医影在线

标题: CT11399:女性,77岁,右上腹胀痛月余。 [打印本页]

作者: bbc    时间: 2008-1-19 01:46
标题: CT11399:女性,77岁,右上腹胀痛月余。
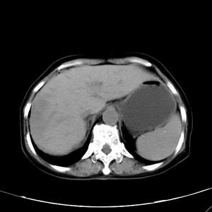
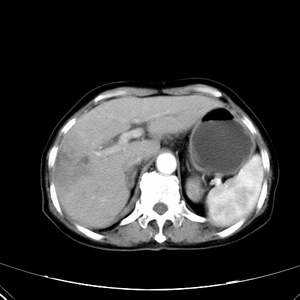
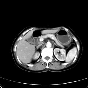
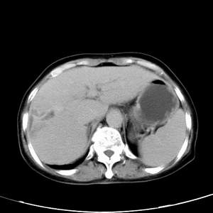
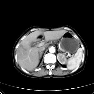
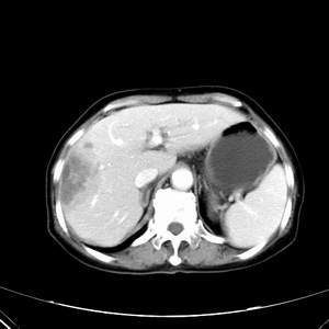
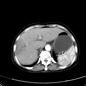
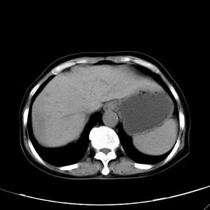
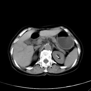
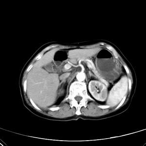
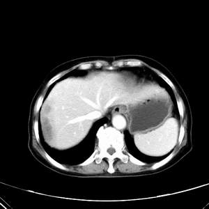
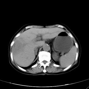
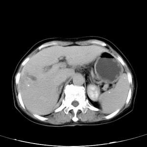
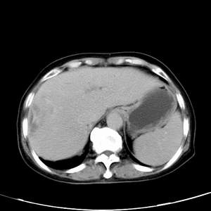
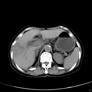
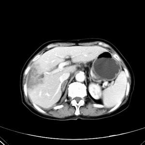
患者,女性,77岁,右上腹胀痛月余。afp正常。ca125升高。即往无肝炎病史。





















肝右叶病灶是胆管细胞癌吗?门静脉右支癌栓形成?右侧肾上腺有问题吗?


[本贴已被 jiajie 于 2008-1-18 18:22:06 修改过]

作者: lizhjie    时间: 2008-1-19 02:45
快进快出符合肝癌表现
作者: zhengfaming    时间: 2008-1-19 02:51
病灶强化不均匀,形态欠规整.患者年龄很高.
考虑肝癌
肾上腺应该问题不大,肾上腺的大小和形态在临床上差异很大,所以大小无实际意义
作者: liuyue    时间: 2008-1-19 03:12
延时后,病变与肝脏呈等密度,先考虑:肝血管瘤.
作者: HARRY    时间: 2008-1-19 03:21
考虑:肝血管瘤
作者: guanaishengming    时间: 2008-1-19 03:27
有没做延时扫描,有请上传
作者: 云翔    时间: 2008-1-19 03:40
考虑肝内胆管细胞癌
作者: bbc    时间: 2008-1-19 03:43
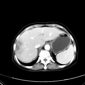
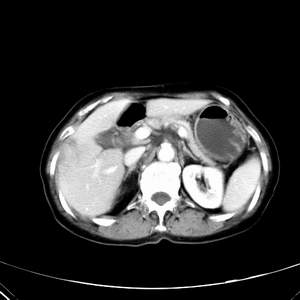
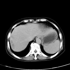
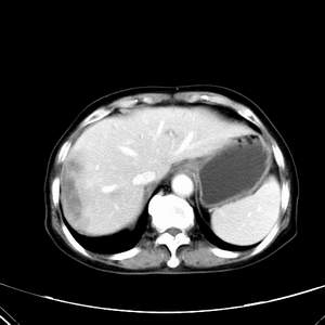
最后5幅图片是延时7分钟的。门静脉右前支内有充缺吗?如有,肝血管瘤不好解释。
作者: 求知若渴    时间: 2008-1-19 04:21
渐进性强化,中间见沙砾样钙化,首先考虑血管瘤
作者: 卜一    时间: 2008-1-19 04:25
支持:胆管细胞瘤并门脉右支癌栓形成!
作者: lhlxh2151    时间: 2008-1-19 04:32
渐进性强化,且有沙砾样钙化,考虑肝血管瘤。
作者: yangyudong333    时间: 2008-1-19 04:40
支持肝癌
作者: zsl6918    时间: 2008-1-19 04:59
标题: 回复:ct11399:女性,77岁,右上腹胀痛月余。
支持:胆管细胞瘤并门脉右支癌栓形成![
作者: zyx168    时间: 2008-1-19 05:09
首先考虑血管瘤
作者: maliang01    时间: 2008-1-19 05:53
考虑肝内胆管细胞癌
作者: 飞向太空    时间: 2008-1-19 06:14
病灶强化不均匀,形态欠规整.患者年龄很高.
考虑肝癌
作者: zzyy    时间: 2008-1-19 16:58
肝血管瘤。
作者: 同    时间: 2008-1-19 17:20
考虑胆管细胞癌并门脉右支癌栓形成.
作者: zjzjr    时间: 2008-1-19 17:30
支持:胆管细胞瘤并门脉右支癌栓形成!
作者: hnyzdjb    时间: 2008-1-19 17:56
考虑血管瘤
作者: 随光逐影    时间: 2008-1-20 02:42
考虑为:胆管细胞癌。
作者: dyqct    时间: 2008-1-20 03:59
标题: 回复:ct11399:女性,77岁,右上腹胀痛月余。
以下是引用zjzjr在2008-1-19 9:30:00的发言:[br]支持:胆管细胞瘤并门脉右支癌栓形成!

作者: xulianj    时间: 2008-1-20 04:50
支持考虑胆管细胞癌;但门脉右支癌栓不明显.
作者: 拾荒者    时间: 2008-1-20 05:33
病灶渐进性向心性强化,延时病灶中心见条片状高密度影,局部见肝包膜回缩征,结合病人无肝炎病史,考虑肝右叶胆管细胞癌,门脉右支癌栓形成。




欢迎光临 医影在线 (http://bbs.radida.com/bbs/) Powered by Discuz! X3.2