医影在线

标题: X3243:女,74岁,直肠癌术后肝转移 [打印本页]

作者: heshiyd    时间: 2008-1-7 20:03
标题: X3243:女,74岁,直肠癌术后肝转移
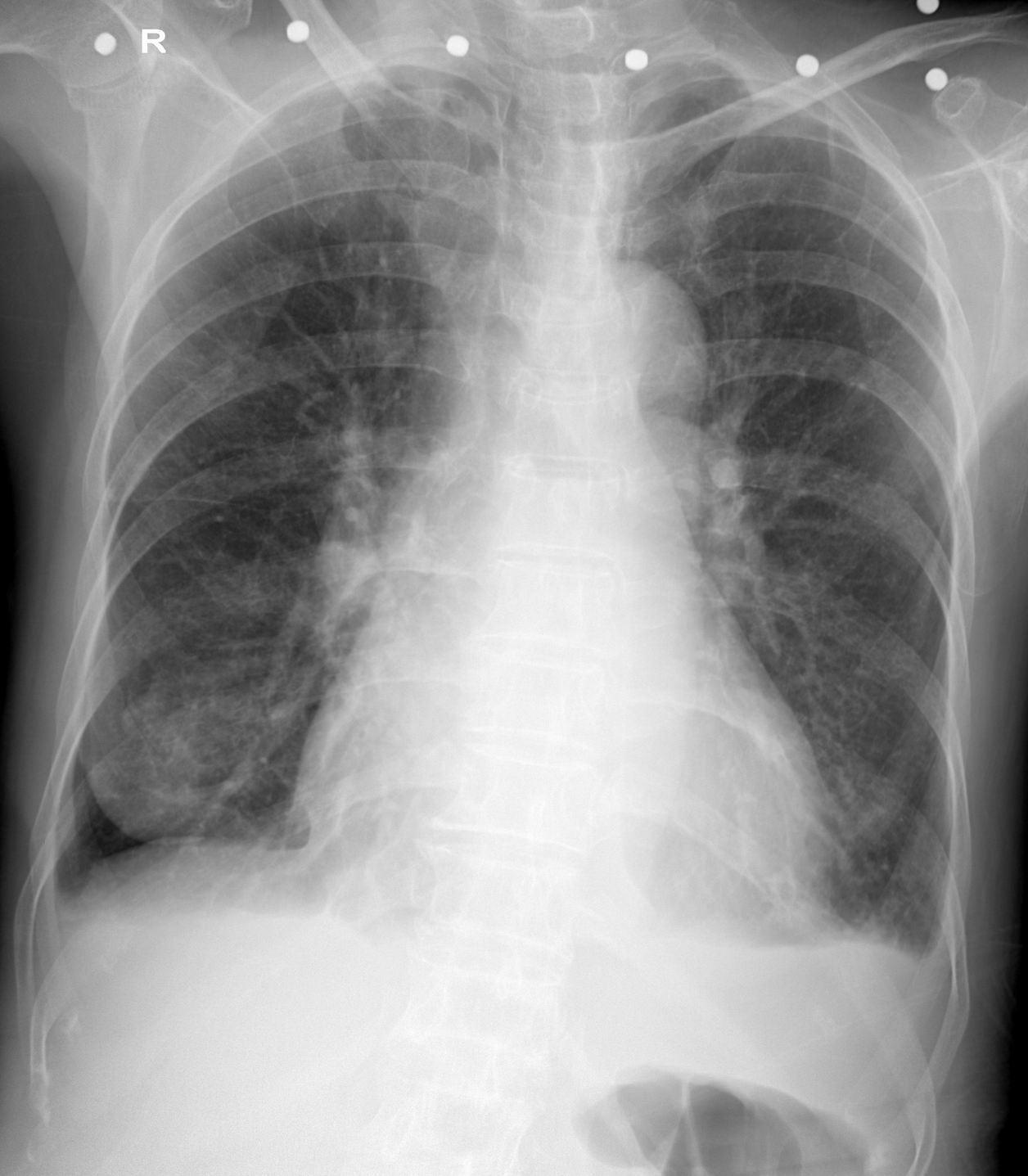
女,74岁,直肠癌术后肝转移,以间断性咳嗽、气喘、呼吸困难6年加重伴纳差5天为主诉入院。bp:120/40mmhg,神清,双肺呼吸音粗,可闻及干湿性啰音。肝位于锁骨下288mm,质韧、边钝,压痛明显,肝区叩击痛阳性。



