医影在线
标题: CT11087:男性,82.咳嗽一周.抗炎治疗4-5天效果不明 [打印本页]
作者: lijifeng5432 时间: 2007-12-28 20:33
标题: CT11087:男性,82.咳嗽一周.抗炎治疗4-5天效果不明


















[本贴已被 lijifeng5432 于 2007-12-28 12:35:16 修改过]
[本贴已被 jiajie 于 2007-12-28 14:30:48 修改过]
作者: lijifeng5432 时间: 2007-12-28 20:38
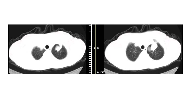
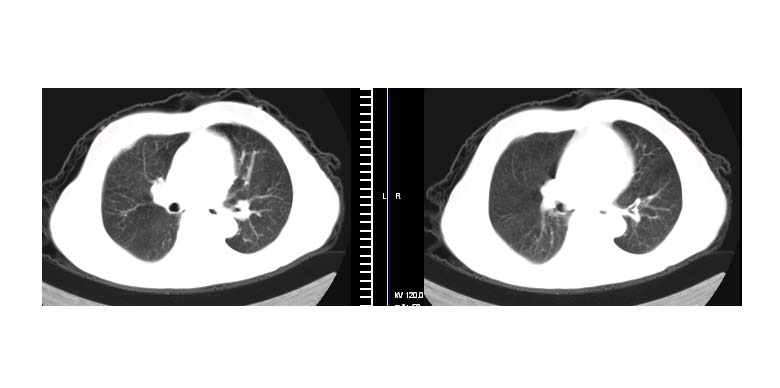
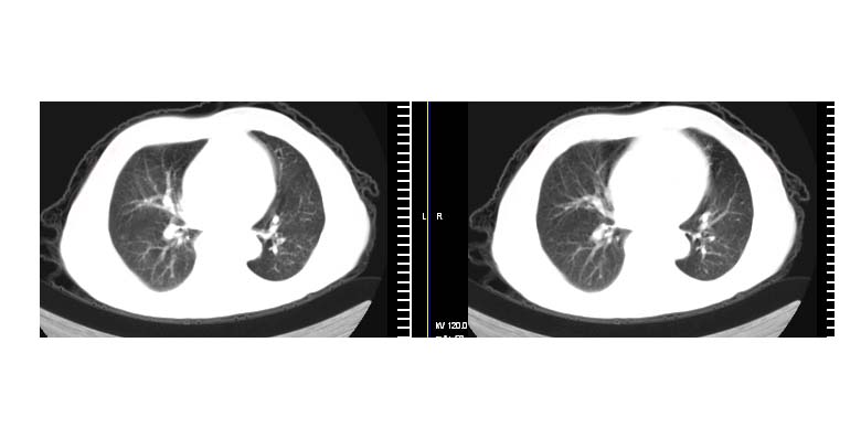
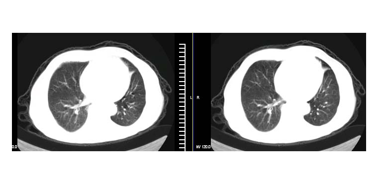
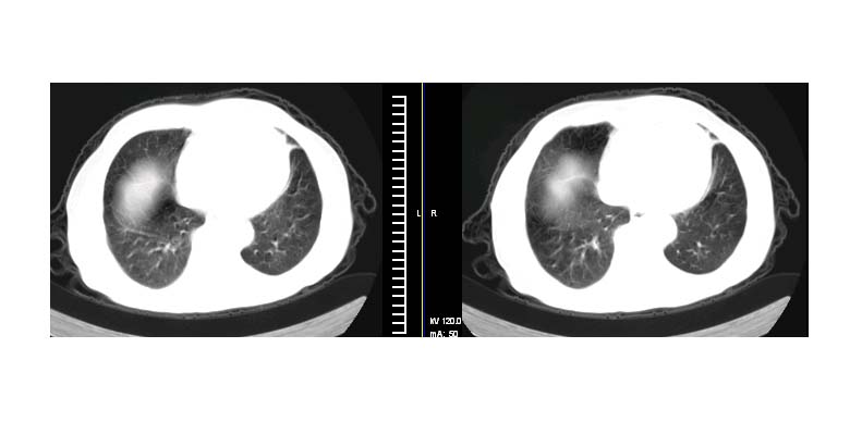
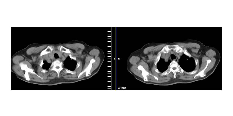
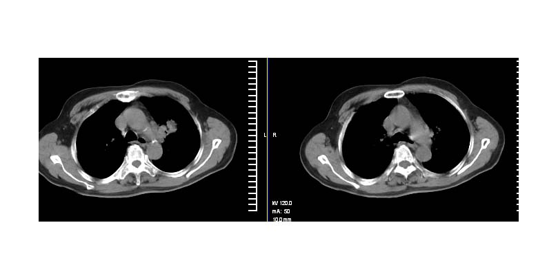
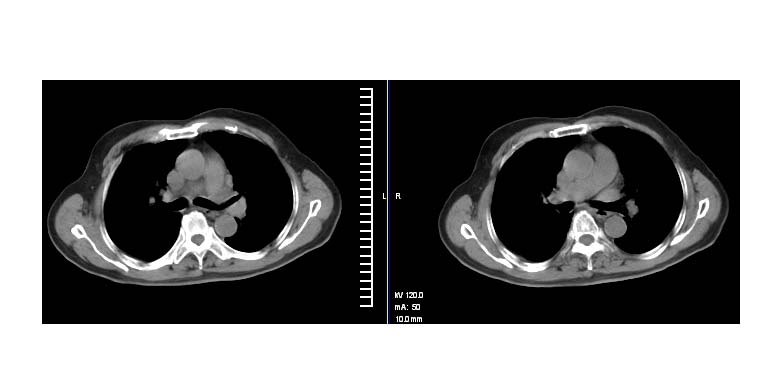
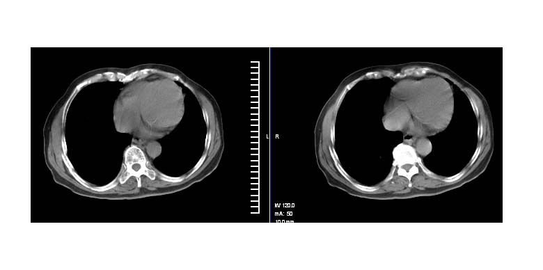
考虑左上肺癌,似与左侧肋骨关系密切?
