医影在线

标题: CT11295:腹部病例 [打印本页]

作者: huenhao    时间: 2008-1-13 05:10
标题: CT11295:腹部病例
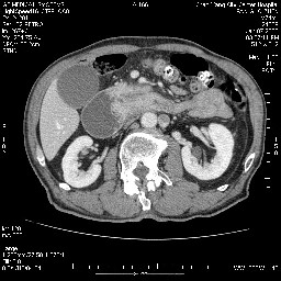
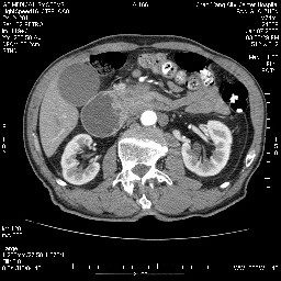
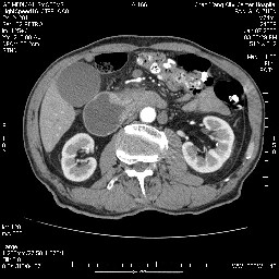
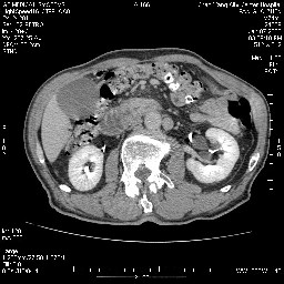
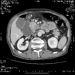
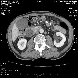
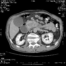
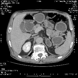
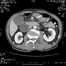
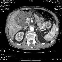
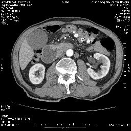
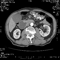
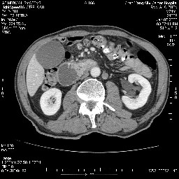
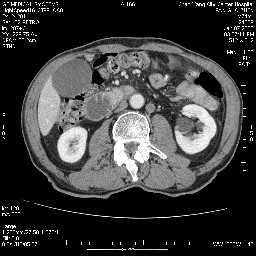
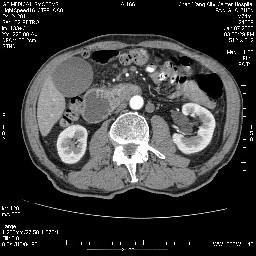
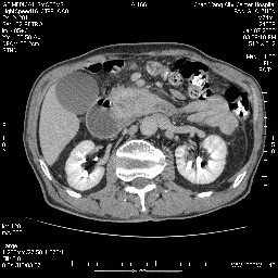
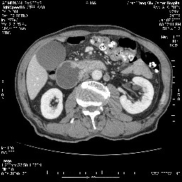
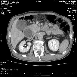
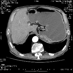
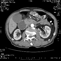
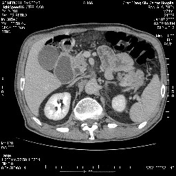
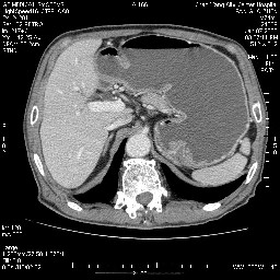
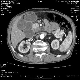
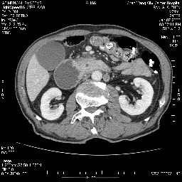
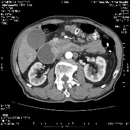
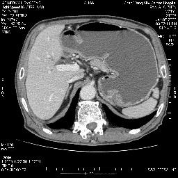
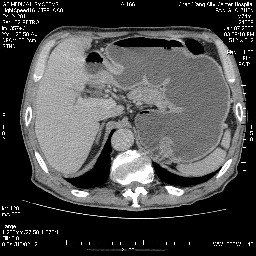
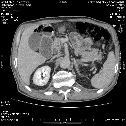
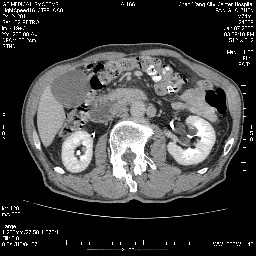
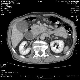
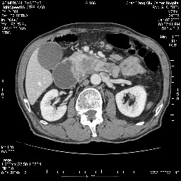
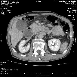
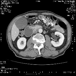
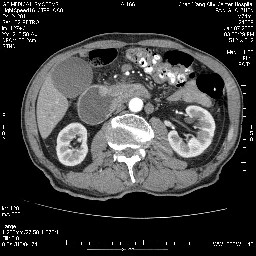
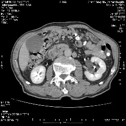
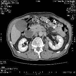
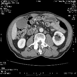
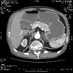
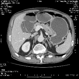
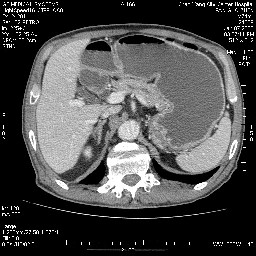
女,74岁,呕吐10余日
































































