医影在线
标题: CT11308:胸部外伤1小时(证实病例) [打印本页]
作者: 牟言科 时间: 2008-1-14 00:02
标题: CT11308:胸部外伤1小时(证实病例)
(结果公布:http://www.radida.com/bbs/forum.php?mod=viewthread&tid=33949)
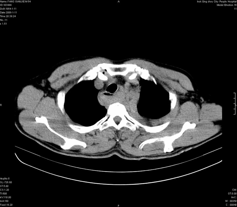
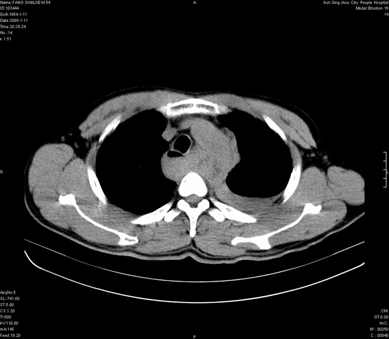
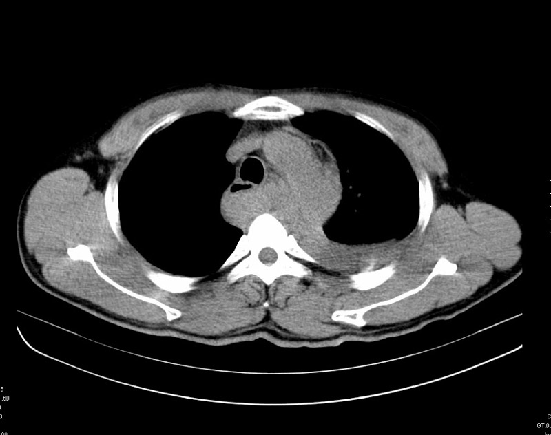
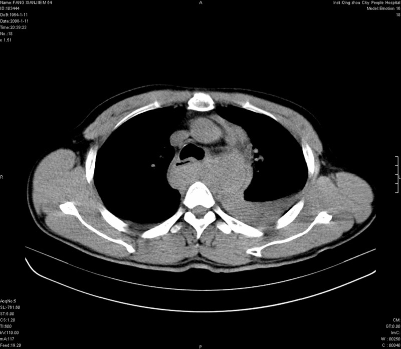
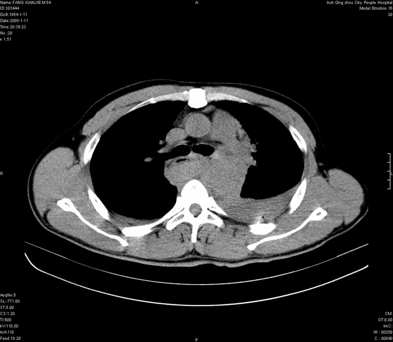
