医影在线

标题: X0220:颈椎 正常还是变异 [打印本页]

作者: lxb    时间: 2005-3-30 21:44
标题: X0220:颈椎 正常还是变异
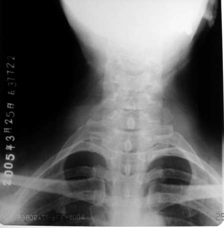
女 55岁 颈部不适一周余




[本贴已被 jiajie 于 2005-3-31 7:07:15 修改过]

作者: lxb    时间: 2005-3-30 21:53
标题: 回复:颈椎 正常还是变异
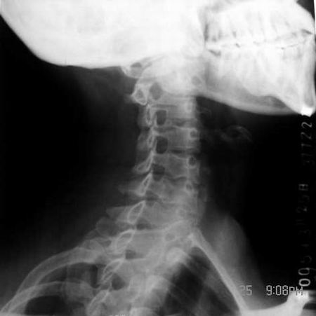
本来是正,侧,左,右斜位,侧位及右斜位超过150kb无法上传。[emb18][emb5]
作者: 奇永根    时间: 2005-3-31 02:54
应该是正常的   我说的对吗要是不是的话请大家提出宝贵意见
作者: 江南0721    时间: 2005-3-31 03:33
应该是正常的
作者: zhuxiaolei    时间: 2005-3-31 07:21
对哪里有疑问
作者: 王国锋    时间: 2005-3-31 07:23
应该是正常的
作者: hongguang    时间: 2005-3-31 08:11
第七颈肋.
图象上传前先改为灰度(photoshop处理),这样文件字节数会少一些.
作者: hyczy    时间: 2005-3-31 08:35
第七颈肋
作者: lyb999    时间: 2005-3-31 19:56
正常
作者: Leon.Lu    时间: 2005-3-31 21:46
正常的吧,没有颈肋啊。
作者: sbb    时间: 2005-4-1 03:15
[emb10]
作者: 杨军    时间: 2005-4-1 04:18
[emb10]
作者: wuliaokemjr    时间: 2005-4-1 04:49
无第七颈肋,正常.[emb10]
作者: fjm8    时间: 2005-4-1 05:41
第七颈肋
作者: honghua    时间: 2005-4-1 15:27
未见异常
作者: 潘建华    时间: 2005-4-3 03:42
没什么
作者: 权世辉    时间: 2005-4-3 19:00
正常
作者: tanaiton    时间: 2005-4-4 04:56
是颈肋!相片不是很清楚.
作者: caihe    时间: 2005-4-4 05:53
颈7横突(右侧)过长,考虑颈肋。
作者: ctm    时间: 2005-4-5 03:06
正常
作者: lxb    时间: 2005-4-5 07:28
多谢7楼,下次一定试一试。  声明:
第7椎右缘影系伪影(头发辫子)大家仔细看:从左上斜向右下都有这样的影象喔!
作者: yyg277    时间: 2005-4-5 17:47
正常
作者: ckp321    时间: 2005-4-10 14:34
应该是正常的,但是如果有个侧位对比来看就能看清了。
作者: 紫梨    时间: 2005-4-12 02:45
除了颈部不适就没有其他表现了吗?有无软组织的损伤?
作者: sunnydxx2000    时间: 2005-4-12 22:31
图象太差拉  没有看到颈肋[em5]
作者: ximen212    时间: 2005-4-15 03:00
未见明显异常
作者: 孙大勇    时间: 2005-4-15 04:59
正常
作者: jiexiong521    时间: 2005-4-15 06:52
你是不是说的c6哦?
作者: lxb    时间: 2005-4-29 07:04
数码相机照的,多亏jiajie 修改,谢谢你!我会努力的!!
作者: lxb    时间: 2005-4-29 07:11
用7楼教的方法上传了几例,效果很好,谢谢你!!www.radida.com/radinet/read.php?tid=3624  看看吧!请指教!
作者: 大头    时间: 2005-5-9 02:53
正常。[emb6]
作者: cefcmj    时间: 2005-5-14 20:38
无第七颈肋,正常.
作者: chenyongjian    时间: 2005-5-23 20:06
确实有颈肋不过发育的较短小而已。
作者: zhugj    时间: 2005-5-31 17:59
每个锥体前侧全透亮啊 没见过
作者: 向医生    时间: 2005-6-27 06:18
不知楼主怀疑哪个地方有问题?
从上传的两张片看好象没有发现异常。
作者: lxb    时间: 2005-7-4 08:15
谢谢向医生,本人以为椎前缘类圆形透光区存在“问题”,但现在想可能因投照关系,横突相重所致。[emb18]
作者: 阿袁    时间: 2005-7-10 08:35
[emb10][emb12]
作者: Asir93    时间: 2005-7-13 16:38
昨天上班刚碰到一例颈肋借助透视右恻和正常第一胸肋发育几乎一致
作者: 林建春    时间: 2005-7-16 03:59
应该是正常的
作者: jinguoji    时间: 2006-11-10 00:40
是正常的
作者: 碧水蓝天    时间: 2006-11-10 01:19
标题: 回复:x0220:颈椎 正常还是变异
以下是引用jinguoji在2006-11-9 16:40:00的发言:[br]是正常的

第7颈椎横突不长,谈何颈肋
作者: sunnydxx2000    时间: 2006-11-10 05:37
正常
作者: shibing    时间: 2012-9-3 07:17
正常
作者: lyming00    时间: 2012-9-13 08:19
正常




欢迎光临 医影在线 (http://bbs.radida.com/bbs/) Powered by Discuz! X3.2