医影在线
标题: CT11180:女,76岁,腹痛3-4天 [打印本页]
作者: nanjing 时间: 2008-1-5 00:11
标题: CT11180:女,76岁,腹痛3-4天
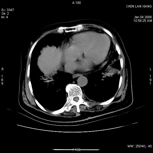
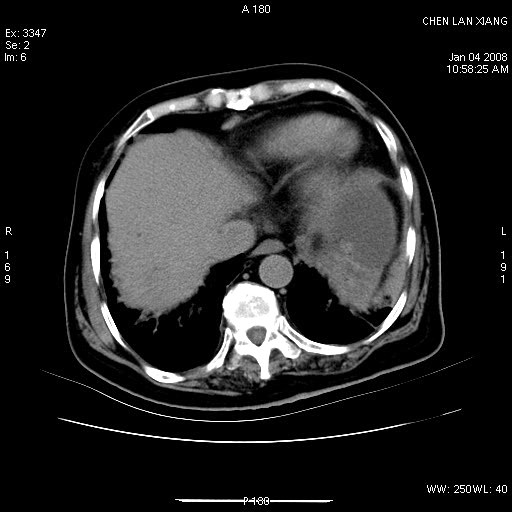
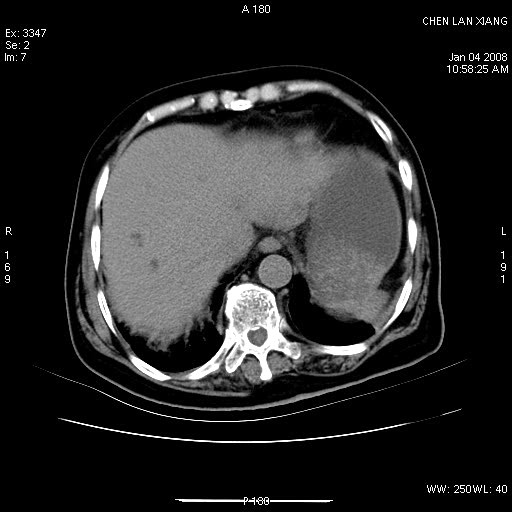
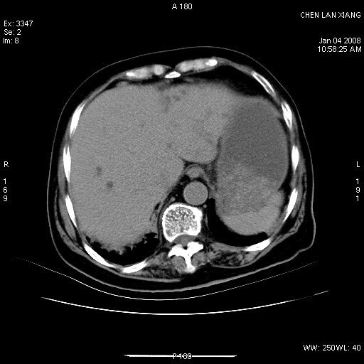
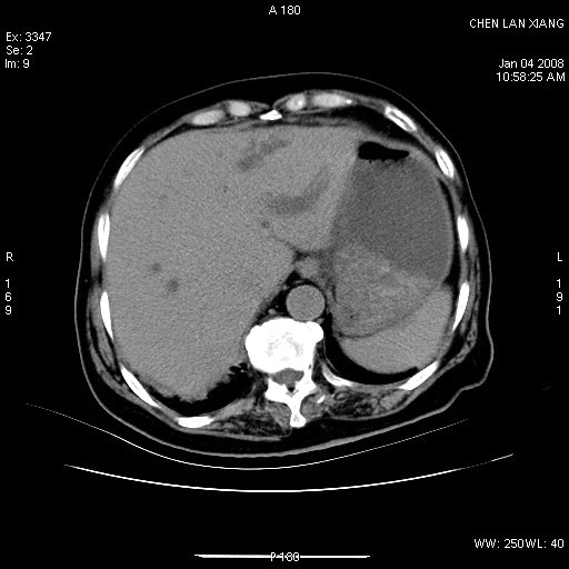
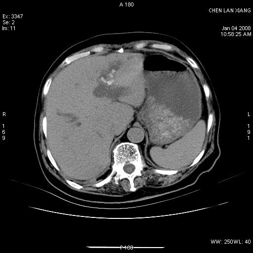
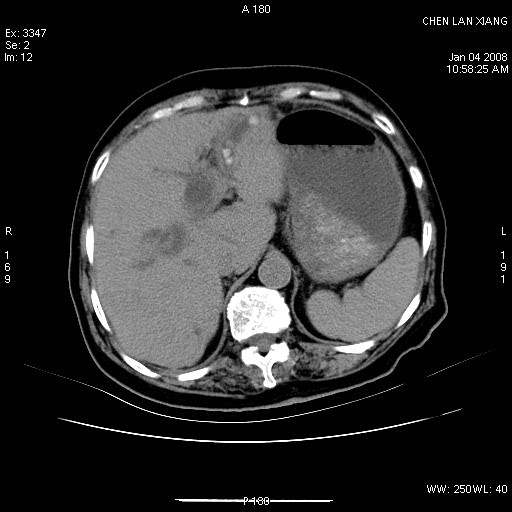
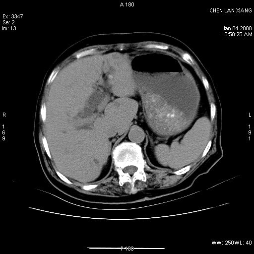
