医影在线

标题: CT11527:女56岁以右输尿管结石入院 [打印本页]

作者: qinwei260    时间: 2008-1-29 05:13
标题: CT11527:女56岁以右输尿管结石入院
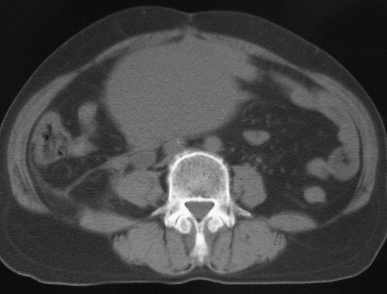
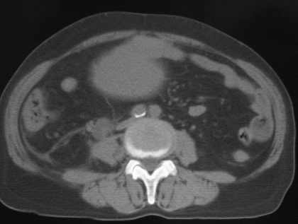
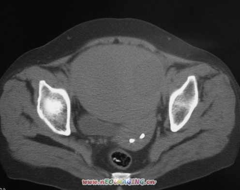
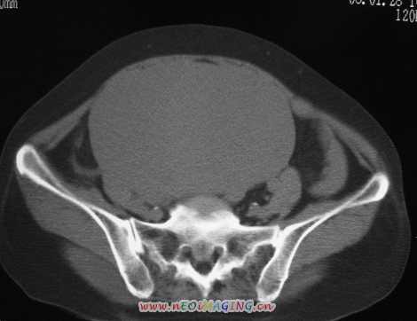
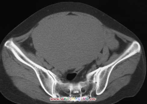
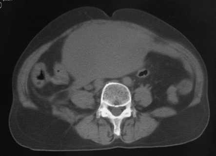
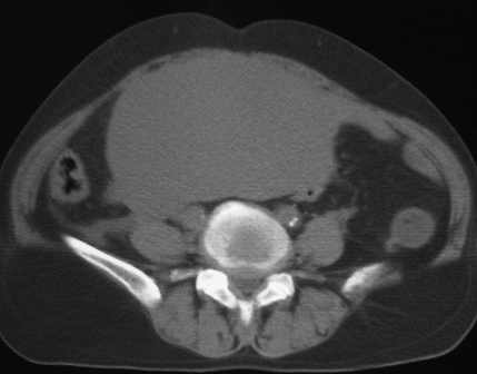
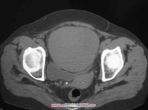
女56岁以右输尿管结石入院













[本贴已被 jiajie 于 2008-1-28 23:30:42 修改过]

作者: 光线    时间: 2008-1-29 06:40
囊腺瘤?
作者: suxunbo    时间: 2008-1-29 06:43
支持卵巢囊腺瘤
作者: arm1998    时间: 2008-1-29 06:52
病灶位于下腹部盆腔,从子宫与膀胱明显受压后移看,应该来源于盆腹腔的占位,病灶实性部分密度均匀,左侧可见低密度灶,建议增强扫描,考虑:间叶性肿瘤,或硬纤维瘤,输尿管下段结石伴上段输尿管扩张
作者: qc80012345    时间: 2008-1-29 08:06
支持卵巢囊腺瘤;输尿管结石。
作者: zjb    时间: 2008-1-29 13:47
标题: 回复:ct11527:女56岁以右输尿管结石入院
以下是引用qc80012345在2008-1-29 0:06:00的发言:[br]支持卵巢囊腺瘤;输尿管结石。

作者: 卜一    时间: 2008-1-29 13:53
支持卵巢囊腺瘤;输尿管结石。
作者: 游侠    时间: 2008-1-29 15:58
支持卵巢囊腺瘤;输尿管结石。
作者: HARRY    时间: 2008-1-29 16:59
支持卵巢囊腺瘤;输尿管结石。
作者: dyqct    时间: 2008-1-29 17:41
支持卵巢囊腺瘤;右侧输尿管第二狭窄处结石伴梗阻。
作者: jiangjing    时间: 2008-1-29 17:57
支持卵巢囊腺瘤
作者: zjzjr    时间: 2008-1-29 18:01
支持卵巢囊腺瘤;右侧输尿管第二狭窄处结石伴梗阻。
作者: 主力军    时间: 2008-1-29 18:06
右侧盆腔占位,考虑来源于卵巢,囊腺瘤可能性大。
右侧输尿管结石。
作者: muzi888    时间: 2008-1-29 18:43
支持卵巢囊腺瘤;输尿管结石。
作者: 随光逐影    时间: 2008-1-29 18:50
1)盆腔占位性病变,考虑来源于卵巢,囊腺瘤可能性大。2)右侧输尿管第二狭窄处结石伴梗阻。
作者: 灯芯草    时间: 2008-1-29 18:51
支持卵巢囊腺瘤;右侧输尿管第二狭窄处结石伴梗阻。
作者: yangyudong333    时间: 2008-1-29 19:08
支持卵巢囊腺瘤
作者: ydx_74    时间: 2008-1-29 19:38
支持卵巢囊腺瘤;输尿管结石。
作者: 前行    时间: 2008-1-29 20:15
增强ct或mr检查。
作者: xulianj    时间: 2008-1-29 20:52
支持卵巢囊腺瘤;输尿管结石。
作者: jinguoji    时间: 2008-1-29 21:29
支持卵巢囊腺瘤;右侧输尿管第二狭窄处结石伴梗阻。
作者: yuxianw    时间: 2008-1-29 22:49
支持!
作者: wy232326    时间: 2008-1-29 22:50
支持卵巢囊腺瘤;输尿管结石.建议增强.
作者: 拾荒者    时间: 2008-1-30 04:09
支持卵巢囊腺瘤;右侧输尿管第二狭窄处结石伴梗阻。
作者: wangdch2008    时间: 2008-1-30 05:19
右侧盆腔占位,考虑来源于卵巢,囊腺瘤可能性大。
右侧输尿管结石。
作者: 求知若渴    时间: 2008-1-30 05:20
支持卵巢囊腺瘤;输尿管结石
作者: qinwei260    时间: 2008-1-30 05:55
今天病人已经手术证实为右附件囊肿,右侧输尿管第二狭窄处结石伴梗阻!!!
作者: zyx168    时间: 2008-2-10 18:58
支持:卵巢囊腺瘤,右侧输尿管第二狭窄处结石伴梗阻。
作者: pujunzhi    时间: 2014-2-10 16:55
[病理诊断] CT11527:右附件囊肿,右侧输尿管结石。
谢谢楼主反馈病理结果!
作者: shibing    时间: 2014-2-10 17:58
右附件囊肿,右侧输尿管结石
作者: 景怡    时间: 2014-2-22 19:30
谢谢楼主反馈病理结果!
作者: 吕志胜    时间: 2014-2-23 07:43
起源于卵巢的卵泡膜纤维瘤,为良性肿瘤,本人遇到过2例。
作者: sdzyy    时间: 2014-2-27 16:01
谢谢楼主反馈病理结果!




欢迎光临 医影在线 (http://bbs.radida.com/bbs/) Powered by Discuz! X3.2