医影在线
标题: X3180:男性,35岁,请看这只打脚 [打印本页]
作者: wangjie    时间: 2007-12-29 20:48
标题: X3180:男性,35岁,请看这只打脚
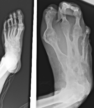
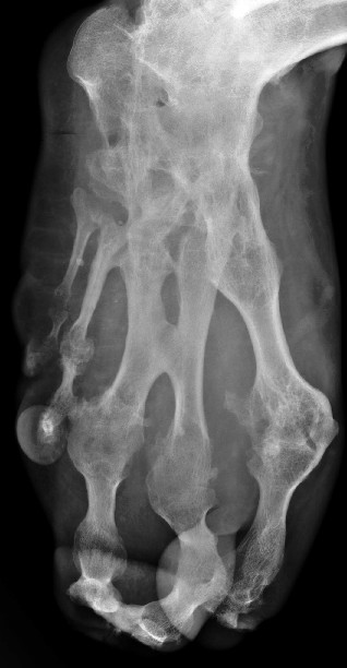
男性,35岁,左足随年龄增大,无疼痛及其它不适。还能开车了。

[本贴已被 jiajie 于 2007-12-29 16:27:43 修改过]
作者: ZHANGZHONGSHOU    时间: 2007-12-29 21:12
标题: 回复
幼年时就大吗,如果是就是先天性畸形--巨足症。
[本贴已被 zhangzhongshou 于 2007-12-30 9:43:13 修改过]
作者: 随光逐影    时间: 2007-12-29 21:58
真少见!
考虑为:左足遗传性多发性骨软骨瘤并血管瘤(动脉瘤?)。
作者: 岩光蛋    时间: 2007-12-29 22:08
好恐怖。没见过。大——开——眼——界!愿听高手点评
作者: zhangkai    时间: 2007-12-29 22:19
考虑先天性巨肢症(节段性肥大)。
作者: wy232326    时间: 2007-12-29 22:38
没见过 学习中
作者: dyqct    时间: 2007-12-29 22:40
标题: 回复:请看这只打脚
以下是引用zhangkai在2007-12-29 14:19:00的发言:[br]考虑先天性巨肢症(节段性肥大)。
支持!另外还有诸关节间的骨性强直。
作者: jiangjing    时间: 2007-12-29 23:11
考虑先天性巨肢症(节段性肥大)。
作者: 飞虎大道    时间: 2007-12-29 23:19
未见过,就像被传说中的化骨粉给 化过
望得知结果。
作者: wwwlcz    时间: 2007-12-30 00:02
没见过
作者: 麻醉一生    时间: 2007-12-30 00:13
没见过。
作者: lichji-xct    时间: 2007-12-30 02:36
标题: 回复:x3180:男性,35岁,请看这只打脚
以下是引用岩光蛋在2007-12-29 14:08:00的发言:[br]好恐怖。没见过。大——开——眼——界!愿听高手点评
作者: zhengfaming    时间: 2007-12-30 02:51
左足个组成骨部分融合,形态失常(患者未感异常)
考虑先天病变(节段性肥大)
作者: wangjj555    时间: 2007-12-30 03:32
学习了
作者: 眼睛    时间: 2007-12-30 04:33
大——开——眼——界!
畸形儿?
作者: 黑白光影    时间: 2007-12-30 04:42
真是少见,象根雕.
 (左足随年龄增大,无疼痛及其它不适)考虑为多发性 内 外生骨软骨瘤。
作者: jinguoji    时间: 2007-12-30 05:05
支持考虑先天性巨肢症(节段性肥大)。
作者: zhang2007    时间: 2007-12-30 05:16
没见过,是遗传性疾病吗
作者: 风雨孩子    时间: 2007-12-30 05:18
真的很奇怪
作者: ljj88    时间: 2007-12-30 05:21
没见过 学习中
作者: luoxinjun    时间: 2007-12-30 05:25
大——开——眼——界
作者: wei98ying    时间: 2007-12-30 05:33
学习了,谢谢
作者: ruoliu    时间: 2007-12-30 05:50
考虑 先天性多发骨软骨瘤病
作者: hexue    时间: 2007-12-30 07:18
第一次见到 学习了
作者: zhangxiangjun    时间: 2007-12-30 07:38
从未见过  学习了。跟遗传有关?
作者: shiqingfa    时间: 2007-12-30 18:34
考虑先天性巨肢症(节段性肥大)。
作者: xulianj    时间: 2007-12-30 20:07
巨肢症
作者: weiyuefang    时间: 2007-12-30 22:30
请见过的讲解一下吧。没有见过啊!
作者: livingod    时间: 2007-12-31 21:58
巨足畸形合并并趾畸形。
作者: hlf3969    时间: 2008-1-2 04:45
麻风引起?没有见过,学习了。
作者: qsbaomingcheng    时间: 2008-1-16 06:01
没见过
作者: 杀毒软件    时间: 2008-2-6 20:42
巨趾畸形。遗传?或并发血管瘤或神经纤维瘤
作者: shenjie91    时间: 2008-2-8 01:20
没见过。。。学习学习
作者: shibing    时间: 2013-10-4 08:39
考虑先天性巨肢症(节段性肥大)。
作者: ZHANGZHONGSHOU    时间: 2015-1-15 10:43
符合先天性巨肢症,临床资料需完善。1\2\3跖趾骨肥大为主要表现,但骨关节形态有些失常,有部分融合,是否曾有过感染。
     
| 欢迎光临 医影在线 (http://bbs.radida.com/bbs/) | Powered by Discuz! X3.2 |