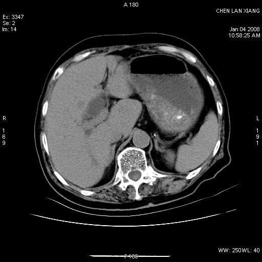
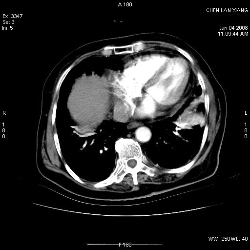
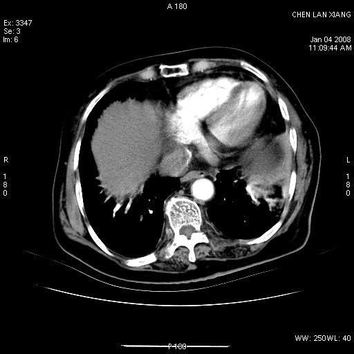
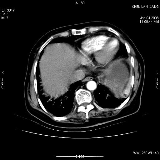
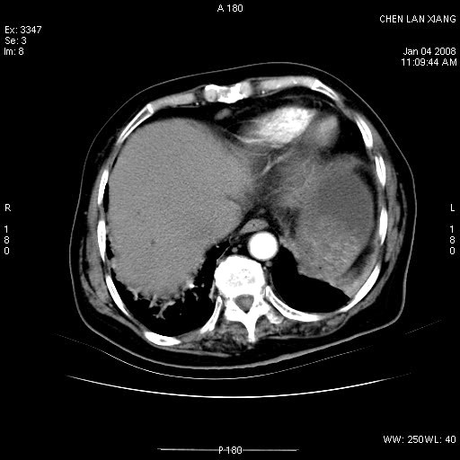
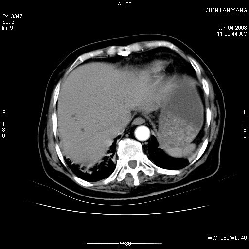
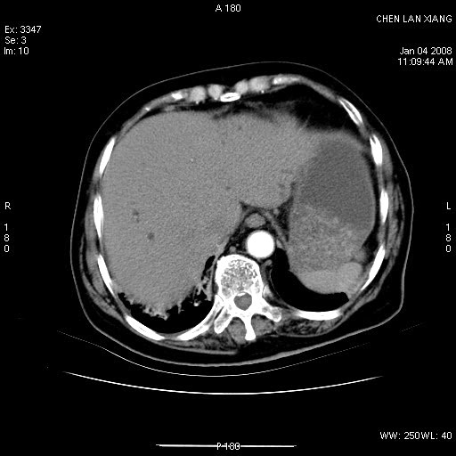
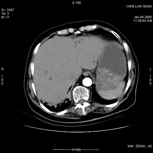
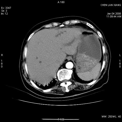
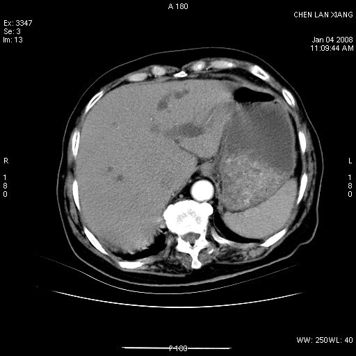
