医影在线

标题: CT11418:F65Y,肝脏占位,请各位发表高见!! [打印本页]

作者: mao    时间: 2008-1-21 00:38
标题: CT11418:F65Y,肝脏占位,请各位发表高见!!
(结果公布:http://www.radida.com/bbs/forum.php?mod=viewthread&tid=34380)
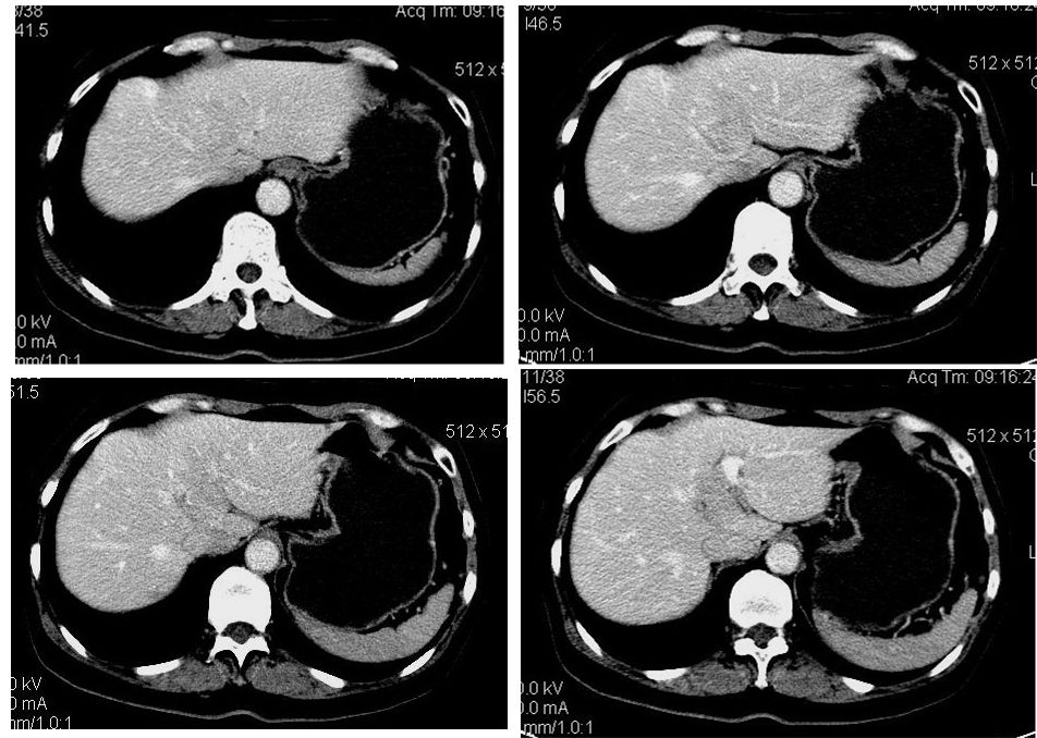
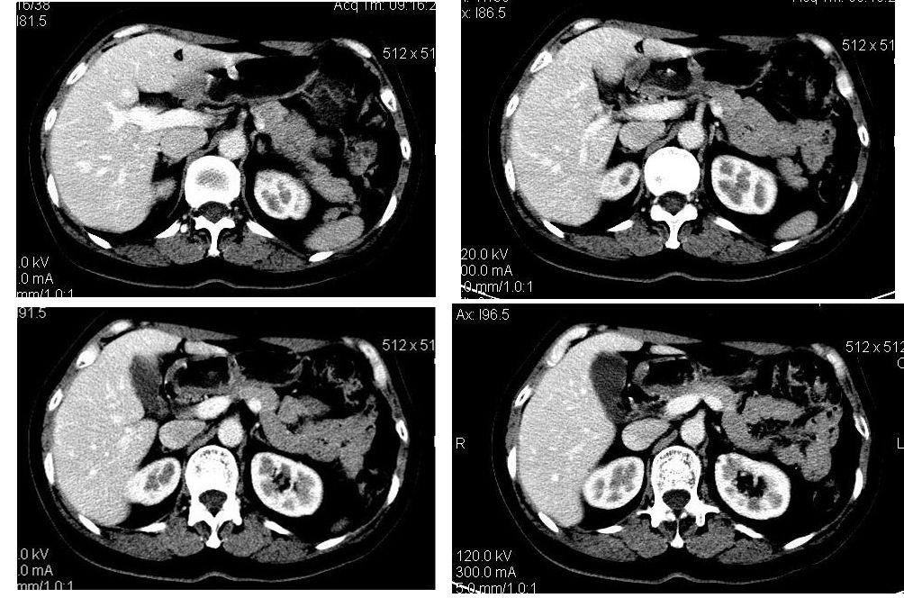
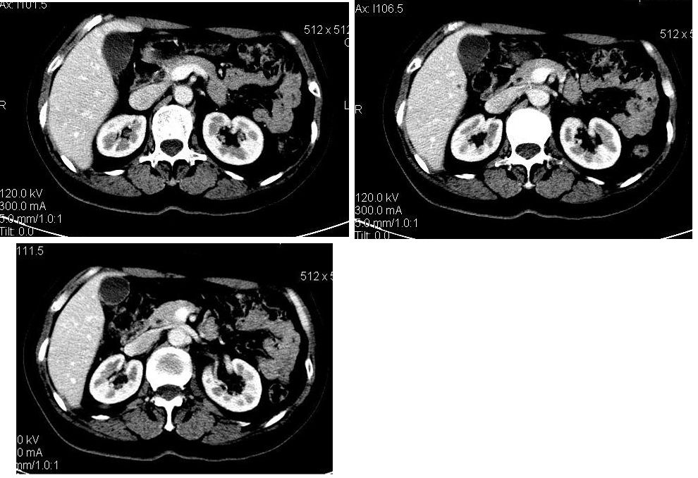
