医影在线
标题: x3216:间断咯血二天(结果在22楼) [打印本页]
作者: heshiyd 时间: 2008-1-4 16:33
标题: x3216:间断咯血二天(结果在22楼)
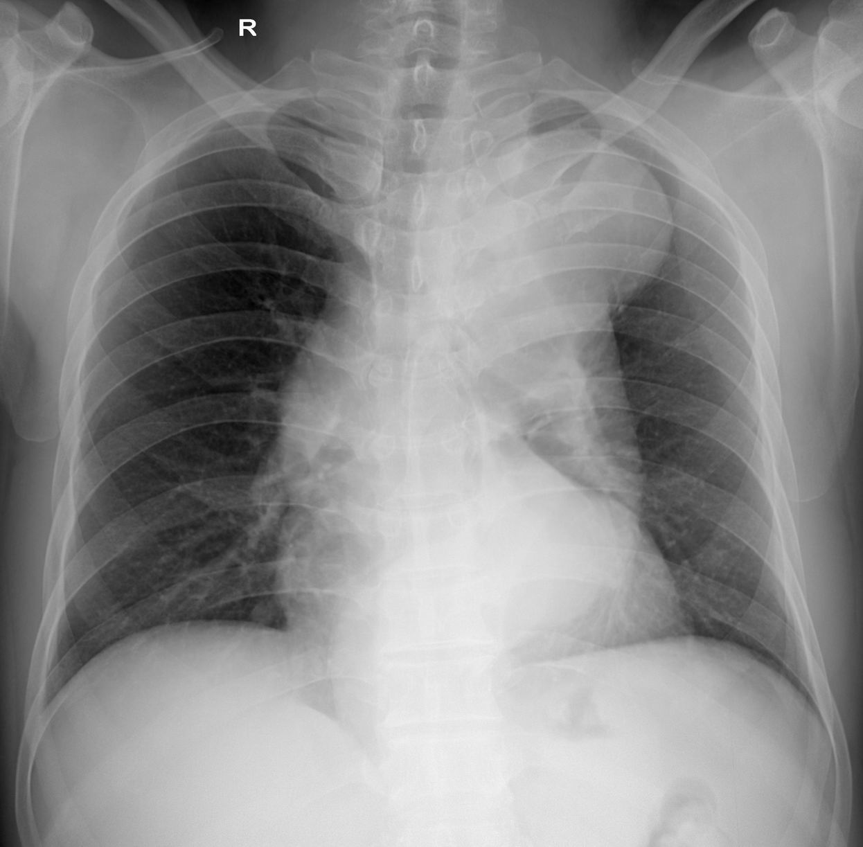
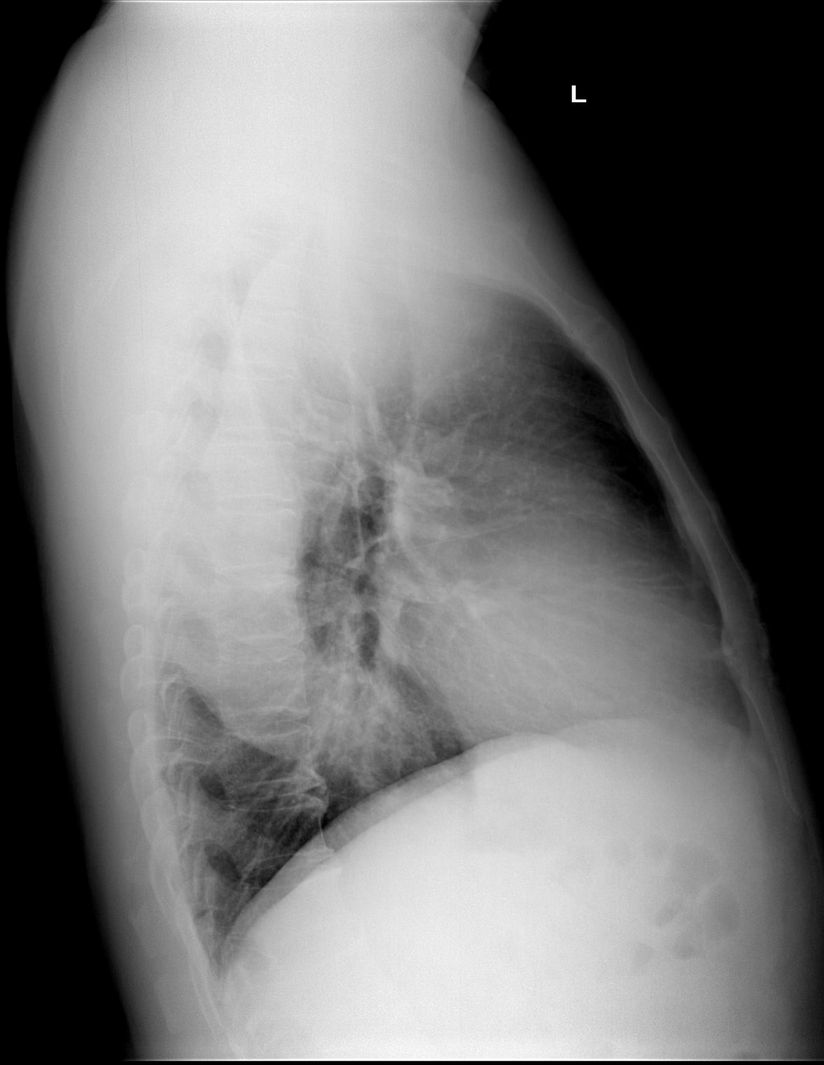
间断咯血二天,bp:120/90mmmhg,心率100/分,律齐
结果链接:http://www.radida.com/bbs/forum.php?mod=viewthread&tid=33443

[本贴已被 zhw974247 于 2008-1-4 16:40:04 修改过]
[本贴已被 heshiyd 于 2008-1-5 15:49:40 修改过]
作者: cmj 时间: 2008-1-4 16:50
纵隔肿瘤(胸腺瘤)?
