医影在线
标题: CT11039:肝脏占位,平扫加增强,很“漂亮”的图像。 [打印本页]
作者: 狙击手 时间: 2007-12-25 05:24
标题: CT11039:肝脏占位,平扫加增强,很“漂亮”的图像。
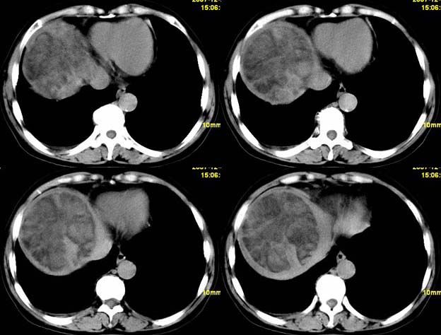
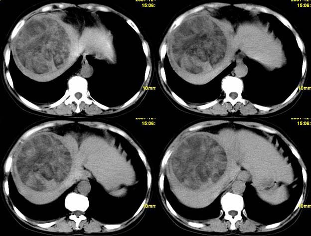
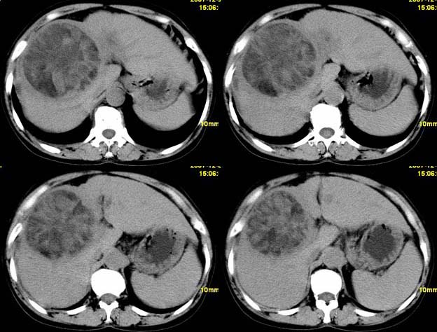
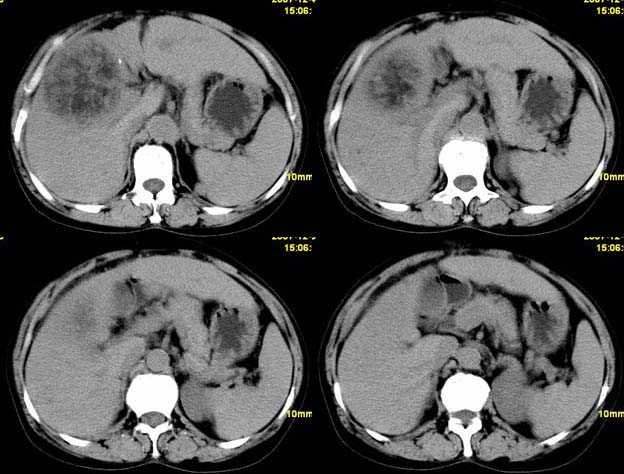
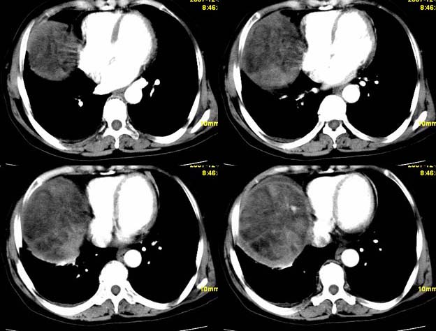
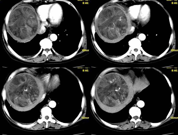
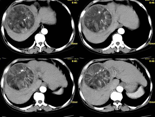
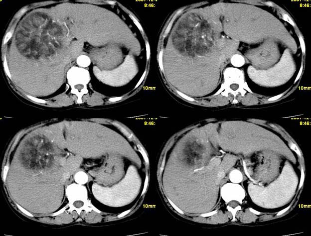
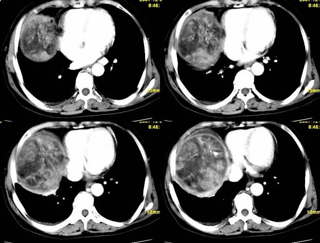
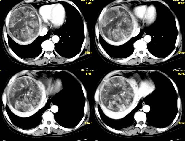
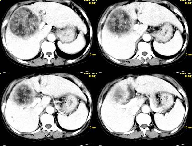
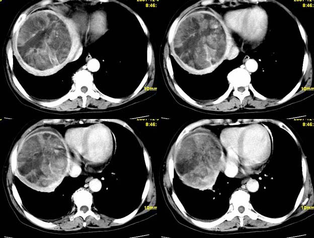
女,67,自诉右上腹痛10天,余病史未提供。
平扫低密度ct值约-14hu.




增强










[本贴已被 狙击手 于 2007-12-24 21:26:27 修改过]
[本贴已被 翁志蓬 于 2007-12-24 23:11:09 修改过]
作者: liangshusheng 时间: 2007-12-25 05:48
肝血管平滑肌瘤
作者: 摘星空竹子 时间: 2007-12-25 06:01
肝脏良性占位:错构瘤可能性大.