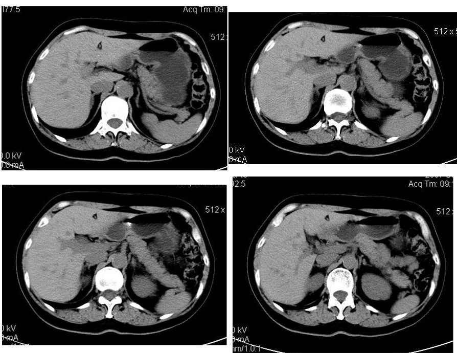
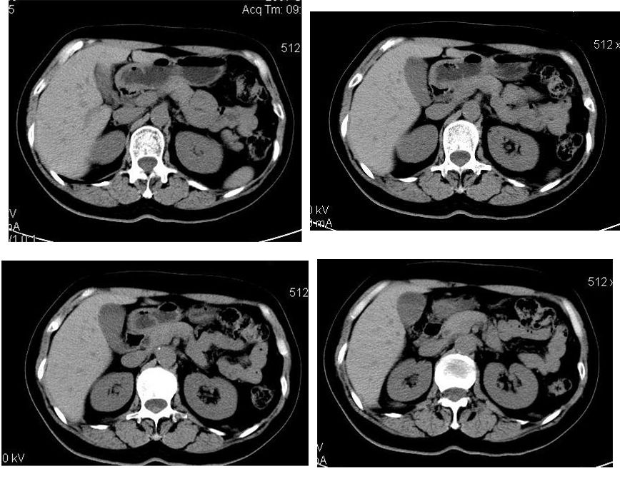
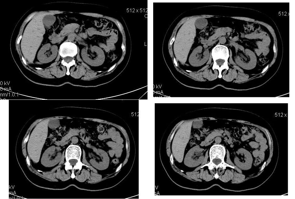
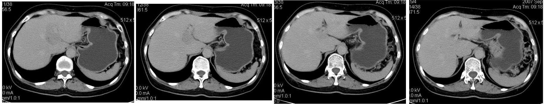
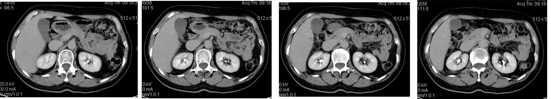
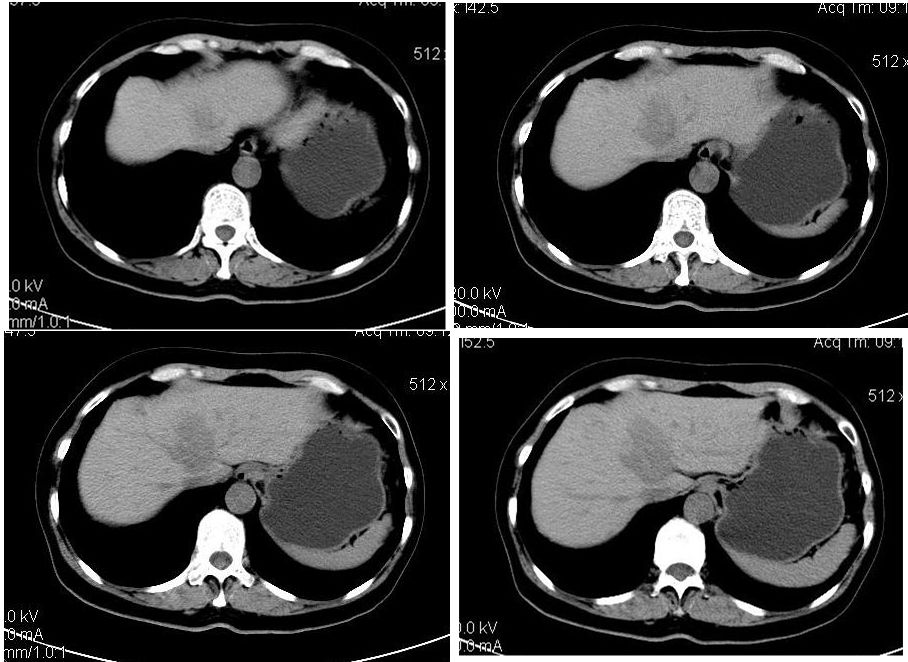
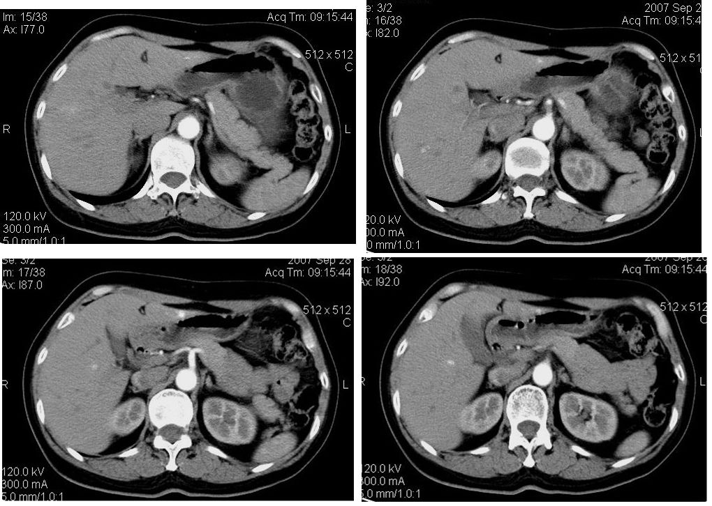
患者,女,65岁,住院准备甲状腺腺瘤用术,术前常规发现肝脏占位,ct增强扫描。
平扫





