医影在线

标题: PED0547:极少见:脑膨出?血肿? [打印本页]

作者: dr.whx    时间: 2008-1-14 02:30
标题: PED0547:极少见:脑膨出?血肿?
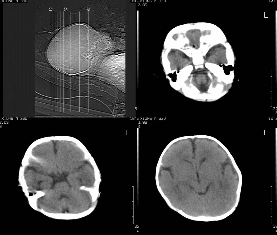
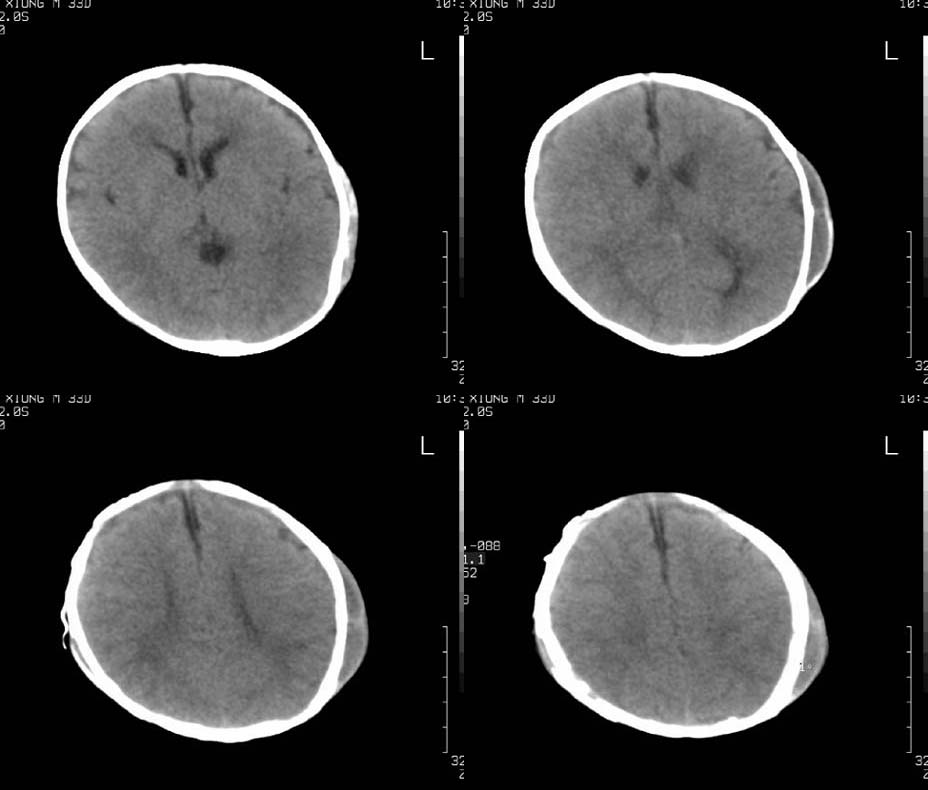
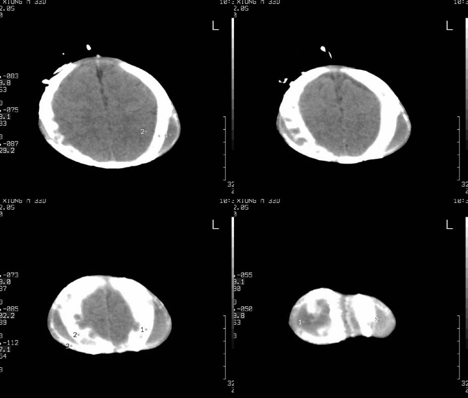
患儿,男,30天。出生时即发现两侧头顶部肿块,触诊似乒乓球样,其余各项检查未见异常。ct扫描:两侧顶骨外侧软组织密度影,ct值约29hu,脑皮质ct值约28.1hu。外缘尚见骨样结构。





[本贴已被 翁志蓬 于 2008-1-13 22:43:03 修改过]

作者: 还珠格格    时间: 2008-1-14 02:41
双侧顶部软组织明显肿胀,相应部位骨质可见多处缺损 考虑 双侧顶骨嗜酸性肉芽肿可能性大。
作者: zhangxu5888    时间: 2008-1-14 02:44
嗜酸性肉芽肿
作者: wangjj555    时间: 2008-1-14 02:54
考虑血肿并机化
作者: 随光逐影    时间: 2008-1-14 02:56
双侧顶部头皮血肿(机化、钙化)。
作者: 同    时间: 2008-1-14 03:02
考虑血肿并机化.
作者: chenln9860    时间: 2008-1-14 03:13
骨膜下血肿
作者: dyqct    时间: 2008-1-14 03:15
.典型的双侧慢性颅血肿改变.
作者: HARRY    时间: 2008-1-14 03:16
考虑血肿并机化
作者: 余辉    时间: 2008-1-14 03:19
支持考虑血肿机化,建议提供分娩时情况
作者: yifanfengshun    时间: 2008-1-14 03:50
血肿并机化。
作者: 黑白光影    时间: 2008-1-14 03:52
考虑血肿机化,建议提供分娩时情况。
作者: qiushi    时间: 2008-1-14 04:40
双侧顶部头皮血肿(机化、钙化)。
   建议结合临床(分娩时是否有胎吸史)
作者: wangzhengyuan    时间: 2008-1-14 04:41
考虑血肿并机化.
作者: ZHANGZHONGSHOU    时间: 2008-1-14 04:45
典型双顶骨骨膜下血肿机化
作者: 天南地北    时间: 2008-1-14 06:51
骨膜下血肿机化
作者: liaizhi    时间: 2008-1-14 18:04
支持骨膜下血肿机化.
作者: lmldoc    时间: 2008-1-14 19:10
双侧顶骨骨膜下血肿并机化钙化,我们医院经常见到,第一次碰到的时候还不知道是什么,后面见多了就不一样了,不过诊断应该与生产时情况结合。病史很重要。
作者: clj20    时间: 2008-1-15 00:41
考虑血肿并机化
作者: shiqingfa    时间: 2008-1-15 03:45
考虑血肿并机化
作者: 卜一    时间: 2008-1-15 05:49
考虑血肿并机化.支持!
作者: zjzjr    时间: 2008-1-15 23:22
骨膜下血肿
作者: 摘星空竹子    时间: 2008-1-16 05:37
支持血肿并机化
作者: yy杨洋    时间: 2008-1-16 07:38
双顶骨骨膜下血肿机化
作者: guanaishengming    时间: 2008-1-16 22:01
双侧顶部头皮血肿(机化、钙化)。
作者: 纪元    时间: 2008-1-17 20:42
产瘤机化。
作者: 22222222    时间: 2008-1-18 04:51
双侧顶部头皮血肿
作者: wansheng    时间: 2008-1-20 17:33
考虑血肿并机化.
作者: fanxinyu    时间: 2010-6-2 04:43
双侧顶骨骨膜下血肿并机化钙化,学习了。
作者: 张辉9999    时间: 2010-6-4 02:14
考虑血肿并机化
作者: ayaya008    时间: 2010-6-5 01:31
支持考虑血肿机化,建议结合临床病史
作者: 光影相伴    时间: 2010-6-5 02:31
双侧顶部头皮血肿(机化、钙化)。




欢迎光临 医影在线 (http://bbs.radida.com/bbs/) Powered by Discuz! X3.2