医影在线

标题: PED0557:会诊——新生儿颅内病变。 [打印本页]

作者: 随光逐影    时间: 2008-1-18 04:22
标题: PED0557:会诊——新生儿颅内病变。
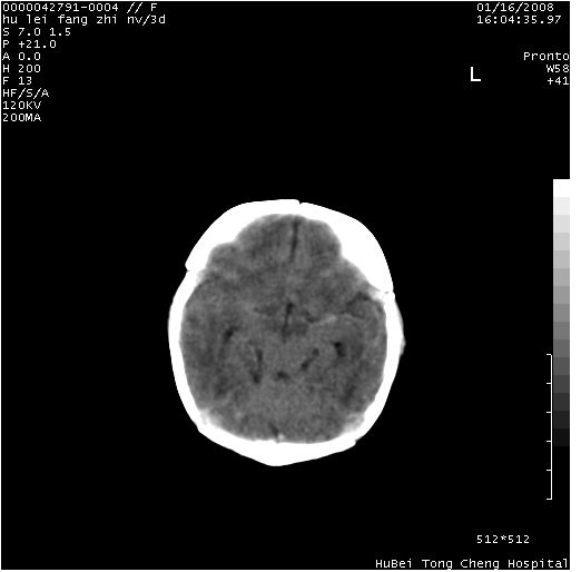
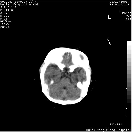
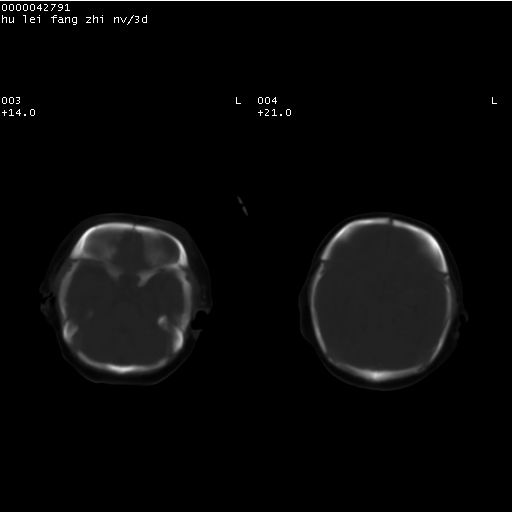
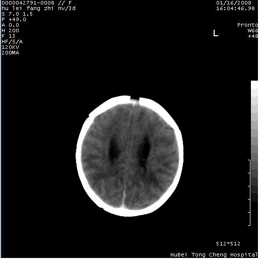
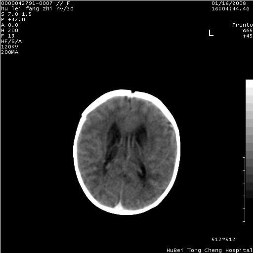
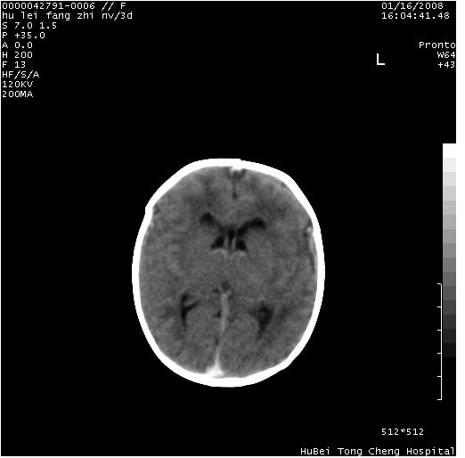
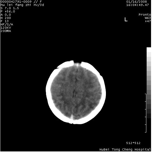
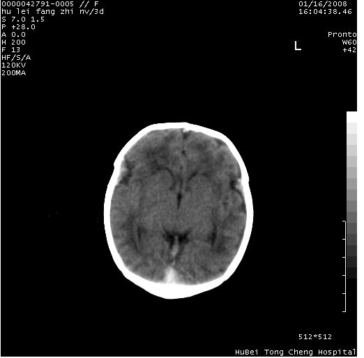
患儿 女,3天。惊跳,纳差。第二胎顺产,羊水ⅱ度。

临床诊断:hie?

颅脑ct轴位平扫(层厚、层距均为7mm),图像如下:


















[本贴已被 翁志蓬 于 2008-1-17 22:42:39 修改过]

作者: 光线    时间: 2008-1-18 04:28
符合hie
作者: ZHANGZHONGSHOU    时间: 2008-1-18 05:15
标题: 回复:会诊——新生儿颅内病变。
以下是引用光线在2008-1-17 20:28:00的发言:[br]符合hie

作者: 摘星空竹子    时间: 2008-1-18 06:37
支持hie
作者: zzyy    时间: 2008-1-18 17:08
hie合并蛛网膜下腔出血
作者: clj20    时间: 2008-1-18 18:34
hie
作者: zjzjr    时间: 2008-1-18 21:56
hie合并蛛网膜下腔出血,五、六脑室形成。
作者: 余辉    时间: 2008-1-18 23:11
hie合并蛛网膜下腔出血
作者: 同    时间: 2008-1-18 23:21
支持hie伴少量蛛血.
作者: zhangkai    时间: 2008-1-19 00:03
标题: 回复:ped0557:会诊——新生儿颅内病变。
以下是引用同在2008-1-18 15:21:00的发言:[br]支持hie伴少量蛛血.

作者: zsh0009    时间: 2008-1-19 21:37
支持hie
作者: dyqct    时间: 2008-1-20 04:22
支持胼胝体发育不良。
作者: wansheng    时间: 2008-1-20 17:34
hie合并蛛网膜下腔出血
作者: guanaishengming    时间: 2008-1-20 18:39
支持hie,胼胝体发育差些
作者: 岩光蛋    时间: 2008-2-26 23:32
支持胼胝体发育不良
作者: 杀毒软件    时间: 2008-4-15 03:29
hie合并蛛网膜下腔出血
作者: jinguoji    时间: 2008-4-16 07:26
支持hie
作者: yuhongjun    时间: 2010-8-15 02:12
hie合并蛛网膜下腔出血。




欢迎光临 医影在线 (http://bbs.radida.com/bbs/) Powered by Discuz! X3.2