

















以下是引用zhangzhongshou在2008-1-29 19:34:00的发言:[br]1、腰椎退行性变。[br]2、硬膜囊内钙化,多考虑蛛网膜炎所致粘连钙化
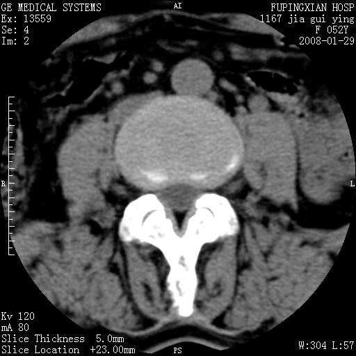
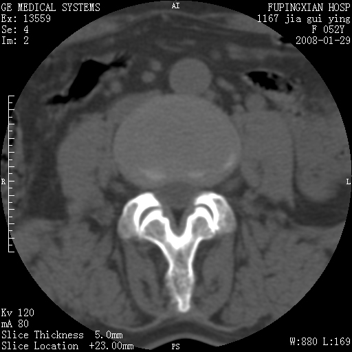
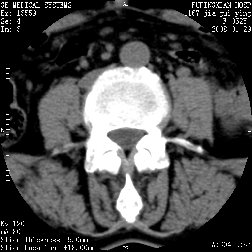
以下是引用dyqct在2008-1-29 21:49:00的发言:[br]考虑:1、腰4-5椎间盘突出(左椎间孔外侧型)。[br] 2、硬膜囊内钙化,多考虑蛛网膜炎所致粘连钙化,请询问病史病人以往做过碘油造影吗?
以下是引用dyqct在2008-1-29 21:49:00的发言:[br]考虑:1、腰4-5椎间盘突出(左椎间孔外侧型)。[br] 2、硬膜囊内钙化,多考虑蛛网膜炎所致粘连钙化,请询问病史病人以往做过碘油造影吗?
以下是引用liuyue在2008-1-30 4:32:00的发言:[br]1. 腰4-5椎间盘突出。[br]2. 硬膜囊内钙化,考虑a.蛛网膜炎所致粘连钙化;[br] b.硬膜囊内血管畸形.[br] c脊髓纵裂畸形.[br] 另:询问病史病人以往做过碘油造影吗?
| 欢迎光临 医影在线 (http://bbs.radida.com/bbs/) | Powered by Discuz! X3.2 |