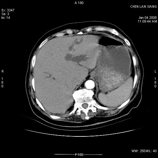
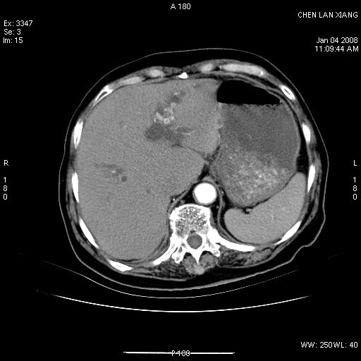
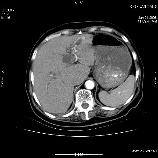
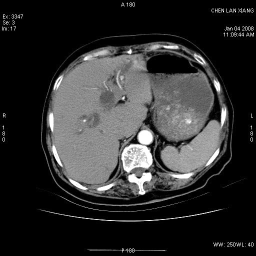
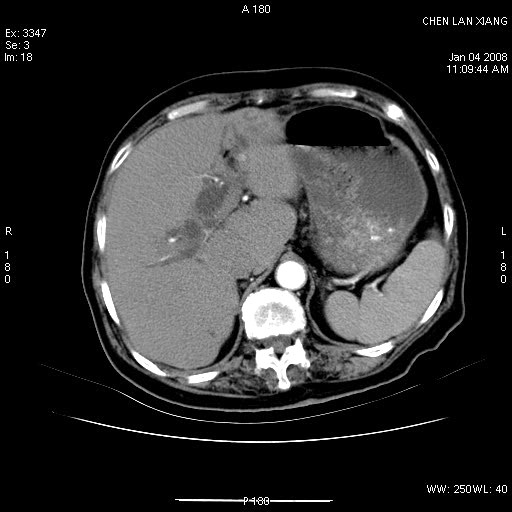
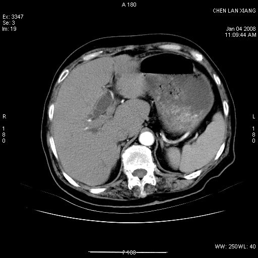
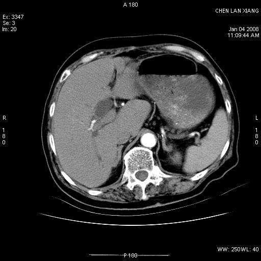
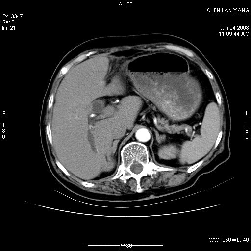
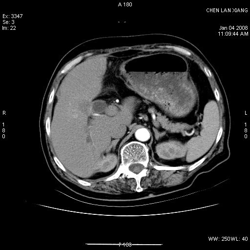
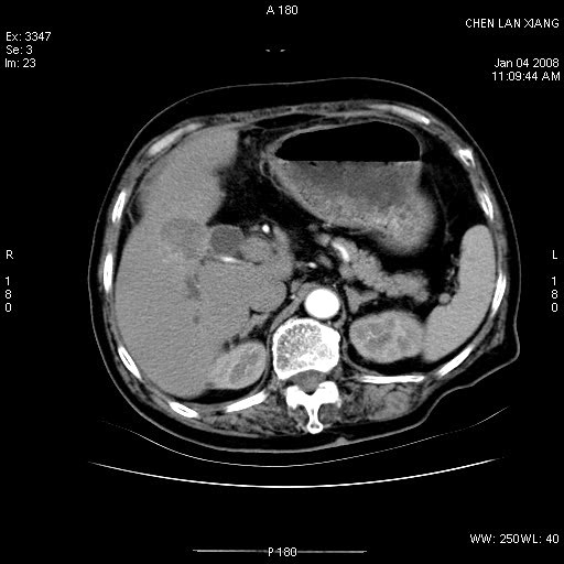
