度占位,伴门脉及肠系膜上v栓子形成.考虑a;门脉及肠系膜上v血栓后肝改变.b;弥漫型肝癌伴门脉及肠系膜癌栓.
支持!
作者: 拾荒者 时间: 2007-12-26 05:36
标题: 回复:ct11031:m61y,胰腺占位
以下是引用前行在2007-12-24 18:54:00的发言:[br]肝硬化,门脉高压,脾肿大;弥漫性肝癌,肝内、门脉、腹膜后淋巴结转移,肝内外胆管扩张,胰头区占位,建议mr检查
作者: zhangkai 时间: 2007-12-26 05:45
标题: 回复:ct11031:m61y,胰腺占位
以下是引用guanaishengming在2007-12-24 16:14:00的发言:[br]胰腺癌肝转移
作者: zyx168 时间: 2007-12-26 05:59
标题: 回复:ct11031:m61y,胰腺占位
以下是引用xulianj在2007-12-24 18:56:00的发言:[br]胰腺癌伴肝内转移;门脉、肠系膜上v癌栓形成。
| 欢迎光临 医影在线 (http://bbs.radida.com/bbs/) |
Powered by Discuz! X3.2 |