医影在线
标题: CT11164:男,46岁,白血病患者,,大家看看. [打印本页]
作者: yy杨洋 时间: 2008-1-3 20:51
标题: CT11164:男,46岁,白血病患者,,大家看看.
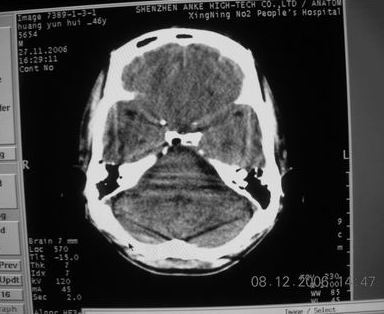
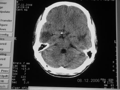
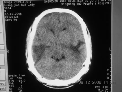
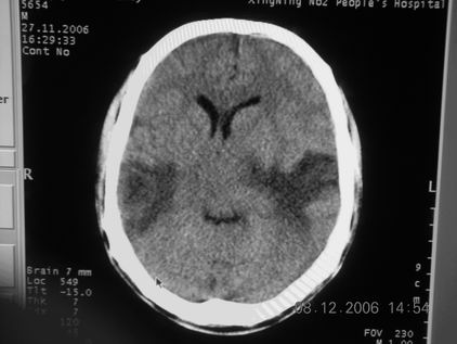
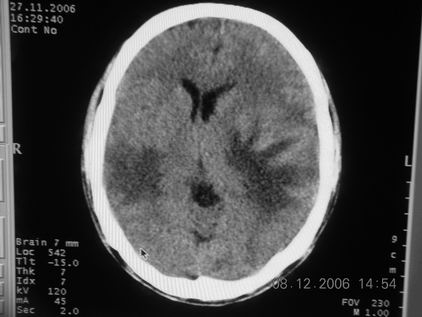
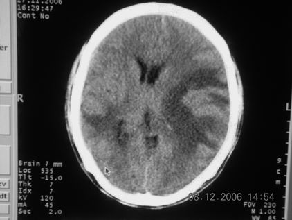
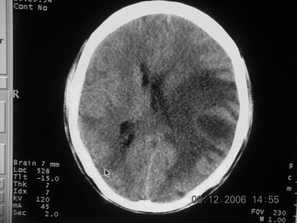
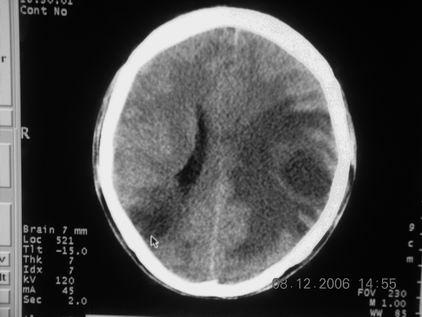
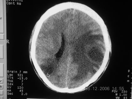
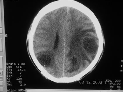
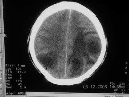
以前的片子,病史忘了,男,46岁,白血病患者,后来到中山二院诊断为














[本贴已被 jiajie 于 2008-1-4 6:54:19 修改过]
作者: yy杨洋 时间: 2008-1-3 21:02
谁见过白血病中枢系统改变是怎么样的吗?
作者: 随光逐影 时间: 2008-1-3 21:57
多发性脑脓肿?
作者: dyqct 时间: 2008-1-3 22:21
白血病脑浸润。
作者: zjzjr 时间: 2008-1-3 22:42
支持白血病脑浸润.
作者: wywly 时间: 2008-1-3 23:21
标题: 学习
学习的态度看这片子
是不是出血灶?不会合并其他疾病吧?
[本贴已被 wywly 于 2008-1-3 15:22:28 修改过]
作者: 沙漠骆驼 时间: 2008-1-3 23:27
1 多发脑脓肿可能性大.>2 白血病浸润.
作者: gaoshengjiang 时间: 2008-1-4 00:08
白血病脑浸润。没见过!但结合病史应首先考虑此病。
作者: 猫咪片子 时间: 2008-1-4 01:03
支持白血病脑浸润
我们医院就有这样的病人
作者: xulianj 时间: 2008-1-4 20:09
支持白血病脑浸润.建议增强。
作者: tao772 时间: 2008-1-4 22:06
支持白血病脑浸润?
请高手讲解一下。谢谢。
作者: zyyzzy 时间: 2008-1-5 00:00
学习了!!第一次见白血病脑侵润的片子,希望老师们能多传几张,学习以下!!
作者: 拾荒者 时间: 2008-1-5 03:59
结合病史考虑白血病脑浸润。
作者: xn2ylwg 时间: 2008-1-5 07:03
考虑多发性脑脓肿形成.
作者: 李世军 时间: 2008-1-5 18:51
支持白血病脑浸润?
请高手讲解一下。谢谢。
作者: jinguoji 时间: 2008-1-6 06:37
结合白血病病史,支持考虑白血病脑浸润。
作者: yprzjc 时间: 2008-1-9 08:32
考虑多发脑脓肿
作者: wy232326 时间: 2008-1-9 19:31
结合病史考虑白血病脑浸润
作者: yy杨洋 时间: 2008-1-11 20:08
恳请哪位高手讲解一下。谢谢。
作者: dr.yang 时间: 2011-4-18 11:33
结合病史考虑白血病脑浸润。
作者: 吴医师 时间: 2011-4-24 09:33
结合病史考虑白血病脑浸润。
欢迎光临 医影在线 (http://bbs.radida.com/bbs/) |
Powered by Discuz! X3.2 |