医影在线

标题: CT11244:颅底病变,请教高手,已行MRI检查,随后发 [打印本页]

作者: kear1975    时间: 2008-1-9 22:29
标题: CT11244:颅底病变,请教高手,已行MRI检查,随后发
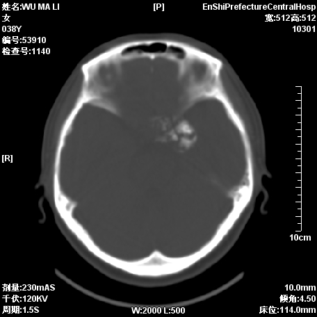
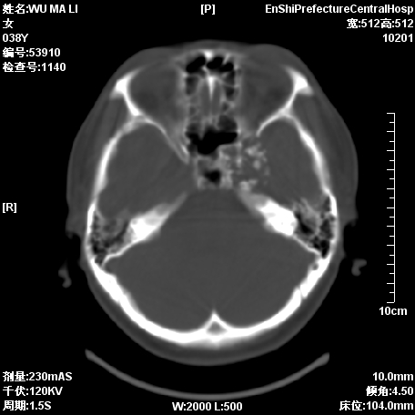
患者,38岁,因左侧偏盲月余求治.




[本贴已被 jiajie 于 2008-1-9 15:08:09 修改过]

作者: kear1975    时间: 2008-1-9 22:35
标题: 回复:颅底病变,请教高手,已行mri检查,随后发
补充图片
作者: 312nanyang    时间: 2008-1-9 23:54
脊索瘤?脑膜瘤?
能再上传其他照片吗?
作者: zjzjr    时间: 2008-1-10 00:05
图像不全啊,考虑脊索瘤可能性大.
作者: wangjj555    时间: 2008-1-10 00:09
考虑脊索瘤可能性大
作者: HARRY    时间: 2008-1-10 00:21
考虑脊索瘤可能性
作者: jiangjing    时间: 2008-1-10 00:24
可考虑  脑膜瘤、脊索瘤、软骨瘤
作者: 宇宙ct    时间: 2008-1-10 00:28
考虑脊索瘤可能性
作者: cmj    时间: 2008-1-10 00:55
支持脊索瘤诊断
作者: qiushi    时间: 2008-1-10 01:07
标题: 回复:ct11244:颅底病变,请教高手,已行mri检查,随后发
以下是引用312nanyang在2008-1-9 15:54:00的发言:[br]脊索瘤?脑膜瘤?[br]能再上传其他照片吗?

                强烈支持!
作者: 卜一    时间: 2008-1-10 01:08
脑膜瘤?脊索瘤?
作者: 随光逐影    时间: 2008-1-10 01:49
考虑为:1)脊索瘤。2)软骨瘤?
作者: image777    时间: 2008-1-10 02:01
支持脊索瘤
作者: xulianj    时间: 2008-1-10 02:58
图像不全,考虑脊索瘤可能性大.
作者: yy杨洋    时间: 2008-1-10 03:03
支持楼上
作者: dyqct    时间: 2008-1-10 05:36
请传脑窗片.
作者: fytian    时间: 2008-1-10 05:59
支持脊索瘤
作者: 拾荒者    时间: 2008-1-10 23:55
支持考虑:  脑膜瘤、脊索瘤、软骨瘤  。
作者: dr.yang    时间: 2011-5-6 00:32
支持考虑: 脑膜瘤、脊索瘤、软骨瘤 。




欢迎光临 医影在线 (http://bbs.radida.com/bbs/) Powered by Discuz! X3.2