动脉期



门脉期




延迟扫描







[本贴已被 翁志蓬 于 2008-1-29 23:35:57 修改过]

作者: zjzjr    时间: 2008-1-21 01:05
肝左叶内侧段肝癌.
作者: 13081830109    时间: 2008-1-21 01:08
强化效果非常好
支持肝癌
作者: HARRY    时间: 2008-1-21 01:09
符合快进快出表现,还是考虑:肝左叶内侧段肝癌.
作者: LIAOQIANG    时间: 2008-1-21 01:12
考虑:肝左叶内侧段肝癌。
作者: 医影常客    时间: 2008-1-21 01:16
肝癌支持
作者: huanying2000abc    时间: 2008-1-21 01:30
支持
作者: lirenxiong    时间: 2008-1-21 01:33
肝癌支持
作者: 光线    时间: 2008-1-21 01:37
同意以上意见。
作者: liuyue    时间: 2008-1-21 01:39
造影剂快进快出,考虑:肝左叶内侧段肝癌.
作者: qiuleiyu    时间: 2008-1-21 01:47
肝癌可能大,不除外转移.
作者: yy杨洋    时间: 2008-1-21 02:36
肝癌可能大,不除外转移.
作者: 同    时间: 2008-1-21 02:43
考虑肝左叶肝癌.
作者: wangjj555    时间: 2008-1-21 03:09
强化效果非常好
支持肝癌
作者: 卜一    时间: 2008-1-21 03:11
肝左叶内侧段肝癌。支持!
作者: zhengfaming    时间: 2008-1-21 03:15
符合快进快出表现,还是考虑:肝左叶内侧段肝癌
作者: zjb    时间: 2008-1-21 03:20
强化很典型,支持肝癌诊断
作者: 道哥    时间: 2008-1-21 03:44
肝左叶内侧段肝癌,肝右叶可见小结节灶,并见强化,考虑转移.
作者: xulianj    时间: 2008-1-21 03:48
肝癌
作者: zsh0009    时间: 2008-1-21 03:56
肝左叶内侧段肝癌。
作者: 拾荒者    时间: 2008-1-21 04:48
肝左叶内侧段低密度灶,增强明显快进快出表现,考虑:肝癌。
作者: 余辉    时间: 2008-1-21 05:16
有没有老师考虑是老腺瘤的,另外还有几个不明结节,可能是肝血管瘤
作者: dr.yang    时间: 2008-1-21 05:21
加强是快进快出,支持。
作者: ZHANGZHONGSHOU    时间: 2008-1-21 05:47
支持肝癌可能性大
作者: 摘星空竹子    时间: 2008-1-21 06:34
支持肝癌
作者: zhaozy    时间: 2008-1-21 06:59
挺好的肝脏强化,考虑肝癌
作者: qzysq    时间: 2008-1-21 07:05
肝脏ca伴肝脏多发转移
作者: 宇宙CT    时间: 2008-1-21 07:55
符合快进快出表现,还是考虑:肝左叶内侧段肝癌.
作者: 天山影士    时间: 2008-1-21 08:44
意见:肝硬化,肝癌累及肝门静脉,脾不大。
作者: happyverycd    时间: 2008-1-21 14:04
造影剂快进快出,考虑:肝左叶内侧段肝癌
作者: yangyudong333    时间: 2008-1-21 15:24
快进快出符合肝癌
作者: zzyy    时间: 2008-1-21 16:39
符合快进快出表现,还是考虑:肝左叶内侧段肝癌.
作者: zhanglixian1985    时间: 2008-1-21 18:24
各位是空前的一致啊!我还能说什么呢,只能顶一下了!!!
作者: 朱亮    时间: 2008-1-21 18:27
早来早走     支持原发性肝癌
作者: muzi888    时间: 2008-1-21 18:52
肝左叶内侧段肝癌。
作者: 随光逐影    时间: 2008-1-21 21:07
考虑为:肝左叶内侧段肝癌。
作者: zhangkai    时间: 2008-1-21 21:13
支持肝癌的诊断。
作者: mao    时间: 2008-1-25 00:27
因患者去年9月ct检查,今年刚刚随访,临床资料不是很全,但有病理结果,希望更多人发表意见?
作者: mayuming0954    时间: 2008-1-25 00:34
标题: 回复:ct11418:f65y,肝脏占位,请各位发表高见!!!
以下是引用余辉在2008-1-20 21:16:00的发言:[br]有没有老师考虑是老腺瘤的,另外还有几个不明结节,可能是肝血管瘤