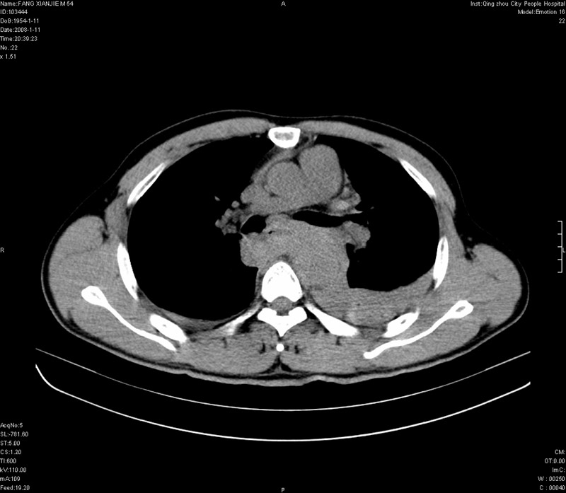
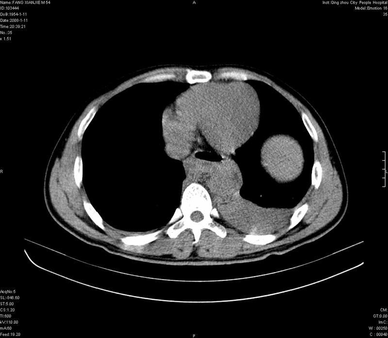
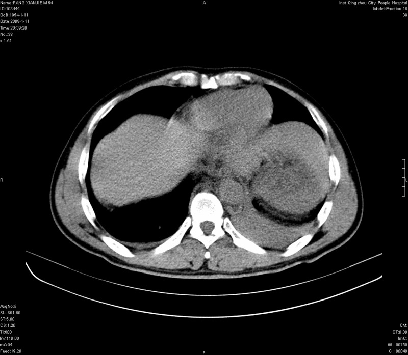
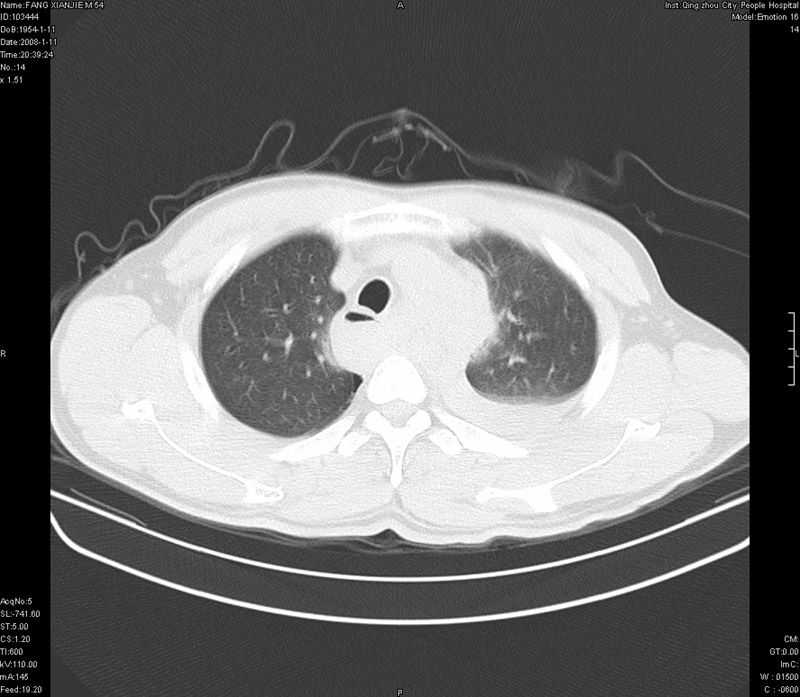
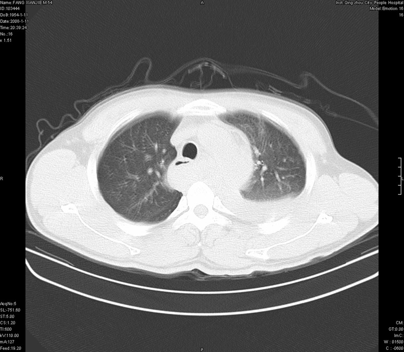
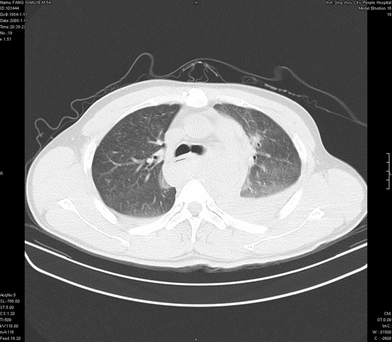
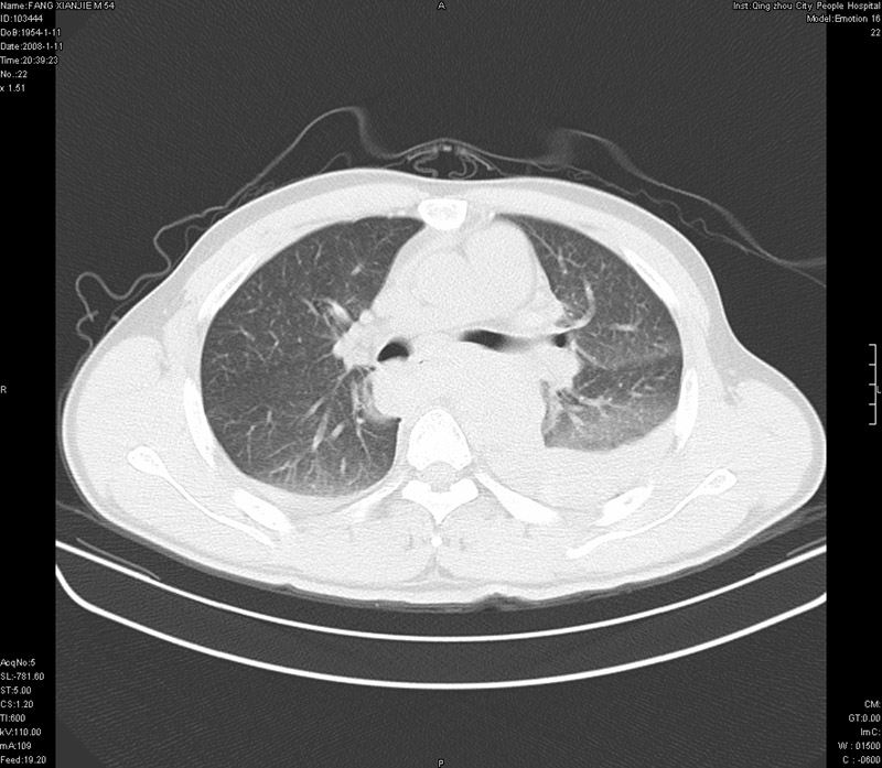
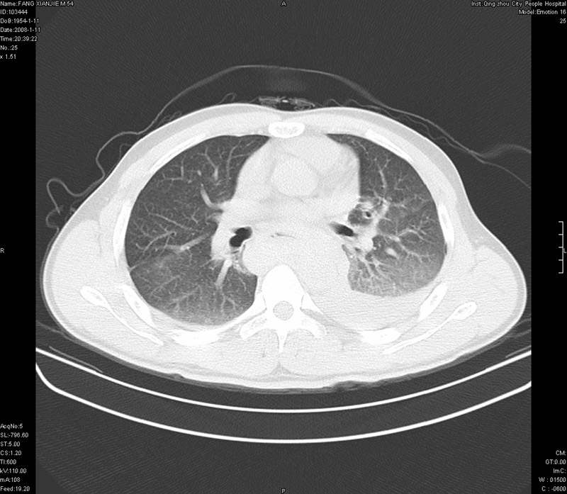