作者: 随光逐影 时间: 2007-12-25 06:03
肝癌(巨块型)。
作者: cefcmj 时间: 2007-12-25 06:07
肝血管平滑肌瘤脂肪瘤可能性大。
作者: dyqct 时间: 2007-12-25 06:07
支持肝血管平滑肌脂肪瘤可能性大。
作者: 流星1234 时间: 2007-12-25 06:18
肝血管平滑肌脂肪瘤
作者: 天南地北 时间: 2007-12-25 07:50
支持肝血管平滑肌脂肪瘤可能性大
作者: 后进生 时间: 2007-12-25 08:40
支持肝血管平滑肌
作者: jiayan 时间: 2007-12-25 10:27
肝血管平滑肌脂肪瘤
作者: 卜一 时间: 2007-12-25 13:14
支持肝血管平滑肌脂肪瘤可能性大。
作者: happyverycd 时间: 2007-12-25 14:25
肝血管平滑肌瘤脂肪瘤可能性大。
作者: muzi888 时间: 2007-12-25 16:46
支持肝血管平滑肌脂肪瘤可能性大 !
作者: LIAOQIANG 时间: 2007-12-25 17:44
期望结果。
作者: 沙漠骆驼 时间: 2007-12-25 17:45
1 良性病变. 2 支持肝血管平滑肌脂肪瘤.
作者: shuhuang2007 时间: 2007-12-25 18:02
肝血管平滑肌脂肪瘤。
作者: liaizhi 时间: 2007-12-25 18:40
考虑1肝细胞腺瘤可能性大(病灶周围有透明环影)恶变?2血管平滑肌脂肪瘤?建议穿刺病检.
作者: 宇宙ct 时间: 2007-12-25 18:45
支持肝血管平滑肌脂肪瘤可能性大。
作者: gaoshengjiang 时间: 2007-12-25 18:51
肝血管平滑肌脂肪瘤可能性大。
作者: zhanghuaweii 时间: 2007-12-25 18:58
标题: 回复:ct11039:肝脏占位,平扫加增强,很“漂亮”的图像。
以下是引用dyqct在2007-12-24 22:07:00的发言:[br]支持肝血管平滑肌脂肪瘤可能性大。
作者: zjzjr 时间: 2007-12-25 19:14
支持肝血管平滑肌脂肪瘤可能性大。
作者: 312nanyang 时间: 2007-12-25 20:06
支持肝脏错构瘤的诊断
作者: wangzhengyuan 时间: 2007-12-25 20:08
支持肝血管平滑肌脂肪瘤可能性大。
作者: guanaishengming 时间: 2007-12-25 20:46
肝血管平滑肌瘤脂肪瘤可能性大。期待病理
作者: wy232326 时间: 2007-12-25 21:59
支持肝血管平滑肌脂肪瘤可能性大
期待结果
作者: zhanglixian1985 时间: 2007-12-25 22:32
期待结果!
作者: 张佳 时间: 2007-12-25 23:05
肝血管平滑肌脂肪瘤可能性大,不除外包虫病
作者: andymaomao 时间: 2007-12-25 23:37
1.支持考虑血管平滑肌脂肪瘤;
2.错构瘤不除外。
作者: HARRY 时间: 2007-12-25 23:59
肝血管平滑肌脂肪瘤
作者: wansheng 时间: 2007-12-26 00:19
支持肝血管平滑肌脂肪瘤可能性大。
作者: guzhongliangddd 时间: 2007-12-26 01:48
标题: 回复:ct11039:肝脏占位,平扫加增强,很“漂亮”的图像。
以下是引用jiayan在2007-12-25 2:27:00的发言:[br]肝血管平滑肌脂肪瘤
作者: 随光逐影 时间: 2007-12-26 01:51
肝细胞癌偶尔也会出现脂肪变性。
期待本病例之病理结查。
作者: xulianj 时间: 2007-12-26 04:11
肝血管平滑肌脂肪瘤可能性大;原发型肝癌待排。
作者: qiuleiyu 时间: 2007-12-26 05:20
支持;肝aml-------脂肪成分,中心血管征,延时强化.
作者: zyx168 时间: 2007-12-26 05:21
肝血管平滑肌脂肪瘤
作者: zhangkai 时间: 2007-12-26 05:35
考虑肝血管平滑肌脂肪瘤,期待结果。
作者: zyyzzy 时间: 2007-12-26 06:17
支持肝血管平滑肌瘤脂肪瘤可能性大,很少见期待结果!!
作者: 拾荒者 时间: 2007-12-26 06:27
标题: 回复:ct11039:肝脏占位,平扫加增强,很“漂亮”的图像。
以下是引用qiuleiyu在2007-12-25 21:20:00的发言:[br]支持;肝aml-------脂肪成分,中心血管征,延时强化.
作者: 天地睹狭 时间: 2007-12-30 08:07
标题: 回复:ct11039:肝脏占位,平扫加增强,很“漂亮”的图像。
以下是引用随光逐影在2007-12-25 17:51:00的发言:[br]肝细胞癌偶尔也会出现脂肪变性。[br][br]期待本病例之病理结查。
作者: 眼睛 时间: 2007-12-30 09:12
标题: 回复:ct11039:肝脏占位,平扫加增强,很“漂亮”的图像。
以下是引用拾荒者在2007-12-25 22:27:00的发言:[br][quote]以下是引用qiuleiyu在2007-12-25 21:20:00的发言:[br]支持;肝aml-------脂肪成分,中心血管征,延时强化.
[br][/quote]
作者: zhang2007 时间: 2008-1-6 06:34
肝血管平滑肌脂肪瘤
| 欢迎光临 医影在线 (http://bbs.radida.com/bbs/) |
Powered by Discuz! X3.2 |