[本贴已被 翁志蓬 于 2008-1-12 22:22:03 修改过]

作者: 516429ASDF    时间: 2008-1-13 05:34
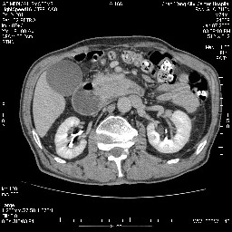
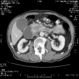
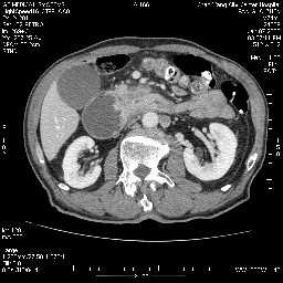
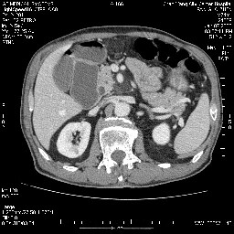
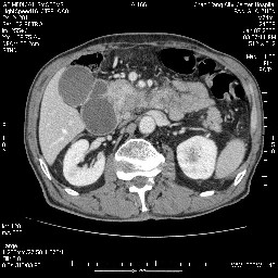
壶腹部的占位性病变,考虑为十二指肠癌并梗阻,但脾内多发性低密度区为转移吗?
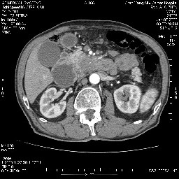
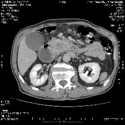
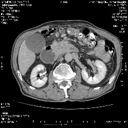
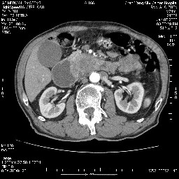
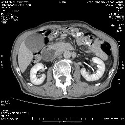
还有胃、脾之间可见有侧支循环建立。左肾盂积水。
作者: zsl6918    时间: 2008-1-13 05:47
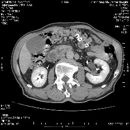
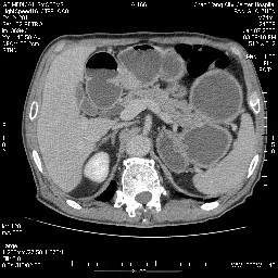
考虑来源于十二指肠水平段的恶性占位,侵及周围组织,特别是胰腺,可见区域淋巴结肿大,左侧下腔静脉畸形。
作者: 影象小泰斗    时间: 2008-1-13 05:59
肝胰壶腹占位,考虑-壶腹癌!
胃体部粘膜不规则增厚,胃肠造影也显示充盈缺损-胃溃疡?胃癌?
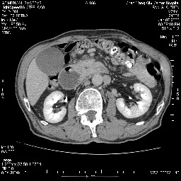
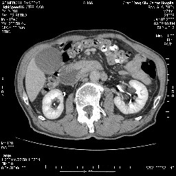
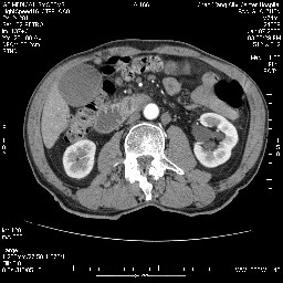
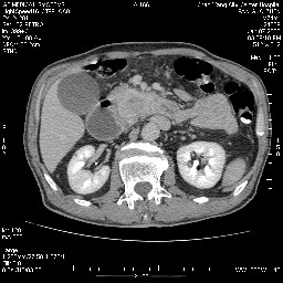
双肾多发小囊肿;左肾积水。
作者: yy杨洋    时间: 2008-1-13 06:05
考虑来源于十二指肠水平段的恶性占位,侵及周围组织,特别是胰腺,可见区域淋巴结肿大,左侧下腔静脉畸形。支持
作者: 蚂蚁    时间: 2008-1-13 06:15
十二指肠水平段腔内占位伴梗阻,中等度较为均匀的强化,洗脱慢,区域淋巴结显示增多,符合腺癌表现。下腔静脉变异。
作者: xulianj    时间: 2008-1-13 06:23
壶腹部占位;考虑:壶腹癌!源于胰腺可能。
作者: huenhao    时间: 2008-1-13 07:08
感谢诸位的指教,补充病史:该患胃镜结果提示十二指肠降曲外压性狭窄。请大家帮助分析下原发部位
作者: 宇宙CT    时间: 2008-1-13 07:16
考虑来源于十二指肠水平段的恶性占位,侵及周围组织,特别是胰腺,可见区域淋巴结肿大,左侧下腔静脉畸形。支持
作者: psh    时间: 2008-1-13 07:35
病变主要位于钩突(癌)。如是壶腹部,肝内外胆管扩张明显。
作者: liuyue    时间: 2008-1-13 08:03
病变考虑为钩突癌。
作者: 卜一    时间: 2008-1-13 09:20
支持考虑:壶腹癌!
作者: 袁张锋    时间: 2008-1-13 12:33
考虑壶腹癌.
作者: wangjj555    时间: 2008-1-13 17:52
考虑壶腹癌.
作者: zjzjr    时间: 2008-1-13 17:56
支持十二指肠腺癌伴梗阻.,下腔静脉发育变异.
作者: 老爱克斯    时间: 2008-1-13 18:10
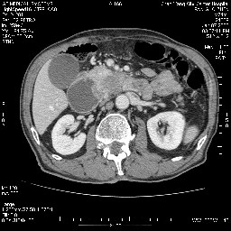
十二指肠降段扩张,水平段狭窄成鼠尾状,肠壁明显增厚,胰腺勾突增大成不均匀强化,其内可见低密度区,胆囊增大,1十二指肠水平段腺癌侵犯胰腺勾突可能大,2胰腺癌侵犯十二指肠(只有胆囊增大没有肝内外胆管扩张不好解释)代除外.
作者: headshot    时间: 2008-1-13 18:15
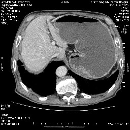
支持壶腹mt侵及胰腺,那个椎体是骨疝吗???
作者: dyqct    时间: 2008-1-13 18:38
标题: 回复:ct11295:腹部病例
以下是引用zjzjr在2008-1-13 9:56:00的发言:[br]支持十二指肠腺癌伴梗阻.,下腔静脉发育变异.