作者: wangdch2008 时间: 2007-12-28 20:49
左上肺周围型肺癌伴纵隔淋巴结转移
作者: liuyue 时间: 2007-12-28 21:12
先考虑:左上肺癌。
作者: 康振朝 时间: 2007-12-28 21:29
左上肺周围型肺癌伴纵隔淋巴结转移
作者: 随光逐影 时间: 2007-12-28 21:38
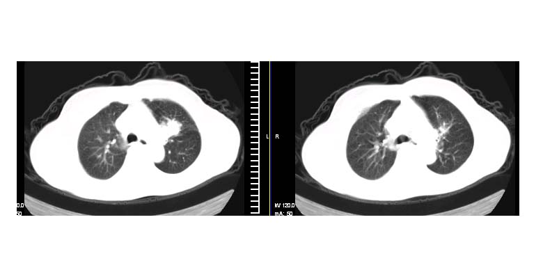
左肺上叶尖段周围型肺癌伴左肺门淋巴结转移。
作者: zjzjr 时间: 2007-12-28 21:54
左肺上叶周围型肺癌
作者: 卜一 时间: 2007-12-28 22:15
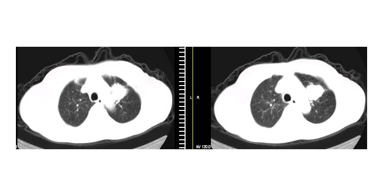
左上肺实质性肿块,浅分叶 毛糙 胸膜凹陷征 纵隔淋巴结肿大——支持:左肺上叶周围型肺癌!
作者: wangjj555 时间: 2007-12-28 22:17
左上肺周围型肺癌伴纵隔淋巴结转移
作者: LIAOQIANG 时间: 2007-12-28 22:46
考虑左上肺周围型肺癌伴纵隔淋巴结转移。
作者: xuhuihong 时间: 2007-12-28 23:02
左上肺软组织肿块,有分叶,短毛刺,气管旁间隙见有肿大淋巴结,考虑左上周围型肺癌伴纵隔淋巴结转移。
作者: lirenxiong 时间: 2007-12-28 23:11
标题: 回复:ct11087:男性,82.咳嗽一周.抗炎治疗4-5天效
以下是引用xuhuihong在2007-12-28 15:02:00的发言:[br]左上肺软组织肿块,有分叶,短毛刺,气管旁间隙见有肿大淋巴结,考虑左上周围型肺癌伴纵隔淋巴结转移。
作者: 石门之剑 时间: 2007-12-28 23:18
病人年龄偏大,不除外为恶性病变。
作者: jinguoji 时间: 2007-12-28 23:27
左上肺周围型肺癌伴纵隔淋巴结转移。
作者: 刘明 时间: 2007-12-29 00:03
先考虑:左上肺癌。
作者: lizimu 时间: 2007-12-29 00:11
考虑左上肺周围型肺癌伴纵隔淋巴结转移
作者: liaizhi 时间: 2007-12-29 00:18
考虑左上肺癌(病灶有分叶,毛刺)可能性大.
作者: dzctdcq 时间: 2007-12-29 00:29
左肺上叶前段肺癌并纵隔淋巴结肿大。
作者: 随缘的人 时间: 2007-12-29 02:04
考虑:左上肺癌。
作者: lvzi 时间: 2007-12-29 02:48
考虑左上周围型肺癌伴左肺门淋巴结转移.
作者: xulianj 时间: 2007-12-29 04:30
左上肺癌。
作者: 朱亮 时间: 2007-12-29 04:38
左肺上叶周围型肺癌
作者: 拾荒者 时间: 2007-12-29 05:12
考虑左上肺周围性肺癌(实性病灶有分叶,毛刺)可能性大。
作者: yy杨洋 时间: 2007-12-29 05:52
标题: 回复:ct11087:男性,82.咳嗽一周.抗炎治疗4-5天效
以下是引用随缘的人在2007-12-28 18:04:00的发言:[br]考虑:左上肺癌。
作者: 宇宙ct 时间: 2007-12-29 08:27
左肺上叶尖段周围型肺癌伴左肺门淋巴结转移。
作者: zhanglixian1985 时间: 2007-12-29 17:08
左上肺癌并纵隔淋巴结转移!
作者: dyqct 时间: 2007-12-29 17:28
考虑左上肺周围性肺癌。
作者: zyx168 时间: 2007-12-31 07:25
考虑左上肺周围型肺癌伴纵隔淋巴结转移。
| 欢迎光临 医影在线 (http://bbs.radida.com/bbs/) |
Powered by Discuz! X3.2 |