作者: mao    时间: 2008-1-25 04:28
该患者去年9月份在我院ct检查,今年随访,患者家属介绍说上海中山医院做了一个什么检查考虑良性占位,后手术病理是血管平滑肌脂肪瘤。
作者: guoke    时间: 2008-1-25 18:59
学习了,这可能是脂肪含量少的血管平滑肌脂肪瘤,因血管丰富所以动脉期密度升高明显,但该患无肝硬化表现,所以,诊断肝癌,依据不足.谢谢上传.对今后工作是一个提醒.
作者: 312nanyang    时间: 2008-1-25 19:08
好病例,贴主门工作做的很细致啊,强化工作做的非常到位。
该病例给我们影像医生上了一课,影像上的特征相对性更强。今后工作中吸取教训,避免出现闭门造车的情况,多结合临床的重要性。再次表示感谢
作者: mao    时间: 2008-1-26 00:38
该患者去年9月份在我院ct检查,今年随访,患者家属介绍说上海中山医院做了一个什么检查考虑良性占位,后手术病理是血管平滑肌脂肪瘤。
作者: zyx168    时间: 2008-1-26 08:26
肝左叶内侧段肝癌.
作者: wuyiyunwu    时间: 2008-1-29 22:53
好病例,学习了.
作者: wy232326    时间: 2008-1-29 23:25
血管平滑肌脂肪瘤。
学习了 谢谢楼主
作者: 拾荒者    时间: 2008-1-30 03:39
学习了,值得借鉴,影像诊断一定要密切结合临床。
作者: jinguoji    时间: 2008-1-30 06:33
学习了 谢谢楼主
作者: 石门之剑    时间: 2008-1-30 06:44
标题: 回复:(病理已公布)ct11418:f65y,肝脏占位,请各位发表高
以下是引用拾荒者在2008-1-29 19:39:00的发言:[br]学习了,值得借鉴,影像诊断一定要密切结合临床。

作者: zyyzzy    时间: 2008-1-30 06:52
强化特点符合肝癌
作者: zyyzzy    时间: 2008-1-30 06:57
真是惭愧!!好病例,学习了
作者: zhw974247    时间: 2008-1-30 06:58
好病例,学习了,每一个细节都不能遗漏!
作者: dr.yang    时间: 2011-11-19 00:48
肝左叶内侧段低密度灶,增强明显快进快出表现,考虑:肝癌。




欢迎光临 医影在线 (http://bbs.radida.com/bbs/) Powered by Discuz! X3.2