医影在线
标题: CL0653:【】异位胆囊 [打印本页]
作者: qinwei260 时间: 2008-1-2 04:33
标题: CL0653:【】异位胆囊
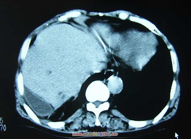
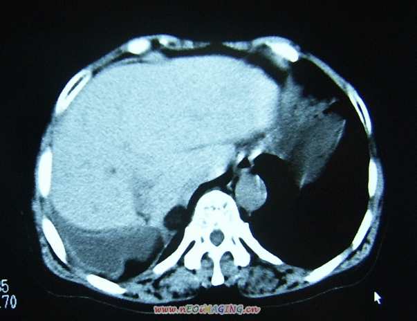
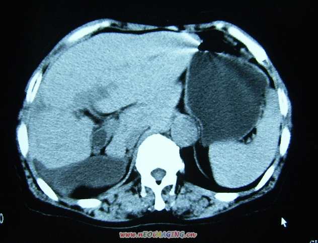
女56y右上腹不适数年.






[本贴已被 zhanyong 于 2008-1-1 21:08:49 修改过]
[本贴已被 翁志蓬 于 2008-10-27 0:50:04 修改过]
作者: 同 时间: 2008-1-2 04:51
经典!!!
作者: hszhoupeng 时间: 2008-1-2 18:27
非常感谢!我从未见过.
作者: zhanglixian1985 时间: 2008-1-3 02:52
太谢谢楼主了,第一次见
作者: HARRY 时间: 2008-1-3 05:37
太谢谢楼主了,第一次见
作者: jinguoji 时间: 2008-1-3 21:52
谢谢楼主!!
作者: zjzjr 时间: 2008-1-4 20:46
异位也术远了吧.
作者: wei98ying 时间: 2008-1-5 05:36
谢谢.第一次见.
作者: xn2ylwg 时间: 2008-1-5 07:51
好病例,典型.
作者: 信天游 时间: 2008-1-6 02:41
经典
作者: huichuan.2007 时间: 2008-1-6 07:17
谢谢这么好的病例,怎么证实的!
作者: ☆芝麻糖☆ 时间: 2008-1-6 17:38
典型。
作者: 沙漠骆驼 时间: 2008-1-7 03:22
第一次见这样好病历. 经典./ 是怎样证实的?
作者: hqr123 时间: 2008-1-7 07:13
图像太少,是否手术证实?
作者: 宝天曼 时间: 2008-1-10 03:41
太谢谢楼主了,第一次见
作者: wnlyq8688 时间: 2008-1-10 08:33
第一次见
作者: lin127 时间: 2008-1-11 05:23
没见过 ,学习了。谢谢!
作者: 阿敏 时间: 2008-1-18 07:35
谢谢
作者: yangyudong333 时间: 2008-1-19 02:45
太经典了
作者: zhw974247 时间: 2008-1-25 04:31
好病例,典型.
作者: qc80012345 时间: 2008-2-8 03:50
真是好病例,人有千奇百怪呀。
作者: hguox 时间: 2008-2-10 03:52
谢谢.第一次见
作者: wy232326 时间: 2008-2-12 02:56
谢谢.第一次见 学习了
作者: ZHANGZHONGSHOU 时间: 2008-2-19 21:24
支持,我也遇到过一例后位胆囊。
作者: xulianj 时间: 2008-2-29 03:20
支持;还有肝内异位的。
作者: xuhuihong 时间: 2008-2-29 21:08
谢谢.第一次见.
作者: xjlaodao 时间: 2008-3-1 00:46
长见识
作者: 杀毒软件 时间: 2008-4-13 22:46
谢谢楼主了,第一次见
作者: dianzi 时间: 2008-4-18 00:47
是啊怎么证实的
作者: 黑白光影 时间: 2008-4-18 17:38
谢谢.第一次见.
作者: hexue 时间: 2009-7-4 22:57
好病例,典型.
作者: yuhongjun 时间: 2010-4-3 22:19
第一次见,是胆囊吗?
作者: shibing 时间: 2012-5-30 14:32
异位胆囊
| 欢迎光临 医影在线 (http://bbs.radida.com/bbs/) |
Powered by Discuz! X3.2 |