需除外12指肠水平段间质瘤。
作者: 汪涛同志    时间: 2008-1-13 18:48
12指肠壁可见结节状隆起,考虑为12指肠腺癌并梗阻可能性大!
作者: 随光逐影    时间: 2008-1-13 19:06
十二指肠水平部腺癌伴梗阻并侵犯邻近结构。下腔静脉发育变异。
作者: gaoshengjiang    时间: 2008-1-13 19:06
上消化道造影见十二指肠结节状充盈缺损,ct增强十二指肠壁局限性增厚并强化,考虑十二指肠壶腹癌?
作者: 拾荒者    时间: 2008-1-14 04:13
标题: 回复:ct11295:腹部病例
以下是引用yy杨洋在2008-1-12 22:05:00的发言:[br]考虑来源于十二指肠水平段的恶性占位,侵及周围组织,特别是胰腺,可见区域淋巴结肿大,左侧下腔静脉畸形。支持

作者: 黑白光影    时间: 2008-1-14 04:20
十二指肠降段扩张,水平段狭窄成鼠尾状,肠壁明显增厚,胰腺勾突增大成不均匀强化,其内可见低密度区,胆囊增大,1十二指肠水平段腺癌侵犯胰腺勾突可能大,2胰腺癌侵犯十二指肠 。
作者: huenhao    时间: 2008-1-17 00:18
今日手术结果:胰腺钩突癌侵犯十二直肠,腹腔淋巴结转移.
作者: zyx168    时间: 2008-1-18 07:35
胰腺钩突癌侵犯十二直肠,腹腔淋巴结转移.  
   
学习了!
作者: yy杨洋    时间: 2008-1-19 22:00
收到,学习
作者: wwp    时间: 2008-1-20 04:13
十二指肠降段扩张,水平段狭窄成鼠尾状,肠壁明显增厚,胰腺勾突增大成不均匀强化,,胆囊增大,十二指肠水平段腺癌侵犯胰腺
作者: dr.yang    时间: 2011-11-18 07:47
考虑来源于十二指肠水平段的恶性占位,侵及周围组织,特别是胰腺,可见区域淋巴结肿大,左侧下腔静脉畸形。支持




欢迎光临 医影在线 (http://bbs.radida.com/bbs/) Powered by Discuz! X3.2