医影在线

标题: PED0552:男1岁,双肾区CT [打印本页]

作者: zzyy    时间: 2008-1-16 17:09
标题: PED0552:男1岁,双肾区CT
(结果公布:http://www.radida.com/bbs/forum.php?mod=viewthread&tid=33985)
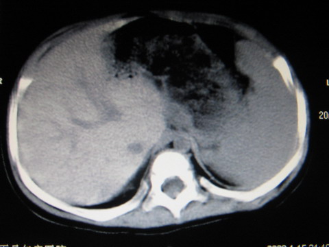
胎龄5个月时b超示左肾积水,现一岁后复查






























[本贴已被 jiajie 于 2008-1-18 9:03:14 修改过]

作者: 卜一    时间: 2008-1-16 18:56
左肾重度积水!
作者: guanaishengming    时间: 2008-1-16 21:55
左肾重度积水!考虑肾盂输尿管交界处先天性狭窄或闭塞所导致
作者: 同    时间: 2008-1-16 23:43
左肾重度积水.
作者: lizhjie    时间: 2008-1-17 02:43
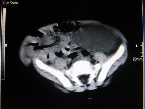
先天性巨输尿管畸形
作者: 前行    时间: 2008-1-17 04:23
mru检查除外先天性巨输尿管
作者: liaizhi    时间: 2008-1-17 04:50
左肾盂积水.先天性左输尿管狭窄?
作者: dyqct    时间: 2008-1-17 05:40
左肾重度积水。
作者: yy杨洋    时间: 2008-1-17 06:36
标题: 回复:ped0552:男1岁,双肾区ct
以下是引用liaizhi在2008-1-16 20:50:00的发言:[br]左肾盂积水.先天性左输尿管狭窄?

支持
作者: 随光逐影    时间: 2008-1-17 21:29
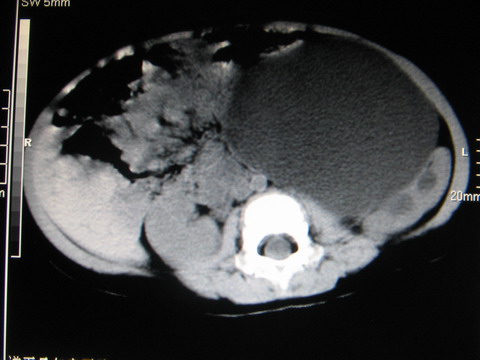
左肾重度积水(先天性左输尿管狭窄所致?)。
作者: 黑白光影    时间: 2008-1-17 23:46
先天性左输尿管狭窄所致左肾重度积水。
作者: 22222222    时间: 2008-1-18 04:46
左肾重度积水(先天性左输尿管狭窄所致?)。
作者: zjzjr    时间: 2008-1-18 21:47
先天性左输尿管狭窄所致左肾重度积水。
作者: yangyudong333    时间: 2008-1-19 20:08
标题: 回复:ped0552:男1岁,双肾区ct
以下是引用随光逐影在2008-1-17 13:29:00的发言:[br]左肾重度积水(先天性左输尿管狭窄所致?)。

作者: ZHONGXINMR    时间: 2009-5-31 19:01
典型,收到




欢迎光临 医影在线 (http://bbs.radida.com/bbs/) Powered by Discuz! X3.2