医影在线

标题: CT11173:请会诊 男 52 [打印本页]

作者: lixiaohong8983    时间: 2008-1-4 16:35
标题: CT11173:请会诊 男 52











[本贴已被 jiajie 于 2008-1-4 18:26:07 修改过]

作者: zjzjr    时间: 2008-1-4 17:21
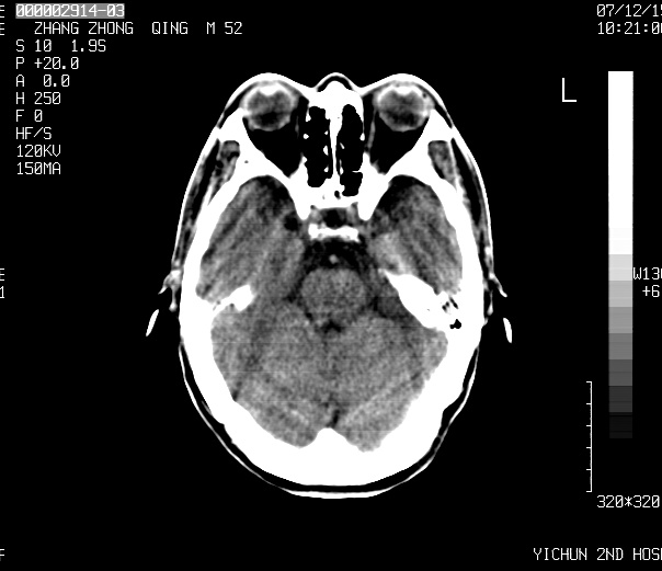
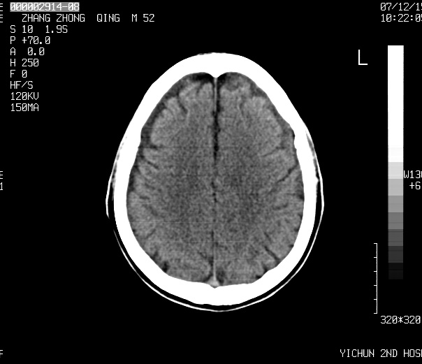
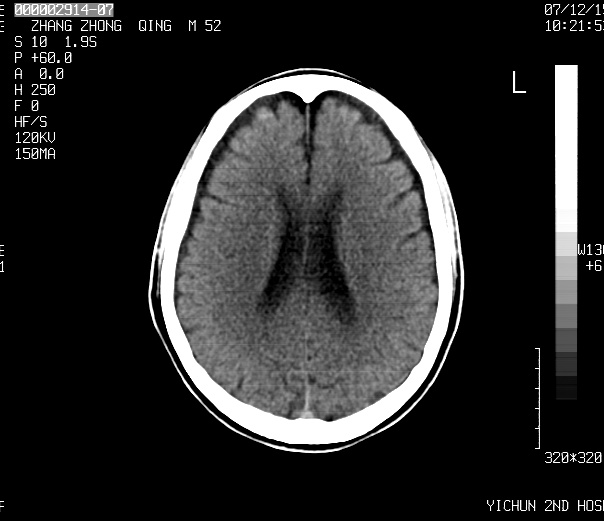
不知ct值约多少,考虑四叠体池内脂肪瘤.
作者: 光线    时间: 2008-1-4 17:25
不知ct值约多少,考虑四叠体池内脂肪瘤.支持!
作者: lsfowen    时间: 2008-1-4 17:35
怎么不提供病史,脂肪瘤?
作者: tyfzj    时间: 2008-1-4 17:46
ct值多少,病史
作者: 312nanyang    时间: 2008-1-4 17:49
四叠体池脂肪瘤可能
作者: 还珠格格    时间: 2008-1-4 17:52
1、四叠体脂肪瘤;
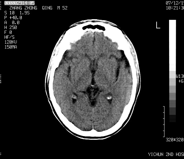
2、双侧额、顶部硬膜下积液。
作者: 石门之剑    时间: 2008-1-4 18:33
四叠体脂肪瘤可能。
作者: lixiaohong8983    时间: 2008-1-4 19:00
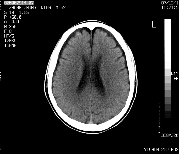
头痛二年余,ct值-86.8hu.
作者: image777    时间: 2008-1-4 19:27
四叠体池脂肪瘤
作者: HARRY    时间: 2008-1-4 20:26
四叠体池脂肪瘤
作者: 天山影士    时间: 2008-1-4 20:46
四叠体脂肪瘤;
作者: 前行    时间: 2008-1-4 20:47
支持
作者: jiangjing    时间: 2008-1-4 21:10
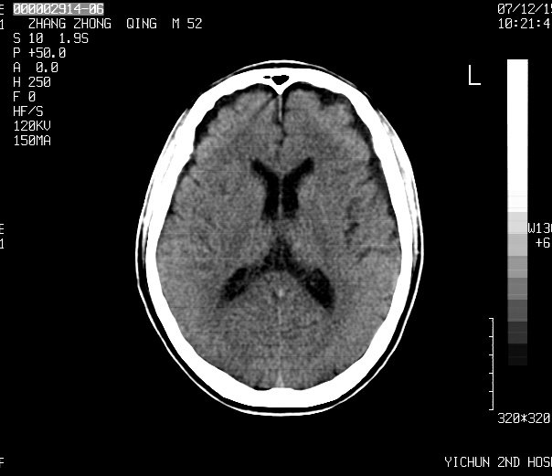
考虑    四叠体池脂肪瘤。脑萎缩
作者: tao772    时间: 2008-1-4 21:41
1、四叠体脂肪瘤;
2、双侧额、顶部硬膜下积液。
作者: 随光逐影    时间: 2008-1-4 22:04
1)四叠体池脂肪瘤.2)脑萎缩.
作者: dyqct    时间: 2008-1-4 23:16
考虑:1、四叠池区脂肪瘤(比较常见)。
      2、脑萎缩。
作者: 宇宙ct    时间: 2008-1-4 23:20
四叠体池脂肪瘤
作者: guanaishengming    时间: 2008-1-4 23:35
考虑四叠体池内脂肪瘤.支持!
作者: 同    时间: 2008-1-5 00:02
四叠体池脂肪瘤.
作者: clj20    时间: 2008-1-5 00:29
四叠体池脂肪瘤
作者: psh    时间: 2008-1-5 00:34
支持脂肪瘤。
作者: 黑金    时间: 2008-1-5 03:20
四叠体池脂肪瘤
作者: 拾荒者    时间: 2008-1-5 03:32
头痛二年余,ct值-86.8hu,支持四叠体池脑膜瘤。
作者: zsh0009    时间: 2008-1-5 03:34
1)四叠体池脂肪瘤.2)脑萎缩.
作者: 眼睛    时间: 2008-1-5 03:50
四叠体池脂肪瘤
作者: 裴德医生    时间: 2008-1-5 03:52
应变化体位再做一次ct
作者: zhengfaming    时间: 2008-1-5 04:03
四叠体脂肪瘤可能
作者: xulianj    时间: 2008-1-5 04:13
考虑四叠体池内脂肪瘤.
作者: dr.yang    时间: 2011-4-18 15:14
标题: Re:CT11173:请会诊   男 52
考虑:1、四叠池区脂肪瘤(比较常见)。
      2、脑萎缩。
作者: 吴医师    时间: 2011-4-24 09:28
标题: Re:CT11173:请会诊   男 52
1)四叠体池脂肪瘤.2)脑萎缩.




欢迎光临 医影在线 (http://bbs.radida.com/bbs/) Powered by Discuz! X3.2