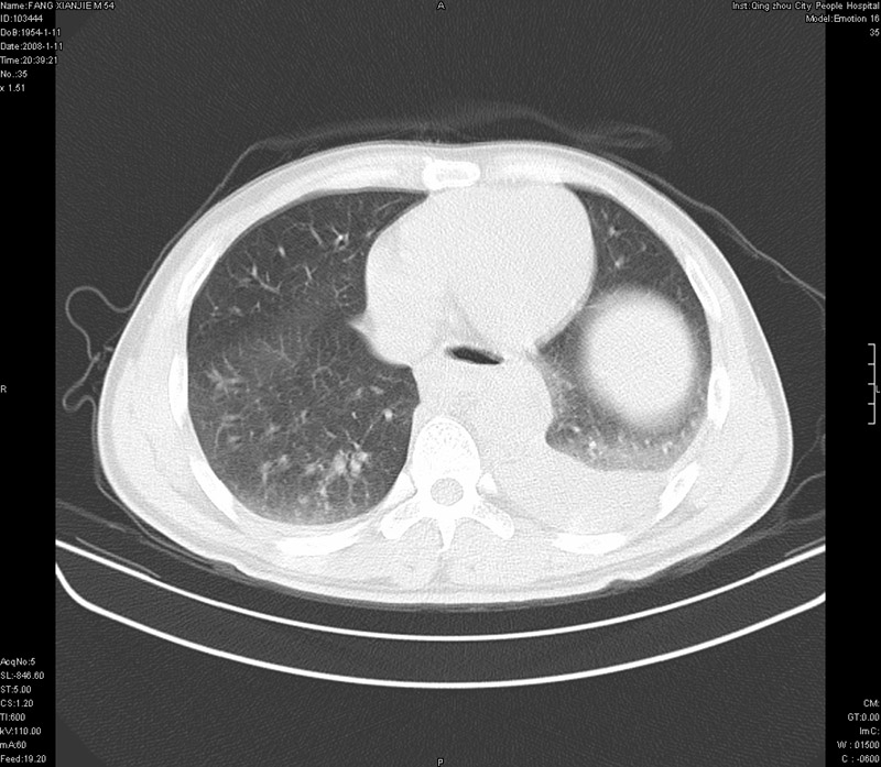
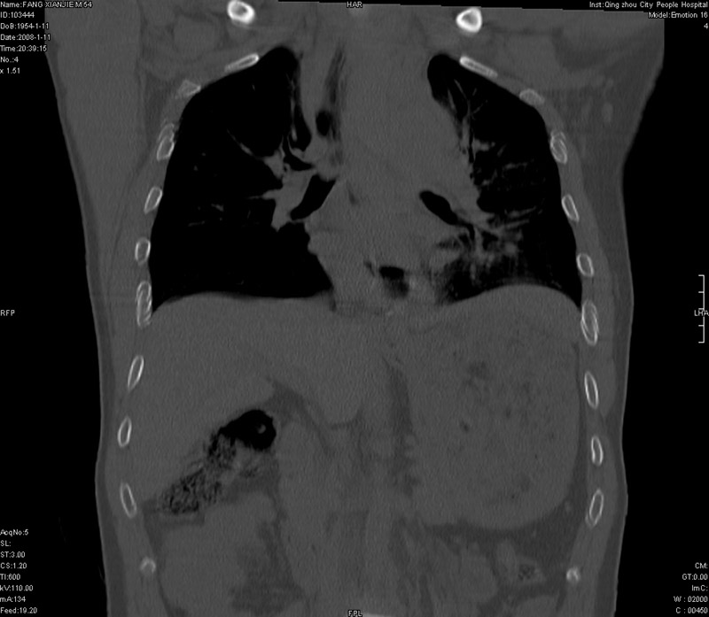
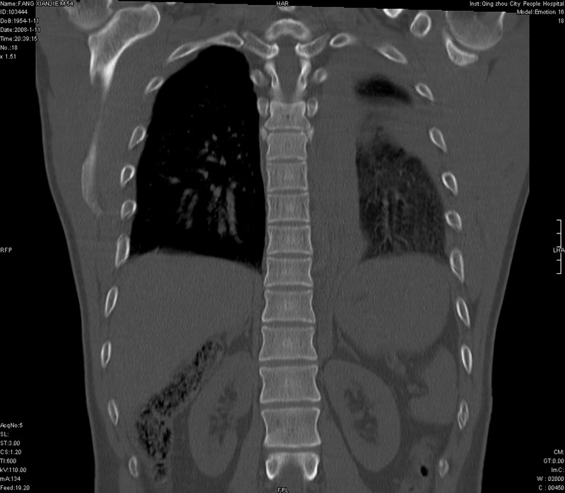
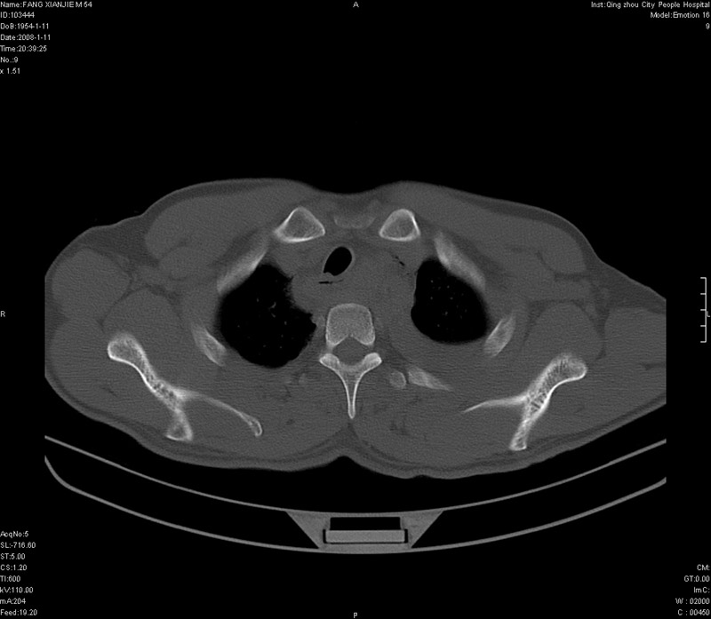
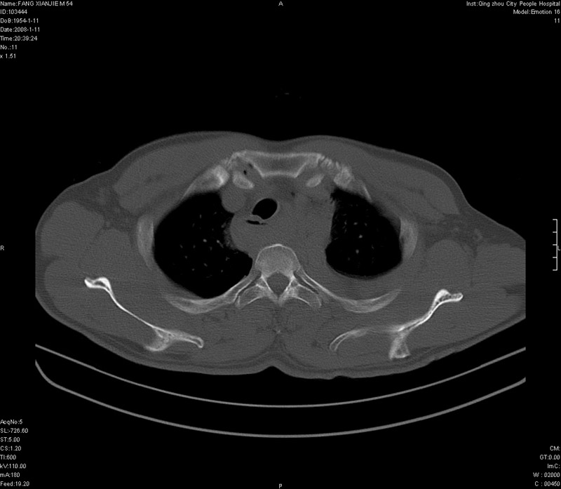
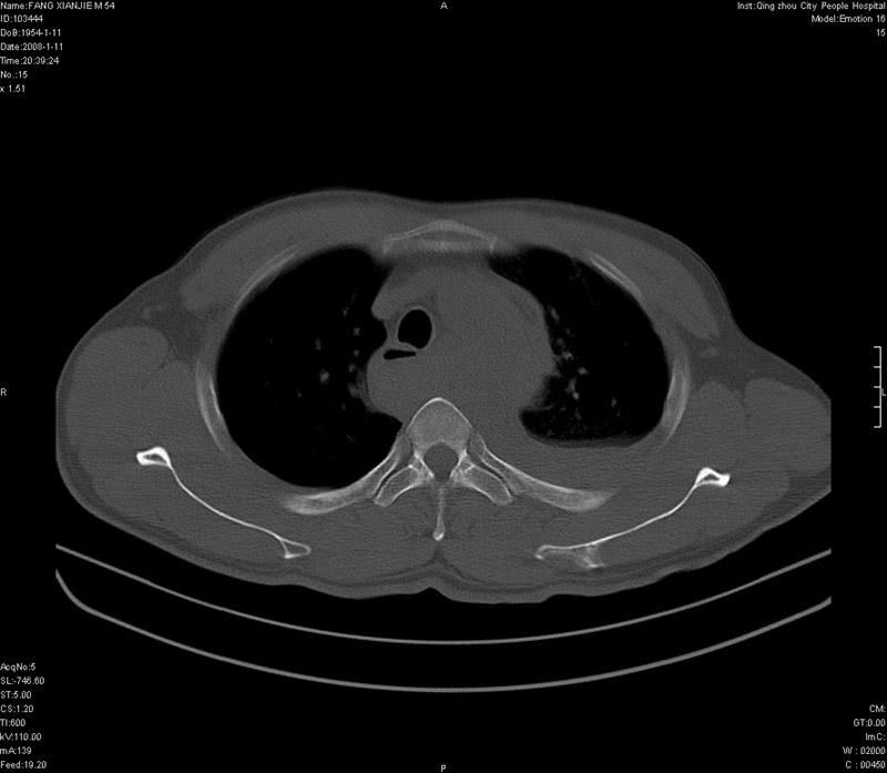
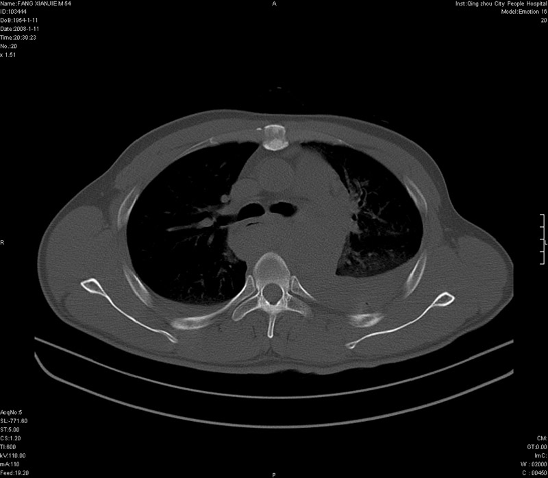
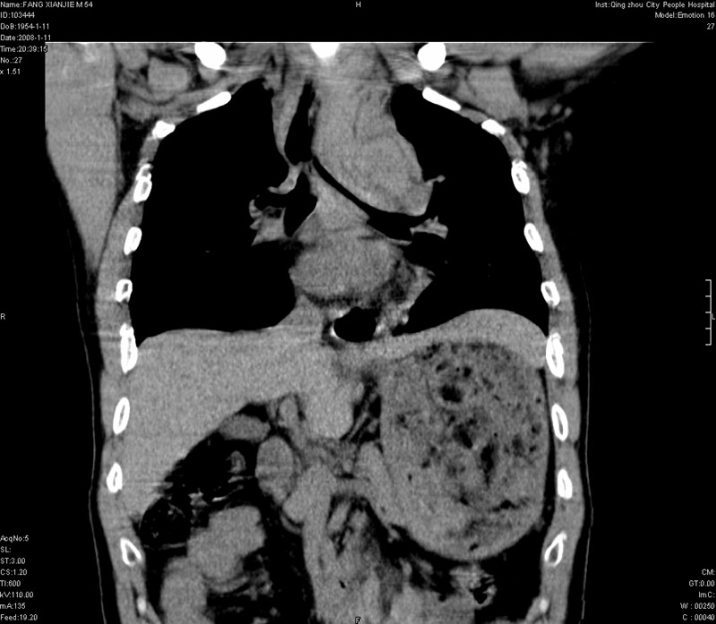
