















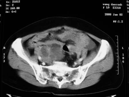
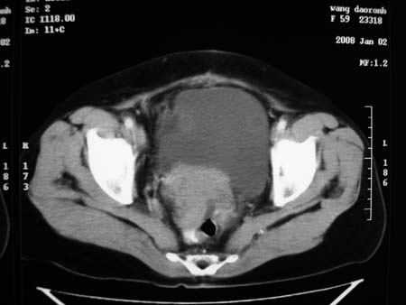
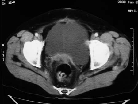
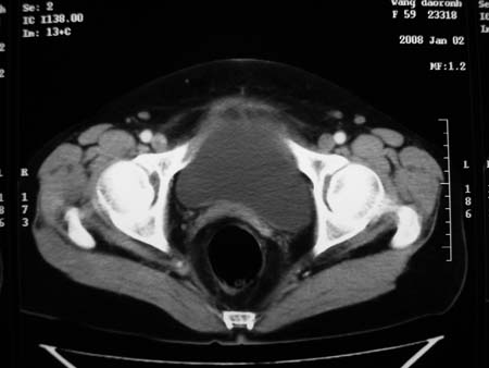
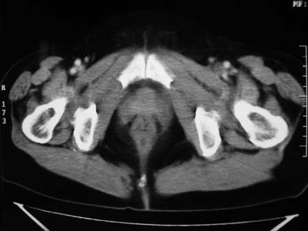
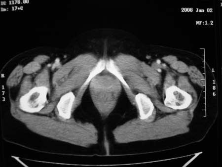
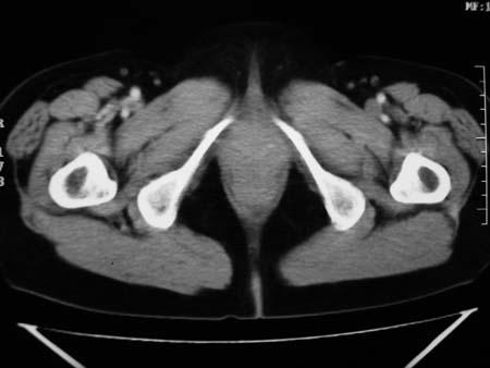
以下是引用卜一在2008-1-2 20:39:00的发言:[br]右侧附件区囊实性肿块,与膀胱壁分界不清,增强后实性部分显示强化。考虑为:右侧卵巢囊腺癌可能性大。支持!
以下是引用zhengfaming在2008-1-2 19:28:00的发言:[br]右下腹腔内附件区可见一囊实性混合密度块影,先考虑囊腺癌
以下是引用九目段在2008-1-2 20:13:00的发言:[br][br]
| 欢迎光临 医影在线 (http://bbs.radida.com/bbs/) | Powered by Discuz! X3.2 |