医影在线

标题: V0383:少见病例,双肩关节半脱位,双肩关节弹响。 [打印本页]

作者: caihe    时间: 2008-1-15 08:04
标题: V0383:少见病例,双肩关节半脱位,双肩关节弹响。
注:请站长、版主不要删除,因为实在是少见病例,欲请vip会员讨论,该病例已在x线讨论栏发表
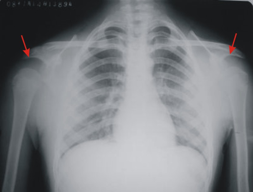
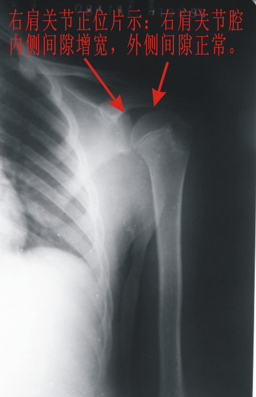
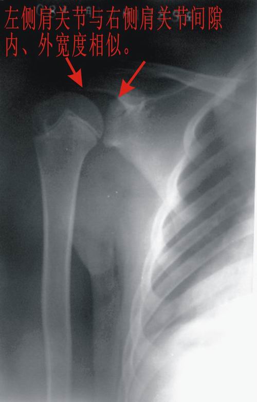
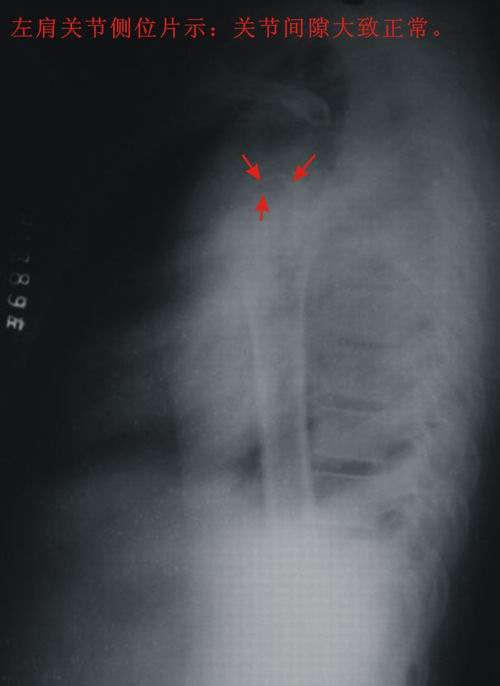
患者,男,13岁。自诉两月前双肩关节时有弹响,有时左、右肩关节轮换隐痛。但双上肢能抬举、左右旋转、屈伸自如。pe:双肩及双上肢皮肤无红、肿。触诊:双肩关节区域有抖动,似触心脏的搏动感,但抖动、搏动感能自控。双肩区域皮肤无发热。听诊:用耳贴近患者双肩区能听到弹响声。x线胸部后前位示:双肩关节间隙增宽,考虑双肩关节半脱位。双肩关节正侧位片示:双肩关节无明显脱位征象。双肩关节区域透视示:双肩关节解剖位时,双肩关节间隙增宽(与胸部后前位的双肩关节间隙相等),也能见双肱骨头在双肩关节腔内上、下移动约1cm左、右。但患者能自控(双肱骨头在双肩关节腔内不上、下移动)。请战友们详见患者相片、胸部后前位片、双肩关节正侧位片。我第一次碰到这样的病例(是否是神经性关节病“夏科氏关节”?),经验不足,希望能帮助诊断。亦请分析病因、病理机制,是什么原造成的?最好能提供治疗方法,谢谢!









[本贴已被 caihe 于 2008-1-15 0:34:50 修改过]

作者: ZHANGZHONGSHOU    时间: 2008-1-15 15:51
标题: 回复
先天性关节松弛可能性大。
    本病又名先天性多发性关节松弛症,关节松弛。为常染色体隐性遗传,临床表现:1、先天性关节弛缓2、复发性关节脱臼3、其他异常:内眦赘皮,鼻梁凹陷,小下颌畸形,膈疝、皮。皮肤松软。x线表现:1、小关节脱位:多见于指、趾、腕、肘、肩、膝等关节。2、其他异常:脑积水、脊椎裂、扁平足畸形,弧形足底畸形。

[本贴已被 zhangzhongshou 于 2008-1-15 7:57:17 修改过]

作者: 卜一    时间: 2008-1-15 16:26
双侧肩关节解剖位时,双肩关节间隙增宽,但肱骨头及周边骨质 关节腔均未见异常。与骨科专家会诊结果,目前只能诊断:肩关节松弛症!
作者: qiushi    时间: 2008-1-15 16:32
双肩关节间隙增宽,但肱骨头及周边骨质 关节腔均未见异常。
诊断:肩关节松弛症!
作者: 同    时间: 2008-1-15 21:38
标题: 回复:v0383:少见病例,双肩关节半脱位,双肩关节弹响。
以下是引用卜一在2008-1-15 8:26:00的发言:[br]双侧肩关节解剖位时,双肩关节间隙增宽,但肱骨头及周边骨质 关节腔均未见异常。与骨科专家会诊结果,目前只能诊断:肩关节松弛症!

作者: 余辉    时间: 2008-1-16 04:32
支持考虑关节松弛症,建议mr检查排除关节积液
作者: 流星1234    时间: 2008-1-17 05:00
支持先天晚发性双肩关节松弛症
本病分先天遗传性和后天获得性,先天性主要为遗传因素,有两种相对良性类型分别为常染色体显性常染色体隐性遗传,后者伴生长发育迟缓和关节松弛,先天性又分早发性和晚发性.获得性多为一或多个关节反复损伤引起关节囊或韧带的松弛,本病没有特殊治疗,严重时可考虑手术或中医方法.
作者: 寻芳者    时间: 2008-1-17 06:34
实在罕见,有待查找资料-----------------------------------------
作者: yuhongjun    时间: 2008-1-17 15:15
标题: 回复:v0383:少见病例,双肩关节半脱位,双肩关节弹响。
以下是引用zhangzhongshou在2008-1-15 7:51:00的发言:[br]先天性关节松弛可能性大。[br]    本病又名先天性多发性关节松弛症,关节松弛。为常染色体隐性遗传,临床表现:1、先天性关节弛缓2、复发性关节脱臼3、其他异常:内眦赘皮,鼻梁凹陷,小下颌畸形,膈疝、皮。皮肤松软。x线表现:1、小关节脱位:多见于指、趾、腕、肘、肩、膝等关节。2、其他异常:脑积水、脊椎裂、扁平足畸形,弧形足底畸形。[br][br]
[本贴已被 zhangzhongshou 于 2008-1-15 7:57:17 修改过]

作者: zhangkai    时间: 2008-1-17 22:19
从小孩的发育和关节结构来看,应该没有什么问题。
可能与投照时的位置和中心线有一定的关系。
作者: shiqingfa    时间: 2008-1-19 03:25
肩关节松弛症
支持
作者: liuyue    时间: 2008-1-26 16:28
学习了,谢谢楼主及各位老师.
作者: lushijun    时间: 2008-1-27 00:45
同意2楼意见
作者: shibing    时间: 2012-7-9 08:54
肩关节松弛症
支持




欢迎光临 医影在线 (http://bbs.radida.com/bbs/) Powered by Discuz! X3.2