[本贴已被 jiajie 于 2008-1-7 18:30:07 修改过]

作者: ZHANGZHONGSHOU    时间: 2008-1-7 20:17
双肺转移可能性大,建议ct检查。另双侧少量胸腔积液,心包积液待排。
作者: zjzjr    时间: 2008-1-7 22:18
双肺转移可能性大,建议ct检查。另双侧少量胸腔积液
作者: luoxinjun    时间: 2008-1-7 22:23
1双肺转移可能性大,双侧少量胸腔积液,建议ct检查2                                                                        2心包积液待排
作者: 731208    时间: 2008-1-7 22:49
支持
作者: wangjj555    时间: 2008-1-7 23:50
双侧少量胸腔积液,,心影增大。
作者: 眼睛    时间: 2008-1-7 23:52
双侧少量胸腔积液,,心影增大.
作者: zhangkening    时间: 2008-1-8 00:10
未见到双肺明显的转移性病灶,双侧肋膈角填塞消失我认为是胸膜粘连肥厚引起的.
作者: wy232326    时间: 2008-1-8 00:18
双肺转移可能性大,建议ct检查。另双侧少量胸腔积液,心包积液待排。
作者: yuhongjun    时间: 2008-1-8 00:21
标题: 回复:女,74岁,直肠癌术后肝转移
以下是引用zhangzhongshou在2008-1-7 12:17:00的发言:[br]双肺转移可能性大,建议ct检查。另双侧少量胸腔积液,心包积液待排。

作者: 海之间5856    时间: 2008-1-8 00:30
左侧心缘旁似见类圆形密度增高影考虑肺转移可能性大,双侧少量胸腔积液,建议ct检查
作者: 黑白光影    时间: 2008-1-8 00:52
胸部平片未见肺野内明确转移性病变。
两肺中下肺野慢性支气管炎并胸膜炎改变。
作者: fsk123    时间: 2008-1-8 01:04
肺及胸腔转移
作者: yangyudong333    时间: 2008-1-8 01:25
1考虑双肺转移
2双侧少量胸腔积液
作者: dyqct    时间: 2008-1-8 02:11
双肺转移可能性大,建议ct检查。另双侧少量胸腔积液。
作者: shiqingfa    时间: 2008-1-8 02:12
双肺转移可能性大,建议ct检查。另双侧少量胸腔积液,心包积液待排
作者: 宇宙ct    时间: 2008-1-8 02:14
没见过,应该是正常吧
作者: 随光逐影    时间: 2008-1-8 02:23
胸部平片未见肺野内明确转移性病变。
双侧少量胸腔积液,心影增大。
建议:必要时行ct扫描检查。
作者: 小晟晟    时间: 2008-1-8 02:49
胸部平片未见肺野内明确转移性病变。
两肺中下肺野慢性支气管炎并胸膜炎改变。
作者: lichji-xct    时间: 2008-1-8 03:45
标题: 回复:x3243:女,74岁,直肠癌术后肝转移
以下是引用zhangzhongshou在2008-1-7 12:17:00的发言:[br]双肺转移可能性大,建议ct检查。另双侧少量胸腔积液,心包积液待排。

作者: jinguoji    时间: 2008-1-8 05:18
胸部平片未见肺野内明确转移性病变。
两肺中下肺野慢性支气管炎并胸膜炎改变。
建议ct检查。
作者: xulianj    时间: 2008-1-8 06:36
双肺转移可能性大,建议ct检查。另双侧少量胸腔积液。
作者: zhangxiangjun    时间: 2008-1-8 07:17
胸部平片未见明确转移性病变。
两肺中下肺野慢性支气管炎并胸膜炎改变。
作者: 宇宙ct    时间: 2008-1-8 07:21
双肺转移可能性大,建议ct检查。另双侧少量胸腔积液
作者: qsbaomingcheng    时间: 2008-1-13 22:28
双侧胸腔积液(少量),心包积液待排
作者: shibing    时间: 2013-9-16 09:00
ct




欢迎光临 医影在线 (http://bbs.radida.com/bbs/) Powered by Discuz! X3.2