医影在线

标题: X3251:咳嗽 咳痰 [打印本页]

作者: wy232326    时间: 2008-1-8 21:22
标题: X3251:咳嗽 咳痰
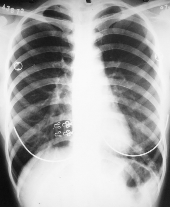
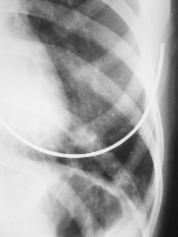
患者 女 22岁 咳嗽 咳痰 体温37.4度 白细胞在正常范围 于十日前诊断左肺下炎症 在个体诊所抗炎治疗9日 用药不详(未做过敏实验)今日复查 该患半年前曾在外院诊断过左肺下炎症 后治愈 该患者体质瘦弱
十日前片:


今日复查片:




[本贴已被 翁志蓬 于 2008-1-8 15:02:43 修改过]

作者: livingod    时间: 2008-1-8 21:47
左下肺炎性变。
作者: LIAOQIANG    时间: 2008-1-8 22:55
左肺下野病灶有增多。考虑结核可能性。
作者: cmj    时间: 2008-1-8 23:05
考虑左下支扩伴感染
作者: 沙漠骆驼    时间: 2008-1-8 23:23
考虑:结核>炎症. 混合感染可能性大.
作者: 沙漠骆驼    时间: 2008-1-8 23:26
请结合临床综合资料分析,必要时可选择ct检查.
作者: yingyuan02    时间: 2008-1-8 23:44
现在结核的变异性很大,从片子上看,病变未减轻却加重了,不能排除结核的可能性,尤其发生在一侧.
作者: zhangkai    时间: 2008-1-9 00:30
左下肺感染性病变,结核可能性大。
作者: zjzjr    时间: 2008-1-9 01:15
首先考虑感染性病变,继续抗炎治疗后复查。
作者: 731208    时间: 2008-1-9 01:27
首先考虑感染性病变,继续抗炎治疗后复查。
作者: hexue    时间: 2008-1-9 01:35
抗炎治疗对结核也有一定效果的,抗炎反而病灶扩大说明结核的可能性小。建议痰培养查菌种进行针对性治疗
作者: ZHANGZHONGSHOU    时间: 2008-1-9 01:44
支气管扩张并肺部感染可能性大,建议ct检查。
作者: headshot    时间: 2008-1-9 01:48
似见囊样透亮影,考虑支扩并感染,不排除用药不规则而加重,若体质差也可没有中毒反应,还有痰的性状很重要
另第一张胸片n不爽,像石骨症
作者: zhengfaming    时间: 2008-1-9 02:38
首先考虑感染性病变,继续抗炎治疗后复查。
作者: shiqingfa    时间: 2008-1-9 02:40
首先考虑感染性病变,继续抗炎治疗后复查。
作者: zhangkening    时间: 2008-1-9 03:23
如果抗炎治疗效果不佳的话那就要考虑结核了.
作者: lichji-xct    时间: 2008-1-9 04:02
左下肺炎症伴支扩反复炎症做个ct更明确
作者: zhangxiangjun    时间: 2008-1-9 04:11
支气管扩张并肺部感染可能性大,建议严密抗炎治疗。
作者: 黑白光影    时间: 2008-1-9 04:16
“半年前在外院”诊断左下肺炎,现又复发,白细胞在正常范围内,近十日不病灶有进展改变。考虑左下感染性病变,另照个左侧位片定位,如是下叶背段考虑结核可能性大。最终还是生化和治疗追综。
作者: huichuan.2007    时间: 2008-1-9 04:40
左肺感染性病灶,考虑病毒性,建议临床用红霉素类治疗后复查
作者: xulianj    时间: 2008-1-9 04:53
首先考虑感染性病变,继续抗炎治疗后复查。结核待排。
作者: zhw974247    时间: 2008-1-9 05:30
“半年前在外院”诊断左下肺炎,现又复发,白细胞在正常范围内,近十日不病灶有进展改变。考虑左下感染性病变,另照个左侧位片定位,如是下叶背段考虑结核可能性大。不除外支原体肺炎。最终还是生化和治疗追综。
作者: ml2007    时间: 2008-1-9 05:45
考虑结核可能性。
作者: yangyudong333    时间: 2008-1-9 05:54
左下肺炎症
作者: dyqct    时间: 2008-1-9 06:14
支持左下肺炎症,请继续抗炎治疗.
作者: luoxinjun    时间: 2008-1-9 06:47
tongyi 22 louyijian
作者: yuhongjun    时间: 2008-1-9 14:08
考虑左下支扩伴感染
作者: kqs555    时间: 2008-1-9 16:17
结核在这个位置好像不常见
作者: 眼睛    时间: 2008-1-9 17:04
考虑左下肺炎症 吸收期改变.继续治疗.......
作者: tyfzj    时间: 2008-1-9 17:59
支气管扩张伴左下肺感染可能,建议ct或结合其他生化检查
作者: wansheng    时间: 2008-1-9 20:02
首先考虑感染性病变,继续抗炎治疗后复查。
作者: jinguoji    时间: 2008-1-9 21:04
考虑左下肺感染性病变,继续抗炎治疗后复查。
作者: wangjj555    时间: 2008-1-9 22:09
支气管扩张并肺部感染可能性大,建议ct检查
作者: houaiping    时间: 2008-1-9 22:11
炎症,抗炎治疗后复查
作者: shibing    时间: 2013-9-13 10:04
考虑感染性病变




欢迎光临 医影在线 (http://bbs.radida.com/bbs/) Powered by Discuz! X3.2