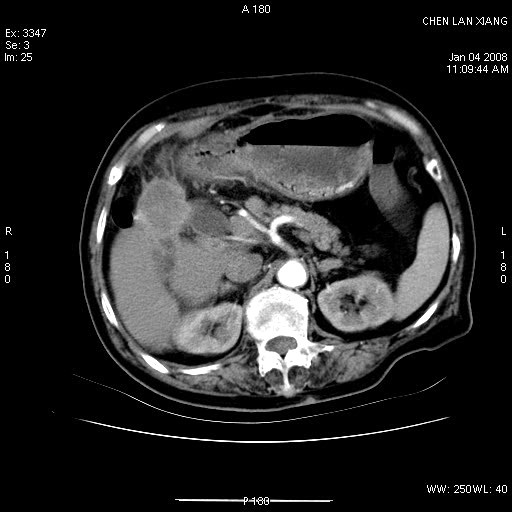
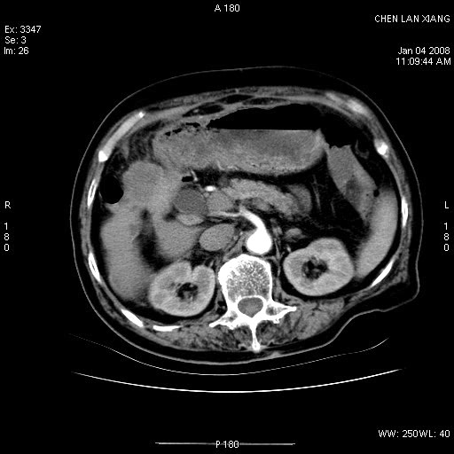
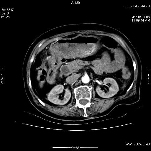
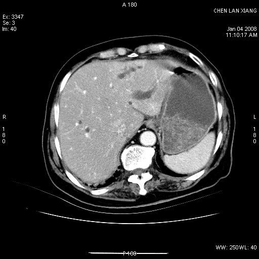
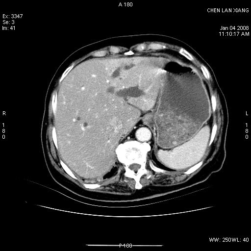
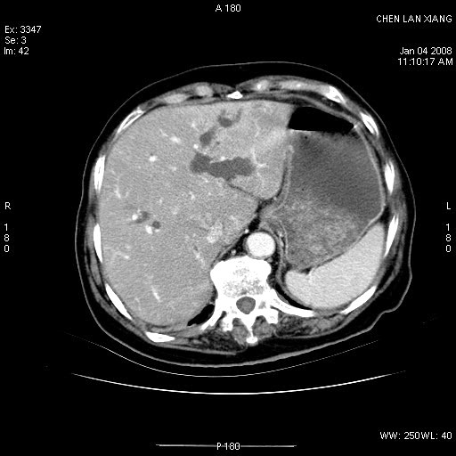
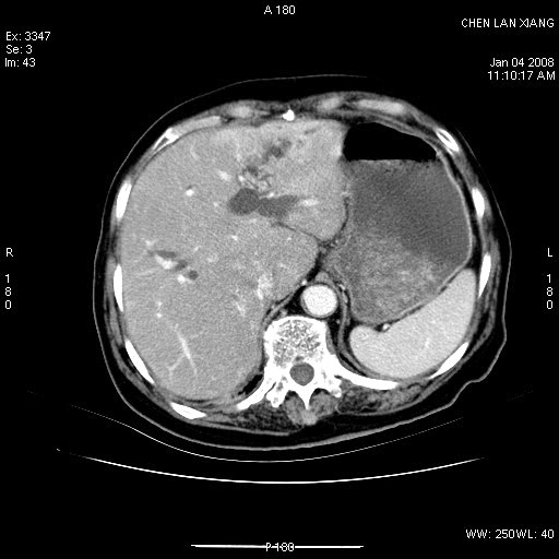
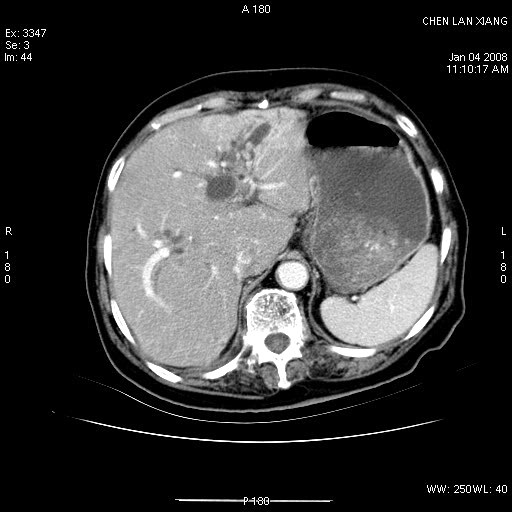
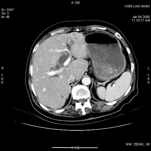
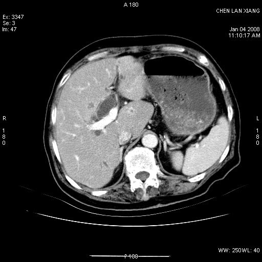
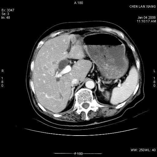
