










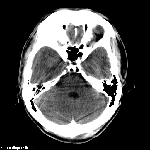
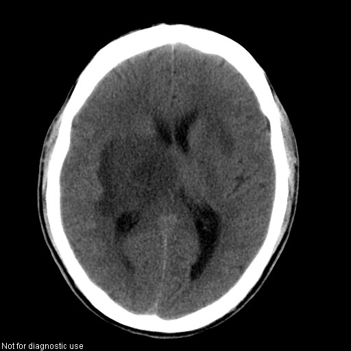
以下是引用hhcckk在2008-1-26 16:03:00的发言:[br]考虑病毒感染可能性大[br]1、病人发病时间短,1周,转移病灶时间长[br]2、楼主虽然没有告诉我们年龄,但从颅内情况来看,病人年纪不会很大,脑池,脑沟不是很明显,当然,可能有脑肿胀的原因,转移灶病人年纪一般较大[br]3、从病灶特点来看,转移多发生在灰白质交界区,多有指状水肿,占位效应明显,此病人呈对称性发布,发生在脑实质深部,与转移有所区别[br]4、病人经抗炎,止咳效果不好,可能是病毒感染,抗生素治疗效果不好[br]5、建议楼主1、增强 2、有呼吸系统的症状何不拍个胸片
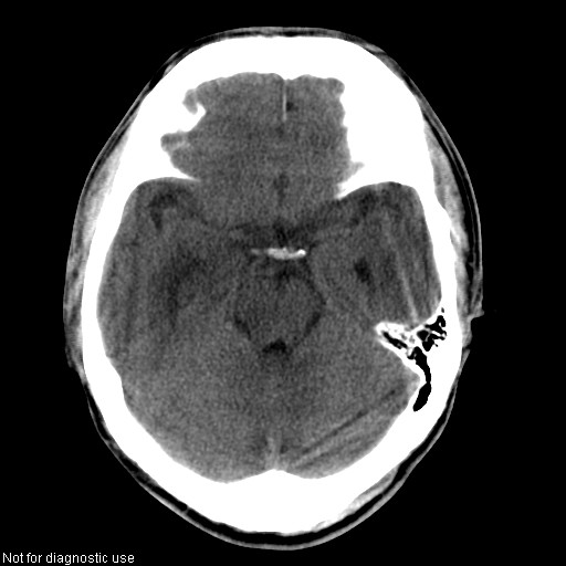
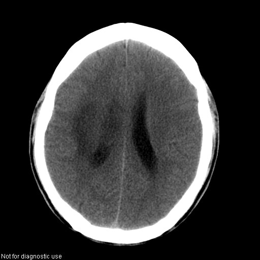
以下是引用hhcckk在2008-1-26 16:03:00的发言:[br]考虑病毒感染可能性大[br]1、病人发病时间短,1周,转移病灶时间长[br]2、楼主虽然没有告诉我们年龄,但从颅内情况来看,病人年纪不会很大,脑池,脑沟不是很明显,当然,可能有脑肿胀的原因,转移灶病人年纪一般较大[br]3、从病灶特点来看,转移多发生在灰白质交界区,多有指状水肿,占位效应明显,此病人呈对称性发布,发生在脑实质深部,与转移有所区别[br]4、病人经抗炎,止咳效果不好,可能是病毒感染,抗生素治疗效果不好[br]5、建议楼主1、增强 2、有呼吸系统的症状何不拍个胸片
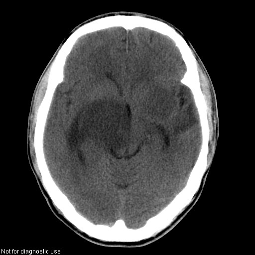
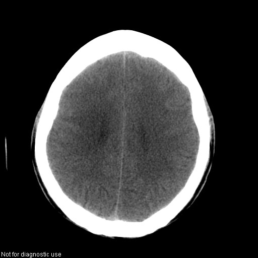
以下是引用hhcckk在2008-1-26 16:03:00的发言:[br]考虑病毒感染可能性大[br]1、病人发病时间短,1周,转移病灶时间长[br]2、楼主虽然没有告诉我们年龄,但从颅内情况来看,病人年纪不会很大,脑池,脑沟不是很明显,当然,可能有脑肿胀的原因,转移灶病人年纪一般较大[br]3、从病灶特点来看,转移多发生在灰白质交界区,多有指状水肿,占位效应明显,此病人呈对称性发布,发生在脑实质深部,与转移有所区别[br]4、病人经抗炎,止咳效果不好,可能是病毒感染,抗生素治疗效果不好[br]5、建议楼主1、增强 2、有呼吸系统的症状何不拍个胸片
| 欢迎光临 医影在线 (http://bbs.radida.com/bbs/) | Powered by Discuz! X3.2 |