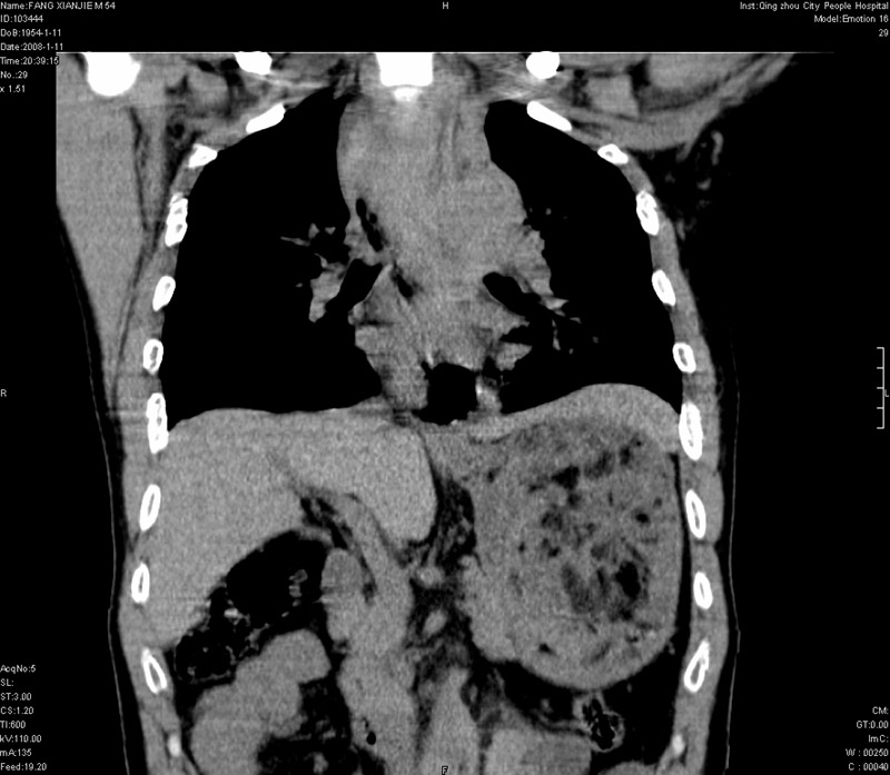
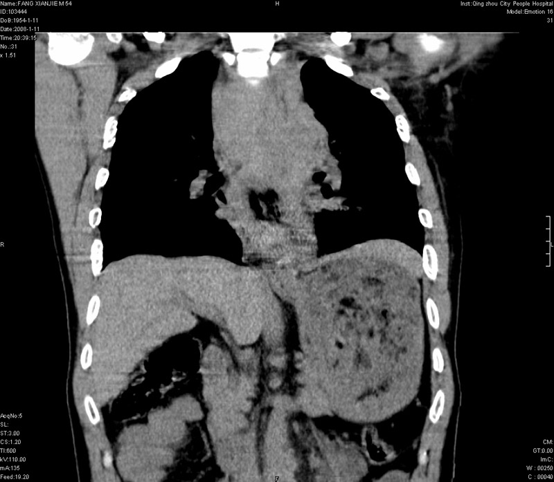
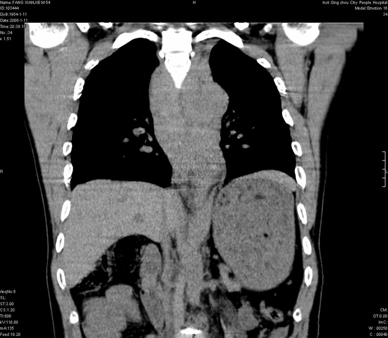
男性,40岁。胸部被车压伤伴胸痛1小时来院就诊。检查:一般情况尚可,血压110/80,胸部及上腹部压痛。结果在三天后公布。骨窗在横断位、冠矢状显示肋骨、胸椎、和胸骨未见骨折征象。






























[emb9]
[本贴已被 jiajie 于 2008-1-16 22:00:05 修改过]
作者: zsl6918 时间: 2008-1-14 00:32
病人很危险啊,考虑胸主动脉破裂出血。
作者: 随光逐影 时间: 2008-1-14 00:50
