医影在线

标题: CT11282:肝右叶后上段团块状钙化灶——肝脓肿痊愈遗留表现 [打印本页]

作者: 随光逐影    时间: 2008-1-12 03:31
标题: CT11282:肝右叶后上段团块状钙化灶——肝脓肿痊愈遗留表现
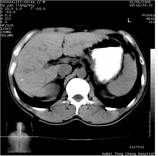
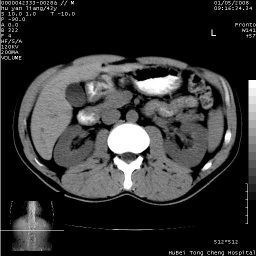
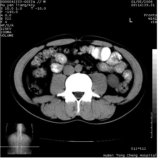
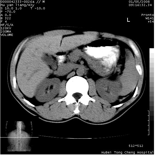
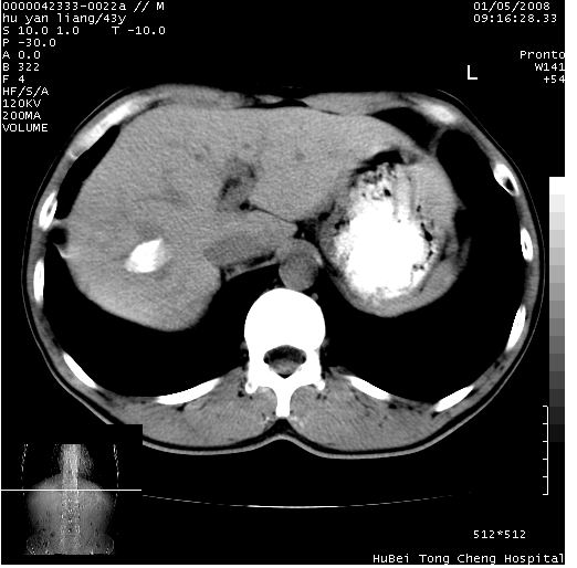
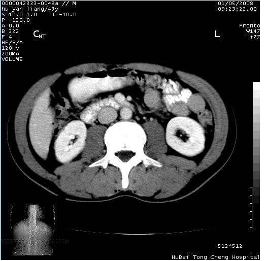
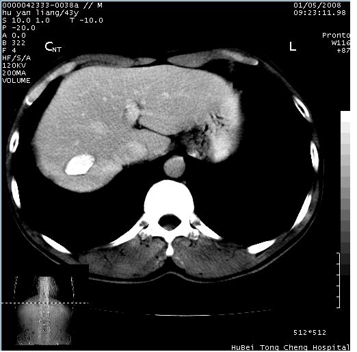
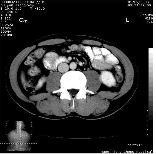
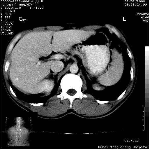
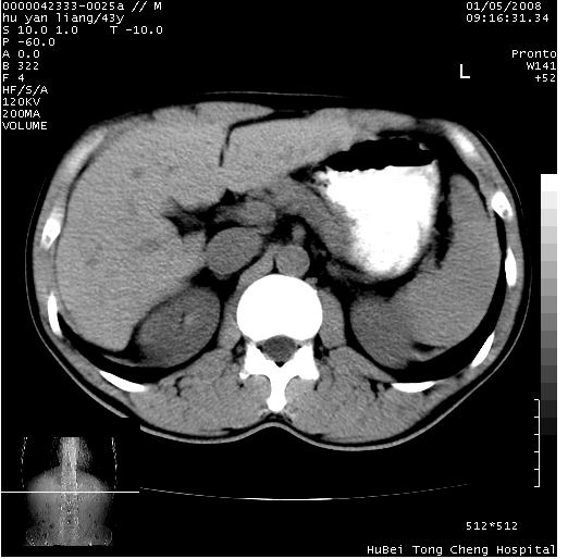
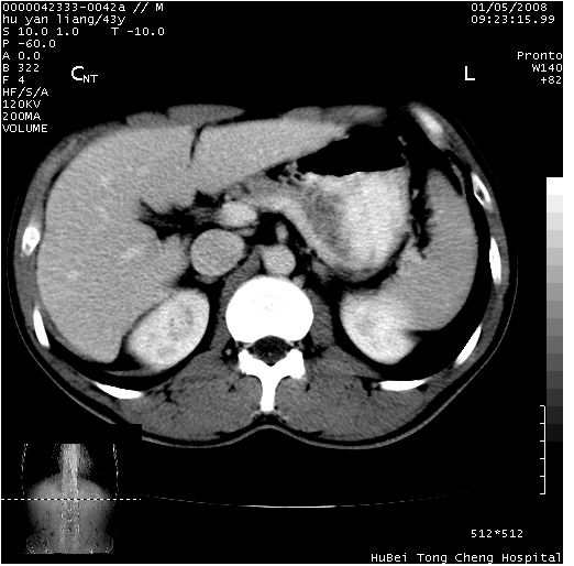
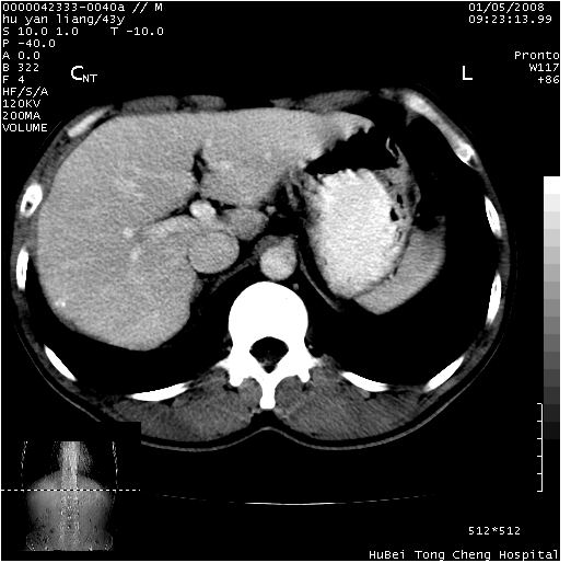