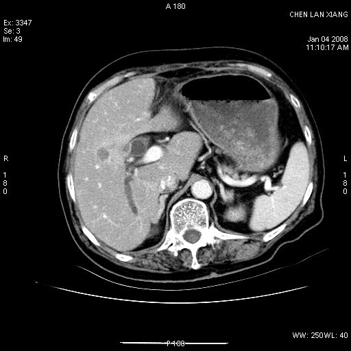
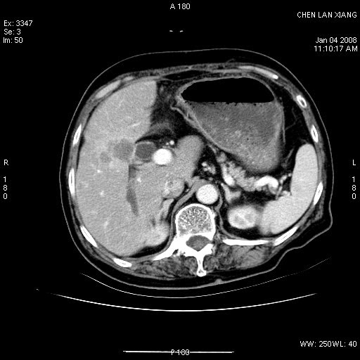
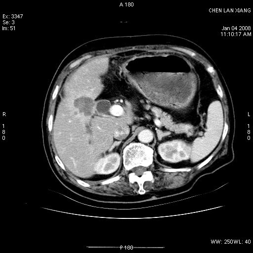
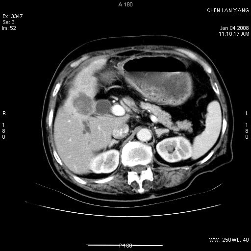
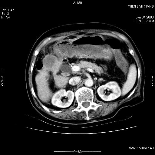
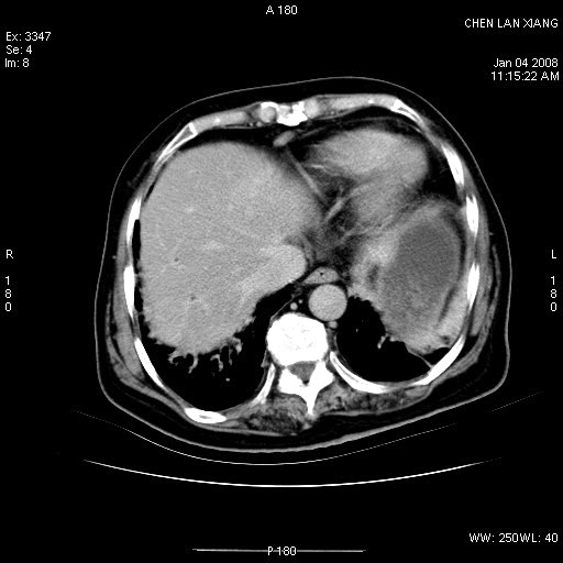
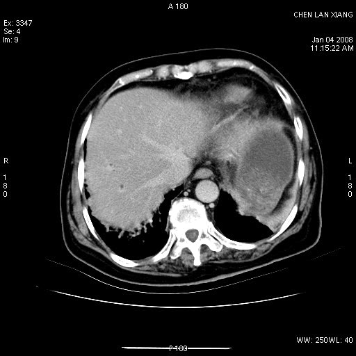
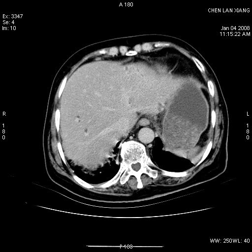
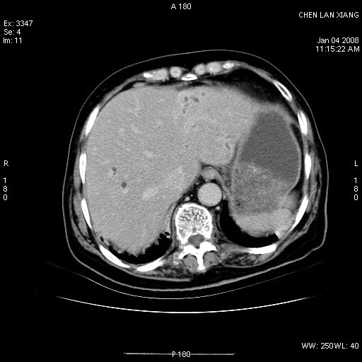
女,76岁,腹痛3-4天,b超示:肝内实性肿物,胆囊强回声,胆总管扩张.










































