1)考虑为:胸主动脉破裂伴纵隔血肿,左侧胸腔积液(血)。2)胸骨柄骨折。
作者: HARRY 时间: 2008-1-14 01:00
1)考虑为:胸主动脉破裂伴纵隔血肿,左侧胸腔积液(血)。2)胸骨柄骨折。
作者: 光线 时间: 2008-1-14 01:10
1)考虑为:胸主动脉破裂伴纵隔血肿,左侧胸腔积液(血)。2)胸骨柄骨折。
作者: 卜一 时间: 2008-1-14 01:14
支持:纵隔血肿伴左侧胸腔积液(血胸)!原因——似脏器破裂:食道破裂?
作者: zjzjr 时间: 2008-1-14 01:41
支持:纵隔血肿伴左侧胸腔积液(血胸)!原因——似脏器破裂:食道破裂?
作者: 宇宙ct 时间: 2008-1-14 02:08
支持:纵隔血肿伴左侧胸腔积液(血胸)!原因——似脏器破裂:食道破裂?
作者: 山羊在狂舞 时间: 2008-1-14 02:48
支持:纵隔血肿伴左侧胸腔积液(血胸)!原因_似脏器破裂:食道破裂?
作者: 道哥 时间: 2008-1-14 02:49
纵隔血肿,大血管破裂?左侧胸腔积血,胸骨柄骨折,冠状位示双侧第三肋骨折.
作者: wangjj555 时间: 2008-1-14 02:50
支持:纵隔血肿伴左侧胸腔积液(血胸)!原因——似脏器破裂:食道破裂
作者: 同 时间: 2008-1-14 02:59
支持大家诊断意见.
作者: dyqct 时间: 2008-1-14 03:12
支持:1、纵隔血肿伴左侧胸腔积液(血胸)!原因——似脏器破裂:食道破裂?
2、胸骨柄骨折,冠状位示双侧第三肋骨折.
