医影在线

标题: PED0565:女,4个月,咳嗽4天,喘加重两天 [打印本页]

作者: zzyy    时间: 2008-1-20 19:29
标题: PED0565:女,4个月,咳嗽4天,喘加重两天
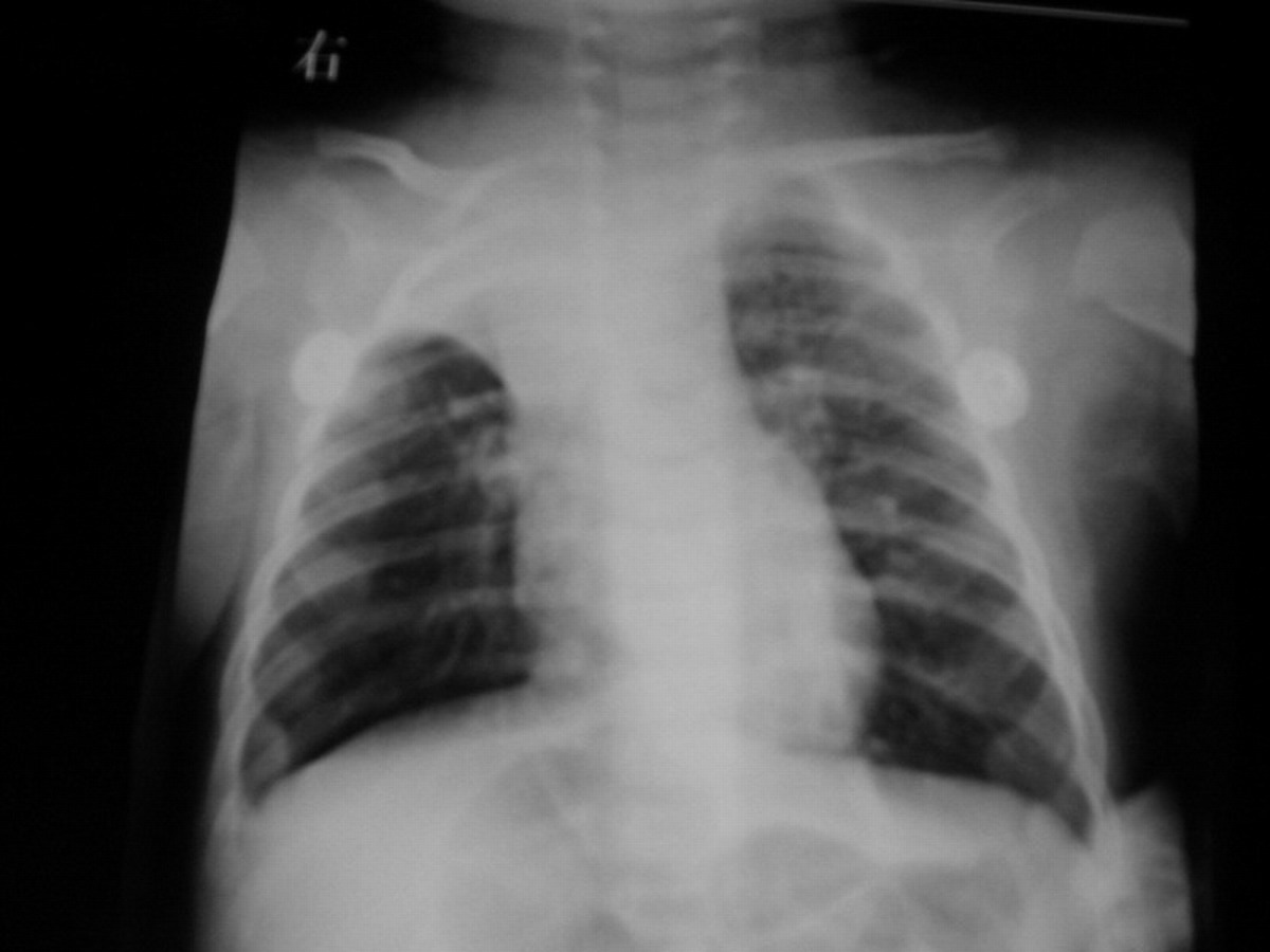
女:4个月,咳嗽4天,喘加重两天。wbc2000 hb73g rbc294




[本贴已被 jiajie 于 2008-1-20 11:36:40 修改过]

作者: zzyy    时间: 2008-1-20 19:36
补充病史:患儿无发热
作者: 光线    时间: 2008-1-20 20:40
右肺上叶不张。警惕支气管异物!
作者: yangyudong333    时间: 2008-1-20 20:56
右肺上叶不张
作者: zhangkai    时间: 2008-1-20 21:20
右上肺不张,右下代偿性肺气肿。尽管支气异物以下叶多见,但此例不能排除异物可能。追问病史或作进一步检查。
作者: 阿狼    时间: 2008-1-20 21:39
右肺上叶不张,支气管异物待排。
作者: hexue    时间: 2008-1-20 23:43
右肺上叶不张,左肺见小片状,小点状阴影,支气管肺炎可能性大。建议ct检查以排除肺门淋巴结核
作者: 同    时间: 2008-1-21 00:26
右上肺不张.
作者: 康振朝    时间: 2008-1-21 04:28
右上肺不张.
作者: 黑白光影    时间: 2008-1-21 06:28
右上肺不张,右下代偿性肺气肿。尽管支气异物以下叶多见,但此例不能排除异物可能。追问病史或作进一步检查。
作者: ZHANGZHONGSHOU    时间: 2008-1-21 07:05
标题: 回复:ped0565:女,4个月,咳嗽4天,喘加重两天
以下是引用光线在2008-1-20 12:40:00的发言:[br]右肺上叶不张。警惕支气管异物!

建议追问病史,行纤维支气管镜检查。
作者: liaizhi    时间: 2008-1-21 18:31
1右肺不张2左上肺散在点状高密度影,左肺门扩大.考虑结核并肺不张可能性大.
作者: 随光逐影    时间: 2008-1-21 22:41
右肺上叶肺不张(原因不明);建议:行进一步检查。
作者: dyqct    时间: 2008-1-29 23:37
标题: 回复:ped0565:女,4个月,咳嗽4天,喘加重两天
以下是引用随光逐影在2008-1-21 14:41:00的发言:[br]右肺上叶肺不张(原因不明);建议:行进一步检查。

支持!




欢迎光临 医影在线 (http://bbs.radida.com/bbs/) Powered by Discuz! X3.2