医影在线

标题: MRI1386:请急会诊!病灶起源! [打印本页]

作者: guzhongliangddd    时间: 2007-12-25 04:17
标题: MRI1386:请急会诊!病灶起源!
(结果公布:http://www.radida.com/bbs/forum.php?mod=viewthread&tid=33543)
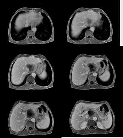
男:62岁:右上腹痛1月。b超报告肝左叶外侧段占位。请讨论灶来源!谢谢!!









[本贴已被 jiajie 于 2008-1-7 21:56:50 修改过]

作者: gaoshengjiang    时间: 2007-12-25 19:56
胰腺囊腺瘤?
作者: guanaishengming    时间: 2007-12-25 20:12
胰头癌,伴肝门区淋巴转移
作者: guzhongliangddd    时间: 2007-12-25 20:26
请问如果考虑胰头占位,为什么,胰管,肝内外胆管不扩张!!
作者: 云翔    时间: 2007-12-25 21:00
肿块对周围结构是推移改变,囊变,强化不明显,不考虑来源于胰腺,后腹膜占位,期待结果
作者: 晓杰    时间: 2007-12-26 00:19
肿块对周围结构是推移改变,囊变,强化不明显,不考虑来源于胰腺,后腹膜占位,考虑为腹膜后纤维瘤。
作者: qiuleiyu    时间: 2007-12-26 02:34
腹主动脉前肝左叶后方占位,局部与肝脂肪间隙尚存,故排除左肝来源病变.病灶主体层面位置较高,胰腺受压前移.腹腔干明显拉长包埋.增强后肿瘤边缘性强化.胃小弯侧血管明显增粗.
考虑;后腹膜来源肿瘤.神经源性肿瘤>间叶源性肿瘤>淋巴源性肿瘤.
作者: zhangxu5888    时间: 2007-12-26 04:22
腹主动脉前肝左叶后方占位,局部与肝脂肪间隙尚存,故排除左肝来源病变.病灶主体层面位置较高,胰腺受压前移.腹腔干明显拉长包埋.增强后肿瘤边缘性强化.胃小弯侧血管明显增粗.
考虑;后腹膜来源肿瘤,淋巴源性肿瘤.>间叶源性肿瘤>.神经源性肿瘤
作者: jiangjing    时间: 2007-12-26 17:09
支持
腹主动脉前肝左叶后方占位,局部与肝脂肪间隙尚存,故排除左肝来源病变.病灶主体层面位置较高,胰腺受压前移.腹腔干明显拉长包埋.增强后肿瘤边缘性强化.胃小弯侧血管明显增粗.
考虑;后腹膜来源肿瘤,淋巴源性肿瘤.>间叶源性肿瘤>.神经源性肿瘤
作者: sea海hai    时间: 2007-12-28 17:46
引用 zhangxu5888老师说的:腹主动脉前肝左叶后方占位,局部与肝脂肪间隙尚存,故排除左肝来源病变.病灶主体层面位置较高,胰腺受压前移.腹腔干明显拉长包埋.增强后肿瘤边缘性强化.胃小弯侧血管明显增粗.
考虑;后腹膜来源肿瘤,淋巴源性肿瘤.>间叶源性肿瘤>.神经源性肿瘤 ,支持。
作者: zyx168    时间: 2008-1-1 06:57
考虑:腹膜后肿瘤.神经源性肿瘤>间叶源性肿瘤>淋巴源性肿瘤.
作者: ZHONGXINMR    时间: 2009-3-27 03:38
典型,收到
作者: zxczxc    时间: 2011-5-18 10:31
食管中段占位,食管下段周围肿块影。食管中段占位伴食管下段周围淋巴结转移。




欢迎光临 医影在线 (http://bbs.radida.com/bbs/) Powered by Discuz! X3.2