作者: 前行 时间: 2008-1-14 03:37
胸骨、多发性肋骨骨折。纵隔血肿、左侧胸腔积血,食道破裂?
作者: zhou555888 时间: 2008-1-14 03:55
胸骨骨折,纵隔积腋
作者: 黑白光影 时间: 2008-1-14 04:25
1、纵隔血肿伴左侧胸腔积液(血胸)!原因——似脏器破裂:食道破裂?
2、胸骨柄骨折,冠状位示双侧第三肋骨折.
作者: wangzhengyuan 时间: 2008-1-14 04:48
胸主动脉破裂伴纵隔血肿,左侧胸腔积液(血)。
作者: zyyzzy 时间: 2008-1-14 06:24
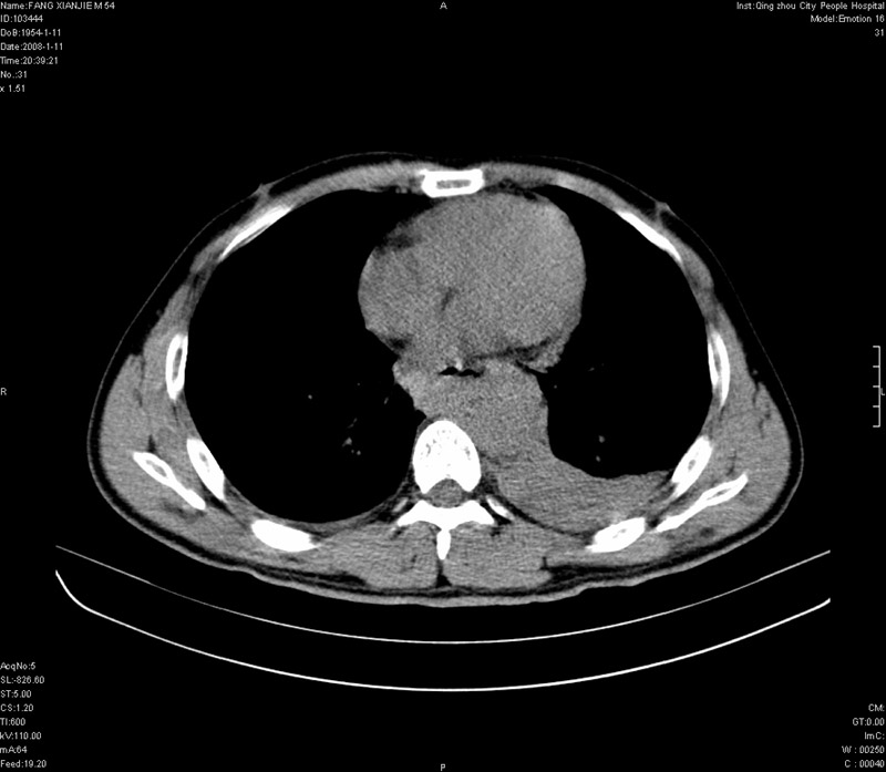
这个片子诊断起来确实很难呀!!病人病史一般情况尚可,血压110/80,如果是战友们所说的主动脉破裂的话,这个病史好像不太支持!!现在看有纵隔积液及血胸,食管增粗并有上段积气的表现,是不是可以考虑食管破裂或者膈肌撕裂并形成食管裂孔疝的可能。至于主动脉破裂并形成假性动脉瘤的可能好像很罕见,实在不敢妄加猜测!!这个片子一定不错,不希望一定正确,但很期待结果!!
作者: 拾荒者 时间: 2008-1-15 05:27
纵隔血肿并左侧胸腔积液(血)、胸骨柄骨折,食道增粗并有液气平面考虑食管破裂血肿形成可能,要是能增强一下与是否胸主动脉破裂有鉴别意义,从临床表现看,不支持胸主动脉破裂。
作者: jinguoji 时间: 2008-1-15 06:20
标题: 回复:ct11308:胸部外伤1小时(证实病例)
以下是引用zyyzzy在2008-1-13 22:24:00的发言:[br]这个片子诊断起来确实很难呀!!病人病史一般情况尚可,血压110/80,如果是战友们所说的主动脉破裂的话,这个病史好像不太支持!!现在看有纵隔积液及血胸,食管增粗并有上段积气的表现,是不是可以考虑食管破裂或者膈肌撕裂并形成食管裂孔疝的可能。至于主动脉破裂并形成假性动脉瘤的可能好像很罕见,实在不敢妄加猜测!!这个片子一定不错,不希望一定正确,但很期待结果!!
支持!
作者: mayuming0954 时间: 2008-1-15 19:37
标题: 回复:ct11308:胸部外伤1小时(证实病例)
以下是引用卜一在2008-1-13 17:14:00的发言:[br]支持:纵隔血肿伴左侧胸腔积液(血胸)!原因——似脏器破裂:食道破裂?