作者: 光线 时间: 2008-1-4 17:28
考虑神经原性肿瘤;建议ct。
作者: wyk504 时间: 2008-1-4 17:36
主动脉影
作者: 312nanyang 时间: 2008-1-4 17:51
夹层动脉瘤?
建议做ct检查,除外肺部病变
作者: 石门之剑 时间: 2008-1-4 18:51
纵隔占位,建议ct检查。
作者: wy232326 时间: 2008-1-4 19:11
夹层动脉瘤?
建议做ct检查,除外肺部病变
支持
作者: 随光逐影 时间: 2008-1-4 19:26
纵隔占位,考虑主动脉(夹层)瘤。
作者: image777 时间: 2008-1-4 19:32
考虑纵隔内占位性病变,建议ct检查
作者: jinguoji 时间: 2008-1-4 19:41
考虑主动脉瘤,建议ct。
作者: ZHANGZHONGSHOU 时间: 2008-1-4 19:47
主动脉瘤或夹层动脉瘤,建议mri或ct增强。
作者: zjzjr 时间: 2008-1-4 20:38
纵隔占位,考虑主动脉(夹层)瘤。主动脉迂曲.
作者: hexue 时间: 2008-1-4 21:09
主动脉瘤可能性大
作者: dyqct 时间: 2008-1-4 22:55
支持主动脉瘤,建议ct。
作者: clj20 时间: 2008-1-4 23:47
主动脉瘤或夹层动脉瘤,建议mri或ct增强
作者: wangjj555 时间: 2008-1-4 23:57
主动脉瘤可能性大
作者: dr.yang 时间: 2008-1-5 00:40
支持主动脉瘤,建议ct。
作者: zhw974247 时间: 2008-1-5 00:41
支持主动脉瘤,建议ct。
作者: xulianj 时间: 2008-1-5 05:22
考虑主动脉(夹层)瘤。
作者: ml2007 时间: 2008-1-5 06:48
夹层动脉瘤?
作者: yuhongjun 时间: 2008-1-5 13:35
标题: 回复:x3216:间断咯血二天(有结果)
以下是引用zhangzhongshou在2008-1-4 11:47:00的发言:[br]主动脉瘤或夹层动脉瘤,建议mri或ct增强。
作者: heshiyd 时间: 2008-1-5 19:28
标题: 经造影及mri 检查确诊为主动脉夹层
经造影及mri 检查确诊为主动脉夹层
[本贴已被 heshiyd 于 2008-1-5 11:35:46 修改过]
作者: xiaoyizu 时间: 2008-1-5 19:38
考虑夹层动脉瘤';建议ct
作者: gjj6818 时间: 2008-1-5 19:45
标题: 回复:x3216:间断咯血二天(结果在22楼)
以下是引用随光逐影在2008-1-4 11:26:00的发言:[br]纵隔占位,考虑主动脉(夹层)瘤。
作者: wangdch2008 时间: 2008-1-5 21:20
考虑主动脉瘤
作者: SJIAN_23 时间: 2008-1-6 02:24
考虑1、迂曲的主动脉影;2、纵隔占位--主动脉瘤?建议ct检查。
作者: 信天游 时间: 2008-1-6 02:48
典型
作者: livingod 时间: 2008-1-6 03:01
主动脉夹层动脉瘤.
作者: 22222222 时间: 2008-1-6 03:56
考虑主动脉瘤,建议ct
作者: jinguoji 时间: 2008-1-6 06:51
标题: 回复:x3216:间断咯血二天(结果在22楼)
以下是引用heshiyd在2008-1-5 11:28:00的发言:[br]经造影及mri 检查确诊为主动脉夹层[br][br][br][本贴已被 heshiyd 于 2008-1-5 11:35:46 修改过]
[face=新宋体][face=宋体]结果收到,谢谢![[/face][/face]color=red]
作者: fsk123 时间: 2008-1-8 01:01
夹层动脉瘤?
建议做ct检查,除外肺部病变
作者: luoxinjun 时间: 2008-1-17 22:08
夹层动脉瘤
作者: wy232326 时间: 2008-1-19 21:05
结果收到 谢谢楼主 学习了
作者: zxczxc 时间: 2008-1-20 02:47
纵隔占位。
血管瘤?
作者: 小红帽 时间: 2008-1-21 05:44
标题: 回复:x3216:间断咯血二天(结果在22楼)
以下是引用312nanyang在2008-1-4 9:51:00的发言:[br]夹层动脉瘤?[br]建议做ct检查,除外肺部病变
作者: iispjdoctor 时间: 2008-1-30 23:04
夹层动脉瘤?
建议做ct检查,除外肺部病变
作者: shibing 时间: 2013-9-28 07:37
建议ct。
| 欢迎光临 医影在线 (http://bbs.radida.com/bbs/) |
Powered by Discuz! X3.2 |