医影在线

标题: CT11288:M70Y,右肺小结节影 [打印本页]

作者: qkin    时间: 2008-1-12 17:46
标题: CT11288:M70Y,右肺小结节影
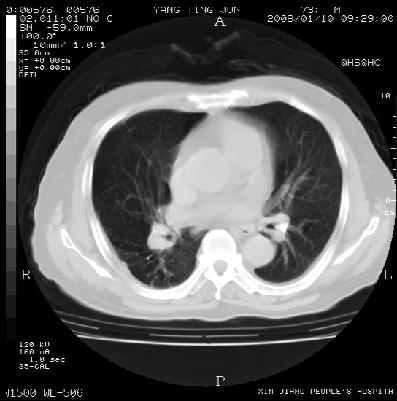
男性,70y,咳嗽伴胸闷15日余。曾有肺tb病史。



































[本贴已被 jiajie 于 2008-1-12 12:23:40 修改过]

作者: zjzjr    时间: 2008-1-12 17:59
右肺中叶内侧段周围型肺癌可能性大.双侧陈旧性肺结核伴右肺部分间质纤维化\\右肺上叶后段感染,右侧胸膜肥厚粘连.
作者: zzyy    时间: 2008-1-12 18:01
纤维干酪灶。
作者: zhangkai    时间: 2008-1-12 19:41
陈旧性肺结核
作者: 涛    时间: 2008-1-12 19:49
同意一楼说法.右肺中叶内侧段周围型肺癌可能性大.
作者: yangyudong333    时间: 2008-1-12 20:18
1双肺陈旧性肺结核
2右肺中叶考虑周围型肺癌
作者: jiahui7z    时间: 2008-1-12 20:53
考虑纤维硬结病灶
作者: wansheng    时间: 2008-1-12 21:19
1双肺陈旧性肺结核
2右肺中叶考虑周围型肺癌  
   
支持!
作者: xxhwh    时间: 2008-1-12 21:39
双肺陈旧性结核
右中肺结节考虑纤维硬结灶或肺癌,建议ct增强或追踪复查
纵隔窗太黑什么都看不见
作者: cmj    时间: 2008-1-12 21:57
支持肺ca?建议查对比片
作者: zhzhk    时间: 2008-1-12 23:08
一元论 结核硬结灶 可能性大 周围型肺癌只能说不除外
作者: 老爱克斯    时间: 2008-1-13 01:47
一元论肺结核可能大,1有结核病史,2有卫星灶,3结节灶边缘有长的毛刺,
作者: 广鹏    时间: 2008-1-13 02:20
陈旧性结核干酪,瘢痕肺气肿。
作者: HARRY    时间: 2008-1-13 02:24
肺结核可能大,1有结核病史,2有卫星灶,3结节灶边缘有长的毛刺,
作者: brave26    时间: 2008-1-13 02:48
不排除外围型肺癌,建议先抗炎复查.
作者: zhengfaming    时间: 2008-1-13 02:53
1双肺陈旧性肺结核
2右肺中叶考虑周围型肺癌
作者: lichji-xct    时间: 2008-1-13 03:04
支持硬结灶
作者: 求知若渴    时间: 2008-1-13 03:49
1.陈旧性结核可以肯定.
2.右肺上叶见一不规则软组织密度影,边缘有毛刺及棘状突起,胸膜牵拉,并见一增粗僵硬的供血血管.周围型肺癌的可能性大.
作者: xulianj    时间: 2008-1-13 05:21
陈旧性结核。支持
作者: 拾荒者    时间: 2008-1-13 05:32
1双肺陈旧性肺结核;
2右肺中叶小结节灶,有毛刺及胸膜凹陷征,近肺门侧供血血管粗硬、僵直,考虑周围型肺癌  。
作者: zyx168    时间: 2008-1-13 05:50
1双肺陈旧性肺结核
2右肺中叶考虑周围型肺癌  
   
支持!




欢迎光临 医影在线 (http://bbs.radida.com/bbs/) Powered by Discuz! X3.2