
























以下是引用wlq66556在2008-1-29 17:53:00的发言:[br][br]

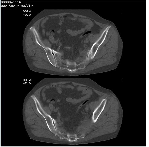
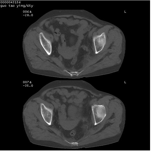
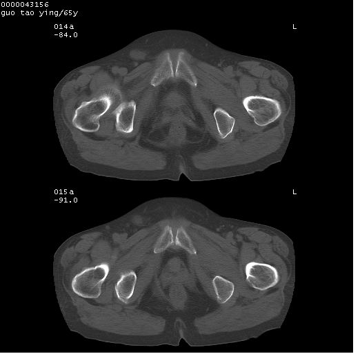
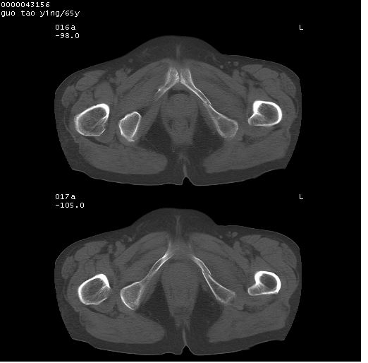
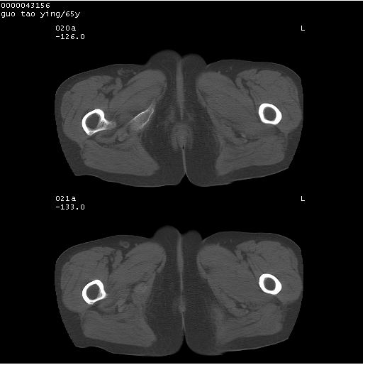
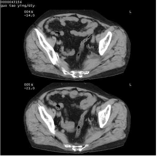
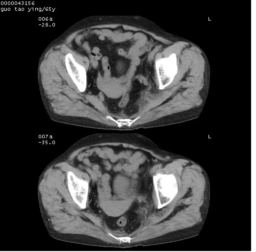
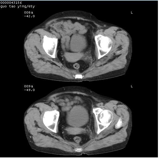
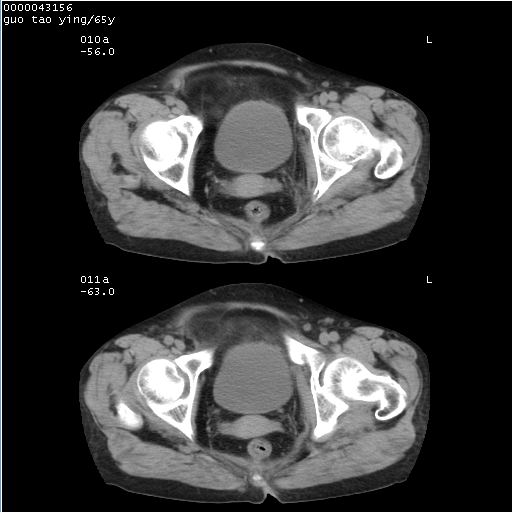
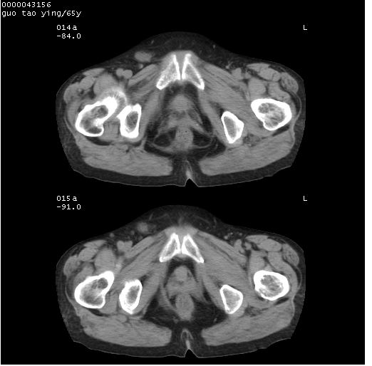
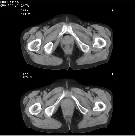
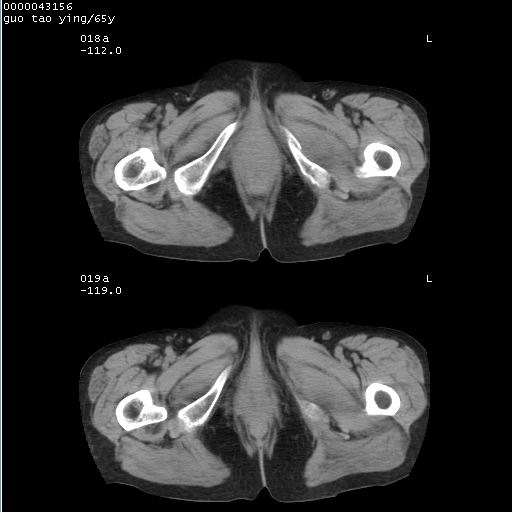
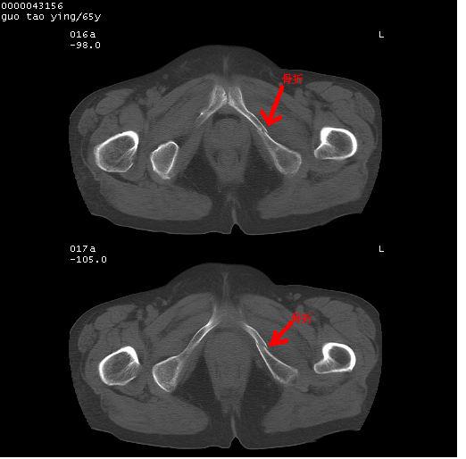
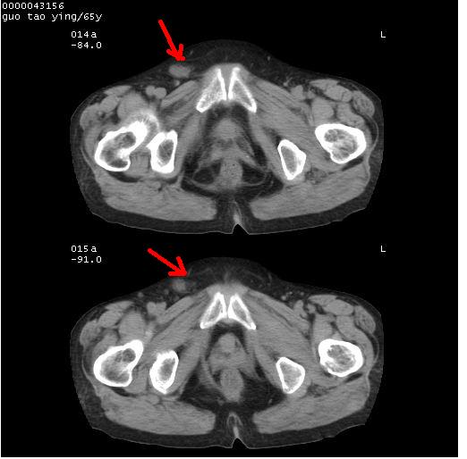
以下是引用黑白光影在2008-1-30 13:22:00的发言:[br]支持左耻骨骨折。[br]未见骶骨骨质明确破坏改变。[br]经楼主提示(勿局限于外伤)。考虑为右侧腹股沟直疝。[br][br][br][br]
[本贴已被 黑白光影 于 2008-1-30 13:32:05 修改过]
| 欢迎光临 医影在线 (http://bbs.radida.com/bbs/) | Powered by Discuz! X3.2 |