医影在线

标题: X3170:左侧膝关节疼痛 [打印本页]

作者: 眼睛    时间: 2007-12-28 17:04
标题: X3170:左侧膝关节疼痛
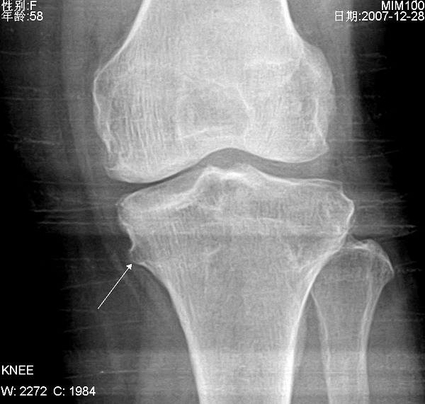
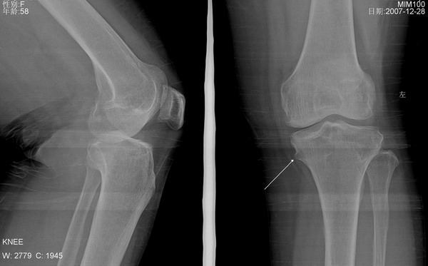
左侧膝关节疼痛




[本贴已被 翁志蓬 于 2007-12-28 12:01:23 修改过]

作者: hezhonghu    时间: 2007-12-28 17:11
骨疣、骨质增生.
作者: 九目段    时间: 2007-12-28 17:21
1、左膝关节退行性骨关节病伴关节积液。
2、胫骨干骺端骨软骨瘤。
作者: wangjj555    时间: 2007-12-28 18:16
1、左膝关节退行性骨关节病伴关节积液。
2、胫骨干骺端骨软骨瘤。
作者: 随光逐影    时间: 2007-12-28 18:54
左侧胫骨上干骺端内侧骨软骨瘤。
作者: dyqct    时间: 2007-12-28 19:27
支持左侧胫骨近侧干骺端内侧骨软骨瘤。
作者: 731208    时间: 2007-12-28 19:33
支持左侧胫骨近侧干骺端内侧骨软骨瘤
作者: livingod    时间: 2007-12-28 19:56
左侧胫骨上干骺端内侧骨软骨瘤。
作者: ZHANGZHONGSHOU    时间: 2007-12-28 20:16
支持骨软骨瘤,关节积液看不出来。
作者: luoxinjun    时间: 2007-12-28 21:18
支持骨软骨瘤,\"关节积液\"平片能看到?
作者: 康振朝    时间: 2007-12-28 21:21
支持骨软骨瘤
作者: zjzjr    时间: 2007-12-28 21:42
1、左膝关节退行性骨关节病。
2、胫骨干骺端骨软骨瘤。
作者: 石门之剑    时间: 2007-12-28 23:53
支持骨软骨瘤,关节积液看不出来。另有骨质增生。
作者: 黑白光影    时间: 2007-12-28 23:55
左侧胫骨上干骺端内侧骨软骨瘤。
作者: hexue    时间: 2007-12-29 00:45
标题: 回复:x3170:左侧膝关节疼痛
支持左侧胫骨近侧干骺端内侧骨软骨瘤。
作者: wy232326    时间: 2007-12-29 01:13
1、左膝关节退行性骨关节病。2、胫骨干骺端骨软骨瘤.
作者: shiqingfa    时间: 2007-12-29 02:58
1、左膝关节退变
2、胫骨干骺端骨软骨瘤。
作者: wqs571018    时间: 2007-12-29 03:02
左侧胫骨近侧干骺端内侧小骨疣。
作者: yuhongjun    时间: 2007-12-29 03:03
支持左侧胫骨近侧干骺端内侧骨软骨瘤。
作者: 李龙    时间: 2007-12-29 03:24
关节积液主要看关节囊改变和关节间隙的改变 不如浮膑试验准
作者: ljchenshiying    时间: 2007-12-29 03:26
左侧胫骨近侧干骺端内侧骨软骨瘤
作者: xulianj    时间: 2007-12-29 05:09
1、左膝关节退行性骨关节病伴关节积液。
2、胫骨干骺端骨软骨瘤。
作者: ml2007    时间: 2007-12-29 05:27
胫骨干骺端骨软骨瘤
作者: wangdch2008    时间: 2007-12-29 05:30
支持骨软骨瘤
作者: ljj88    时间: 2007-12-29 06:01
支持左侧胫骨近侧干骺端内侧骨软骨瘤
作者: zhangxiangjun    时间: 2007-12-29 08:15
1、左膝关节退行性骨关节病。
2、左胫骨干骺端骨软骨瘤。
左侧内侧间隙稍窄,只能提示关节积液的可能性,建议mri进一步检查确诊。
作者: jinguoji    时间: 2007-12-30 06:28
左侧胫骨近侧干骺端内侧骨软骨瘤,左膝关节退行性骨关节病
作者: gjj6818    时间: 2007-12-31 19:55
标题: 回复:x3170:左侧膝关节疼痛
以下是引用dyqct在2007-12-28 11:27:00的发言:[br]支持左侧胫骨近侧干骺端内侧骨软骨瘤。

作者: qsbaomingcheng    时间: 2008-1-16 23:30
胫骨近端内侧骨软骨瘤
作者: huangyucun    时间: 2008-1-17 00:05
骨软骨瘤
作者: ruimingaiwangli    时间: 2008-1-26 20:39
左侧骨软骨瘤
关节积液?怎么看的?
作者: shibing    时间: 2013-9-26 07:56
胫骨干骺端骨软骨瘤。
作者: lyming00    时间: 2013-9-27 06:43
胫骨干骺端骨软骨瘤。




欢迎光临 医影在线 (http://bbs.radida.com/bbs/) Powered by Discuz! X3.2