[img]/upload/forum/2008/01/0416071351371.
作者: dyqct 时间: 2008-1-5 00:25
考虑:1、胆总管下端结石伴梗阻性肝内外胆管扩张(肝左叶外侧段肝内胆管多发结石、胆管炎);
2、肿囊癌累及肝,不除外 黄色肉芽肿性胆囊炎。
作者: 宇宙ct 时间: 2008-1-5 00:27
胆总管及肝内胆管扩张
作者: 卜一 时间: 2008-1-5 00:32
1 胆总管末端结石伴肝内胆管结石,肝内外胆管扩张。2 胆囊扩大,胆囊壁不规则增厚,内见软组织密度影。考虑:慢性胆囊炎,不除外胆囊癌!
作者: HARRY 时间: 2008-1-5 00:59
胆总管末端结石伴肝内胆管结石,肝内外胆管扩张。低位胆道梗阻2 胆囊扩大,胆囊壁不规则增厚,内见软组织密度影。考虑:慢性胆囊炎,不除外胆囊癌!
作者: shenhs 时间: 2008-1-5 01:10
标题: 回复:女,76岁,腹痛3-4天
以下是引用卜一在2008-1-4 16:32:00的发言:[br]1 胆总管末端结石伴肝内胆管结石,肝内外胆管扩张。2 胆囊扩大,胆囊壁不规则增厚,内见软组织密度影。考虑:慢性胆囊炎,不除外胆囊癌!
作者: wy232326 时间: 2008-1-5 01:14
1 胆总管末端结石伴肝内胆管结石,肝内外胆管扩张。2 胆囊扩大,胆囊壁不规则增厚,内见软组织密度影。考虑:慢性胆囊炎,不除外胆囊癌!
作者: zjzjr 时间: 2008-1-5 01:28
1 胆总管末端结石伴肝内胆管结石,肝内外胆管扩张。2 胆囊扩大,胆囊壁不规则增厚,内见软组织密度影。考虑:慢性胆囊炎,不除外胆囊癌!
作者: 前行 时间: 2008-1-5 02:33
胆囊内结增强影,肝内胆管、胆总管扩张明显。肝内胆管、胆总管下段多发结石,胆囊癌,建议mrcp检查
作者: xulianj 时间: 2008-1-5 03:41
肝内外胆管多发结石;胆囊癌;
作者: zsh0009 时间: 2008-1-5 03:47
标题: 回复:ct11180:女,76岁,腹痛3-4天
以下是引用卜一在2008-1-4 16:32:00的发言:[br]1 胆总管末端结石伴肝内胆管结石,肝内外胆管扩张。2 胆囊扩大,胆囊壁不规则增厚,内见软组织密度影。考虑:慢性胆囊炎,不除外胆囊癌!
作者: 同 时间: 2008-1-5 03:49
标题: 回复:ct11180:女,76岁,腹痛3-4天
以下是引用卜一在2008-1-4 16:32:00的发言:[br]1 胆总管末端结石伴肝内胆管结石,肝内外胆管扩张。2 胆囊扩大,胆囊壁不规则增厚,内见软组织密度影。考虑:慢性胆囊炎,不除外胆囊癌!