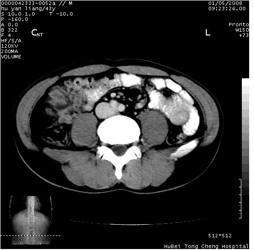
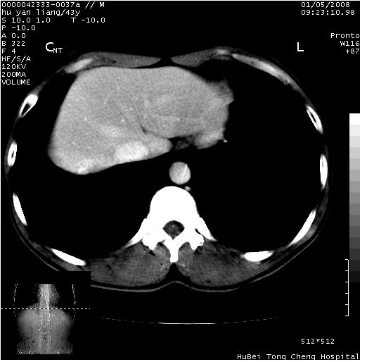
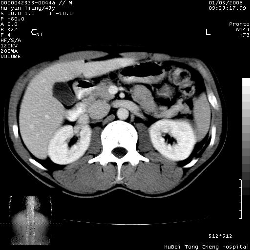
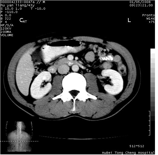
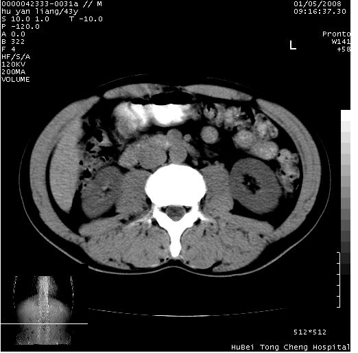
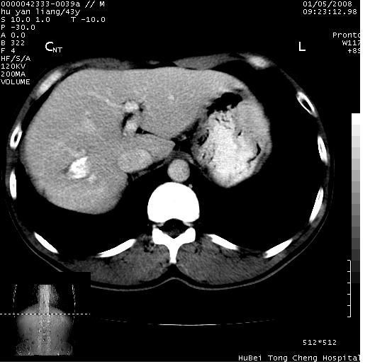
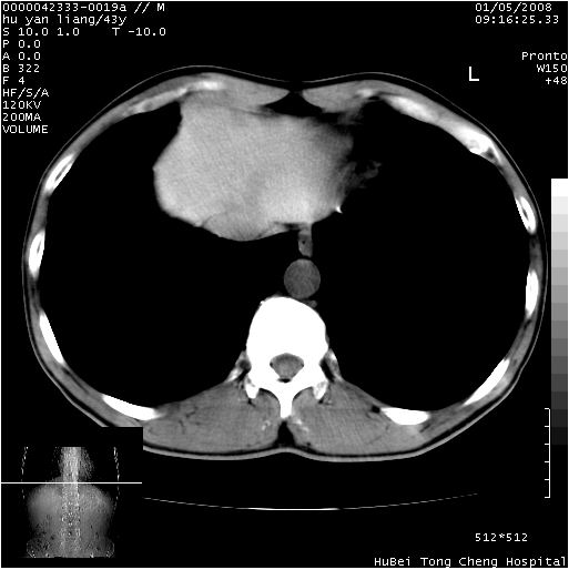
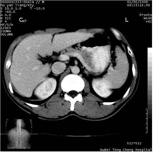
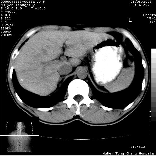
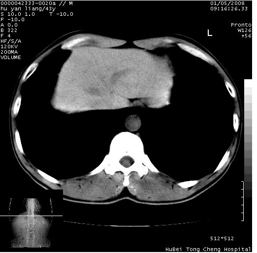
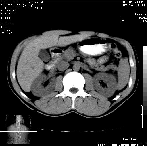
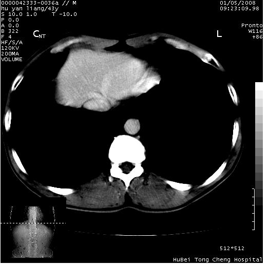
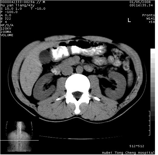
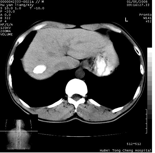
患者 男,43岁。右上腹不适1年余。既往有“肝右叶肝脓肿”病史,经保守治疗后痊愈。