作者: 牟言科 时间: 2008-1-17 01:57
标题: ct11308:胸部外伤1小时(证实病例)
关于该病例的最终临床诊断结果详见:
http://www.radida.com/radinet/read.php?tid=33949
[本贴已被 牟言科 于 2008-1-16 17:58:10 修改过]
作者: 拾荒者 时间: 2008-1-17 02:46
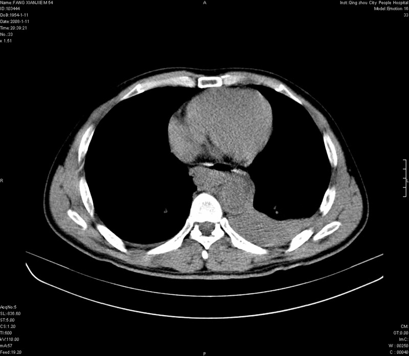
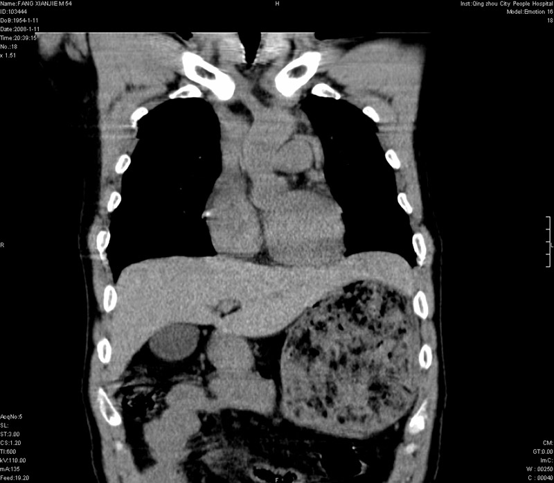
ct11308:胸部外伤1小时(证实病例) (2008-1-13 16:2)结果如下:病人入院后两小时后症状加重,8小时后在征得病人家属同意做了ct增强扫描。如下图。最终临床诊断:外伤性胸主动脉破裂并纵隔内血肿。由于有运动性伪影,胸骨在矢状面重建的图像似有骨折征,这是一种假象,我们称之为“假骨折”,这在多层ct重建中经常性遇到,必要时要结合横断图像鉴别之。现在,病人的一般情况较差,是否要手术家属尚有争议,如果手术修补,难度较大,需要专门预定制作固定支架。
再次表示感谢!
作者: zyyzzy 时间: 2008-1-17 02:59
感谢感谢!·····!!非常感谢!!长见识了!!
作者: yy杨洋 时间: 2008-1-17 06:13
收到,谢谢!
作者: zyx168 时间: 2008-1-17 07:50
考虑为:胸主动脉破裂伴纵隔血肿,左侧胸腔积液(血)。2)胸骨柄骨折。
作者: 牟言科 时间: 2008-1-17 09:38
标题: 回复:ct11308:胸部外伤1小时(证实病例)
以下是引用拾荒者在2008-1-16 18:46:00的发言:[br]ct11308:胸部外伤1小时(证实病例) (2008-1-13 16:2)结果如下:病人入院后两小时后症状加重,8小时后在征得病人家属同意做了ct增强扫描。如下图。最终临床诊断:外伤性胸主动脉破裂并纵隔内血肿。由于有运动性伪影,胸骨在矢状面重建的图像似有骨折征,这是一种假象,我们称之为“假骨折”,还有双侧肋骨的“假骨折”,这在多层ct重建中经常性遇到,必要时要结合横断图像鉴别之。现在,病人的一般情况较差,是否要手术家属尚有争议,如果手术修补,难度较大,需要专门预定制作固定支架。[br][br]再次表示感谢!
当然,对于该病例,其它非重要的诊断还有:右侧少量气胸;左侧胸腔积液;左侧轻度肺挫裂伤。对于纵隔内血肿,我们曾经遇到过多例,也有怀疑主动脉的破裂,但是,均未得到具体出血部位的明确诊断。
[本贴已被 牟言科 于 2008-1-17 10:57:12 修改过]
作者: shenjiu 时间: 2008-1-17 18:27
纵隔血肿,大血管破裂或食管破裂?左侧胸腔积血,胸骨柄骨折,双侧肋骨骨折可能是第三肋骨。
作者: dr.yang 时间: 2011-11-17 07:44
当然,对于该病例,其它非重要的诊断还有:右侧少量气胸;左侧胸腔积液;左侧轻度肺挫裂伤。对于纵隔内血肿,我们曾经遇到过多例,也有怀疑主动脉的破裂,但是,均未得到具体出血部位的明确诊断。--学习
| 欢迎光临 医影在线 (http://bbs.radida.com/bbs/) |
Powered by Discuz! X3.2 |