作者: zhengfaming 时间: 2008-1-5 04:09
1 胆总管末端结石伴肝内胆管结石,肝内外胆管扩张。2 胆囊扩大,胆囊壁不规则增厚,内见软组织密度影。考虑:慢性胆囊炎,不除外胆囊癌!
作者: qiuleiyu 时间: 2008-1-5 04:18
胆囊密度增高,增强后周边肝组织及胆囊窝下部周边软组织延时性不规则强化.然胆囊壁未见明显不规则增厚及肿块.左侧肝内胆管及胆总管下段结石伴胆系扩张.
考虑;胆囊炎(黄色肉芽肿性胆囊炎?),左侧肝内胆管及胆总管下段结石.
作者: wangzhengyuan 时间: 2008-1-5 05:15
胆总管末端结石伴肝内胆管结石,肝内外胆管扩张。低位胆道梗阻2 胆囊扩大,胆囊壁不规则增厚,内见软组织密度影。考虑:慢性胆囊炎,不除外胆囊癌!
作者: 宇宙ct 时间: 2008-1-5 06:31
胆总管末端结石伴肝内胆管结石,肝内外胆管扩张。低位胆道梗阻2 胆囊扩大,胆囊壁不规则增厚,内见软组织密度影。考虑:慢性胆囊炎,不除外胆囊癌!
作者: zhangkai 时间: 2008-1-5 06:34
胆总管及肝内胆管多发性结石并扩张。
作者: 拾荒者 时间: 2008-1-5 06:55
标题: 回复:ct11180:女,76岁,腹痛3-4天
以下是引用卜一在2008-1-4 16:32:00的发言:[br]1 胆总管末端结石伴肝内胆管结石,肝内外胆管扩张。2 胆囊扩大,胆囊壁不规则增厚,内见软组织密度影。考虑:慢性胆囊炎,不除外胆囊癌!
作者: 312nanyang 时间: 2008-1-5 17:08
ct所见:1、 肝内胆管结石,肝内外胆管扩张。低位胆道梗阻,胆总管下端结石;2 胆囊扩大,胆囊壁不规则增厚
考虑:胆总管下端结石并肝内外胆管扩张,肝内胆管结石;
慢性胆囊炎
作者: nanjing 时间: 2008-1-5 18:35
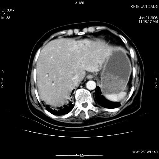
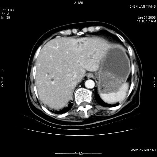
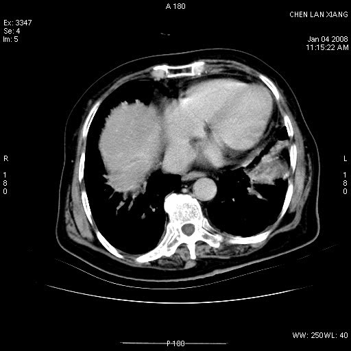
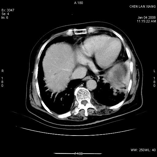
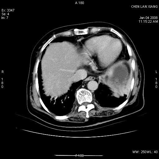
标题: 肝右叶病灶
胆囊癌侵犯肝右叶?
[本贴已被 nanjing 于 2008-1-5 10:41:14 修改过]
[本贴已被 nanjing 于 2008-1-5 13:05:03 修改过]
作者: 随光逐影 时间: 2008-1-5 21:08
1)胆囊癌伴肝脏转移。2)胆总管下端结石、肝内胆管结石伴肝内外胆管扩张。
作者: tao772 时间: 2008-1-5 22:19
胆总管末端结石伴肝内胆管结石,肝内外胆管扩张。低位胆道梗阻2 胆囊扩大,胆囊壁不规则增厚,内见软组织密度影。考虑:慢性胆囊炎,不除外胆囊癌!
作者: jinguoji 时间: 2008-1-6 06:49
1 胆总管末端结石伴肝内胆管结石,肝内外胆管扩张。2 胆囊扩大,胆囊壁不规则增厚,内见软组织密度影。考虑:慢性胆囊炎,不除外胆囊癌!
| 欢迎光临 医影在线 (http://bbs.radida.com/bbs/) |
Powered by Discuz! X3.2 |