b超提示:1)肝右叶肝内胆管结石。2)肝右叶占位性病变待排。

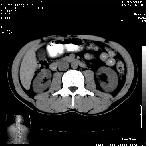
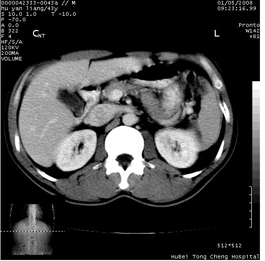
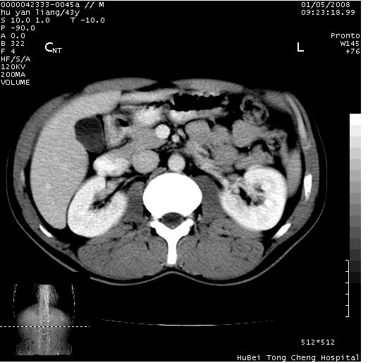
上中腹部ct轴位平扫+增强扫描(层厚10mm,螺距1.0,重建间隔10mm),图像如下:







































[本贴已被 jiajie 于 2008-1-11 21:49:22 修改过]

作者: 卜一    时间: 2008-1-12 04:06
肝右上叶偏后方较大团片状钙化灶,支持:肝脓肿后遗改变!
作者: yangyudong333    时间: 2008-1-12 04:30
支持肝脓肿后遗
作者: zyyzzy    时间: 2008-1-12 04:36
支持肝脓肿后遗
作者: zjzjr    时间: 2008-1-12 04:52
肝右上叶偏后方较大团片状钙化灶,支持:肝脓肿后遗改变!
作者: xulianj    时间: 2008-1-12 05:20
肝右叶钙化灶
作者: 刘静    时间: 2008-1-12 05:38
标题: 回复:肝右叶后上段团块状钙化灶——肝脓肿痊愈遗留表现
以下是引用zjzjr在2008-1-11 20:52:00的发言:[br]肝右上叶偏后方较大团片状钙化灶,支持:肝脓肿后遗改变!

作者: liuyue    时间: 2008-1-12 05:41
肝右叶钙化灶,肝脓肿后遗改变!
作者: cmj    时间: 2008-1-12 06:09
支持肝脓肿愈遗留
作者: zyx168    时间: 2008-1-12 06:13
支持:肝脓肿后遗改变!
作者: 汪涛同志    时间: 2008-1-12 06:16
标题: 回复:ct11282:肝右叶后上段团块状钙化灶——肝脓肿痊愈遗
以下是引用zjzjr在2008-1-11 20:52:00的发言:[br]肝右上叶偏后方较大团片状钙化灶,支持:肝脓肿后遗改变!

支持
作者: 象水一样    时间: 2008-1-12 06:29
支持肝脓肿后钙化灶
作者: 余辉    时间: 2008-1-12 06:33
没见过,结合病史支持考虑
作者: wangjj555    时间: 2008-1-12 17:07
肝右叶钙化灶
作者: zzyy    时间: 2008-1-12 17:53
支持大家意见
作者: zhanglixian1985    时间: 2008-1-12 18:16
顶!
作者: 宇宙ct    时间: 2008-1-12 18:21
肝右上叶偏后方较大团片状钙化灶,支持:肝脓肿后遗改变!
作者: zhangkai    时间: 2008-1-12 19:39
肝右叶钙化灶
作者: jiahui7z    时间: 2008-1-12 20:48
肝右叶钙化灶,考虑为肝脓肿后遗症。
作者: zxczxc    时间: 2008-1-12 23:55
肝脓肿后遗症,肝右叶钙化。
作者: yprzjc    时间: 2008-1-12 23:59
肝右叶钙化灶,肝脓肿后遗改变!
作者: zhengfaming    时间: 2008-1-13 03:19
肝右上叶偏后方较大团片状钙化灶,支持:肝脓肿后遗改变!
作者: 求知若渴    时间: 2008-1-13 03:23
肝内钙化灶可以肯定,但是否为肝脓肿后遗症不好说.没有患肝脓肿当时的片子.
作者: 拾荒者    时间: 2008-1-13 04:38
肝右叶后段团块状钙化灶,结合病史考虑肝脓肿痊愈后表现。




欢迎光临 医影在线 (http://bbs.radida.com/bbs/) Powered by Discuz! X3.2