

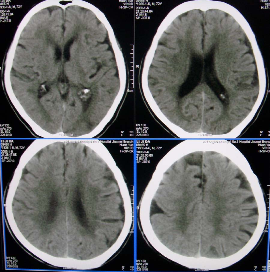
以下是引用随光逐影在2008-1-10 16:22:00的发言:[br]左侧外侧裂池内侧见一圆形等密度影,密度均匀,边界清晰,周围无水肿,位于左侧大脑中动脉走行区。考虑为:动脉瘤。建议:行进一步检查明确诊断。
以下是引用随光逐影在2008-1-10 16:22:00的发言:[br]左侧外侧裂池内侧见一圆形等密度影,密度均匀,边界清晰,周围无水肿,位于左侧大脑中动脉走行区。考虑为:动脉瘤。建议:行进一步检查明确诊断。
以下是引用随光逐影在2008-1-10 16:22:00的发言:[br]左侧外侧裂池内侧见一圆形等密度影,密度均匀,边界清晰,周围无水肿,位于左侧大脑中动脉走行区。考虑为:动脉瘤。建议:行进一步检查明确诊断。
| 欢迎光临 医影在线 (http://bbs.radida.com/bbs/) | Powered by Discuz! X3.2 |