














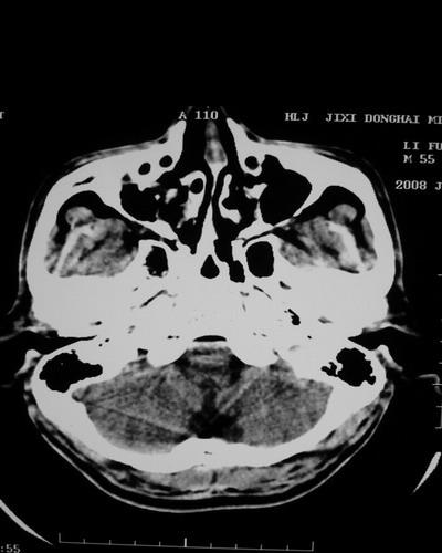
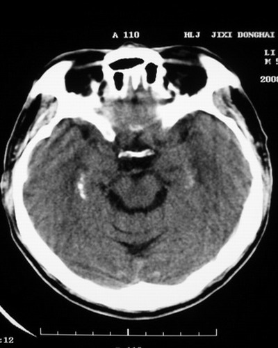
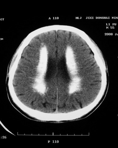
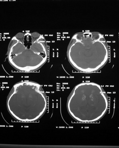
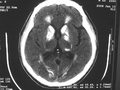
以下是引用随光逐影在2008-1-14 17:26:00的发言:[br]考虑为:甲状旁腺功能低下。需与fahr`s病相鉴别。建议:实验室检查。
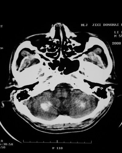
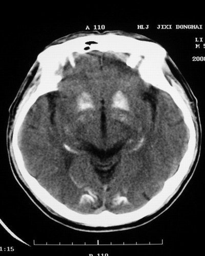
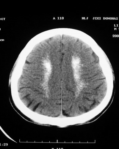
以下是引用随光逐影在2008-1-14 17:26:00的发言:[br]考虑为:甲状旁腺功能低下。需与fahr`s病相鉴别。建议:实验室检查。
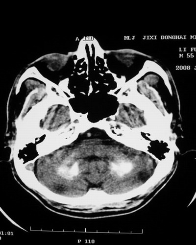
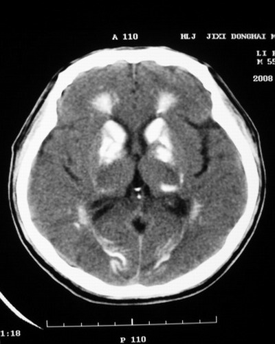
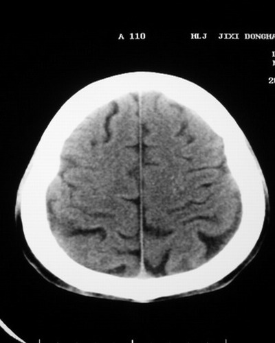
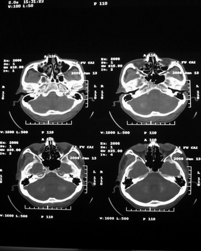
以下是引用随光逐影在2008-1-14 17:26:00的发言:[br]考虑为:甲状旁腺功能低下。需与fahr`s病相鉴别。建议:实验室检查。
| 欢迎光临 医影在线 (http://bbs.radida.com/bbs/) | Powered by Discuz! X3.2 |