医影在线

标题: CT11364:视N有问题吗??? [打印本页]

作者: wlhlxy0000    时间: 2008-1-17 00:18
标题: CT11364:视N有问题吗???
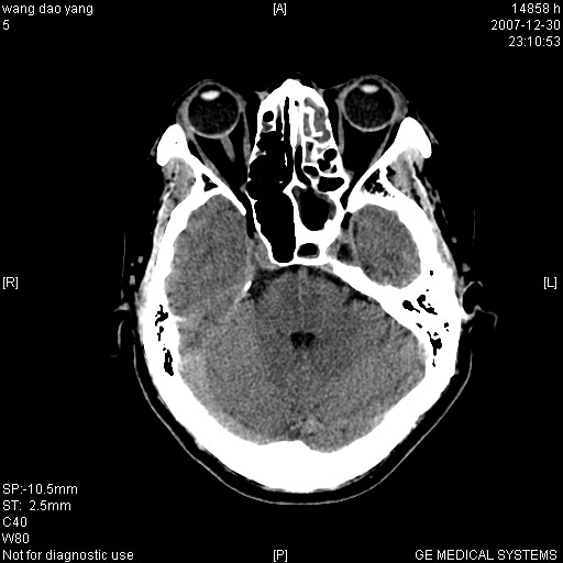
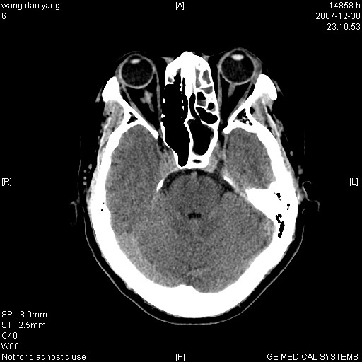
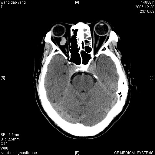
因外伤做ct









[本贴已被 翁志蓬 于 2008-1-16 17:21:20 修改过]

作者: w_jianhua    时间: 2008-1-17 00:38
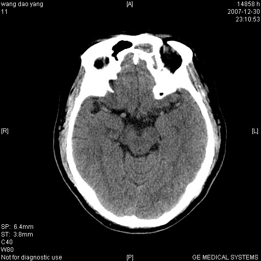
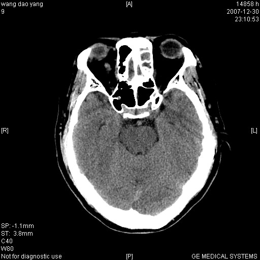
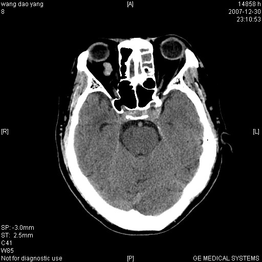
1。左侧筛窦蝶窦少量积液,2。右眼眶视神经鞘瘤可能性大,建议增强一下
作者: 沈丘东方    时间: 2008-1-17 00:47
球后炎性假瘤?
作者: brave26    时间: 2008-1-17 01:33
还是希望有老师给下指点..
作者: wangjj555    时间: 2008-1-17 01:57
建议增强
作者: oceanyy    时间: 2008-1-17 02:07
肌圆锥内占位性病变,血管瘤可能性大。
1 病灶位于肌圆锥内,从第一帧看,和视神经关系不紧密。
2 病灶边界光整,形态欠规则。
3 病灶密度明显高于同层面的正常软组织。
作者: 宇宙ct    时间: 2008-1-17 02:46
肌圆锥内占位性病变,血管瘤可能性大。
1 病灶位于肌圆锥内,从第一帧看,和视神经关系不紧密。
2 病灶边界光整,形态欠规则。
3 病灶密度明显高于同层面的正常软组织。
作者: zyyzzy    时间: 2008-1-17 02:51
外伤的话首先考虑球后血肿!!
作者: liuyue    时间: 2008-1-17 02:55
肌圆锥内类软组织密度影,边缘清楚,位于视神经上方,考虑:炎性假瘤可能性大.
建议:强化扫描.
作者: wqs571018    时间: 2008-1-17 03:21
肌圆锥内类软组织密度影,边缘清楚,位于视神经上方,考虑:炎性假瘤可能性大.支持。
作者: 前行    时间: 2008-1-17 03:50
mr检查
作者: xulianj    时间: 2008-1-17 03:51
看来与视神经有关,调整一下窗宽、窗位可以更好地观察。但不一定与外伤有关。建议进一步检查。mri
作者: 李龙    时间: 2008-1-17 03:55
右枕部有没有硬膜下血肿?
作者: yangyudong333    时间: 2008-1-17 04:00
1筛窦血肿2球后血肿
作者: 卜一    时间: 2008-1-17 04:00
病灶形态不规则,临床有外伤史,支持考虑:球后血肿!!!
作者: dyqct    时间: 2008-1-17 04:27
考虑右侧视神经脑膜瘤或血管瘤,建议增强进一步检查。
作者: 宝天曼    时间: 2008-1-17 04:27
标题: 回复:ct11364:视n有问题吗???
以下是引用wqs571018在2008-1-16 19:21:00的发言:[br]肌圆锥内类软组织密度影,边缘清楚,位于视神经上方,考虑:炎性假瘤可能性大.支持。[br]

作者: luochengyi    时间: 2008-1-17 04:35
标题: 回复:ct11364:视n有问题吗???
以下是引用dyqct在2008-1-16 20:27:00的发言:[br]考虑右侧视神经脑膜瘤或血管瘤,建议增强进一步检查。

作者: 黑金    时间: 2008-1-17 04:41
支持血管瘤
作者: 联众之王    时间: 2008-1-17 04:46
"眼内迂曲增宽+外伤"患者:是不应该增强看看海绵窦增宽否
作者: liangshusheng    时间: 2008-1-17 04:47
考虑右侧视神经脑膜瘤或视神经胶质瘤,建议增强进一步检查鉴别。
作者: yy杨洋    时间: 2008-1-17 05:09
看来与视神经有关,调整一下窗宽、窗位可以更好地观察。但不一定与外伤有关。建议进一步检查。mri
作者: zyx168    时间: 2008-1-17 05:31
考虑右侧视神经鞘瘤,脑膜瘤或纤维瘤。
作者: 拾荒者    时间: 2008-1-18 04:50
病灶形态不规则,临床有外伤史,支持考虑:球后血肿!!!
作者: 随光逐影    时间: 2008-1-18 05:03
球后肌锥内小团块状软组织密度影(性质待定);建议:行ct增强扫描或mri检查。
作者: zjb    时间: 2008-1-18 05:27
考虑血肿可能性大
作者: dr.yang    时间: 2011-11-17 19:58
病灶形态不规则,临床有外伤史,支持考虑:球后血肿!!!




欢迎光临 医影在线 (http://bbs.radida.com/bbs/) Powered by Discuz! X3.2