医影在线
标题: CT11535:又是一例典型病例;作肺部检查时发现。请共享。 [打印本页]
作者: xulianj 时间: 2008-1-30 03:03
标题: CT11535:又是一例典型病例;作肺部检查时发现。请共享。
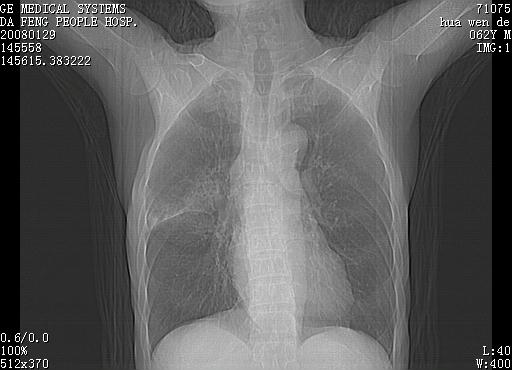
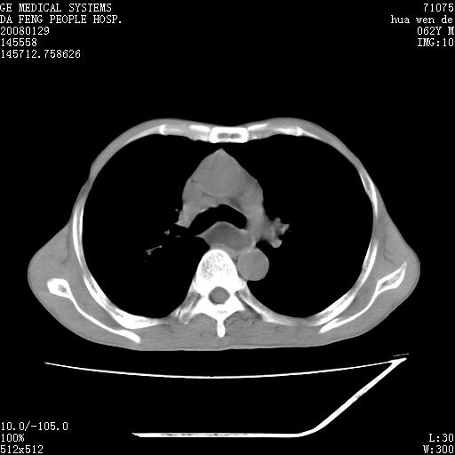
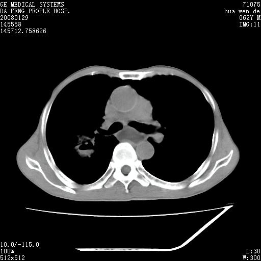
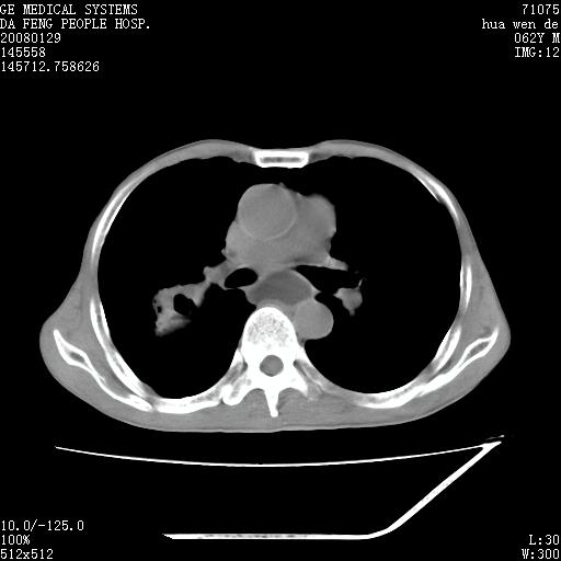
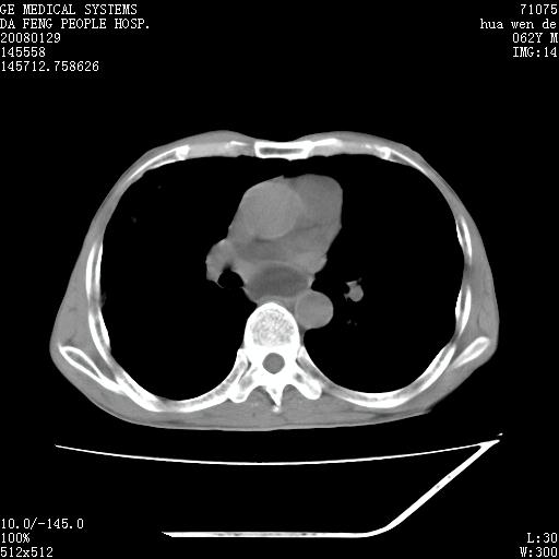
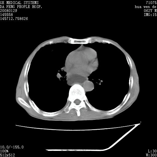
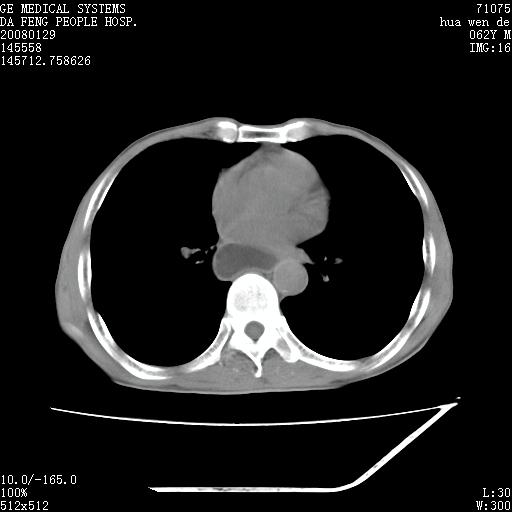
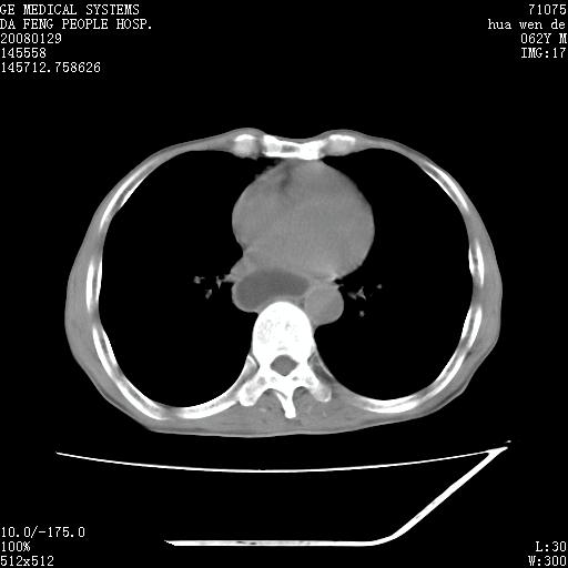
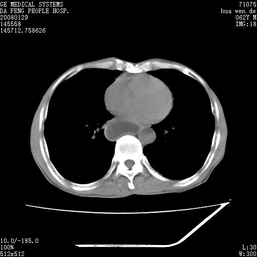
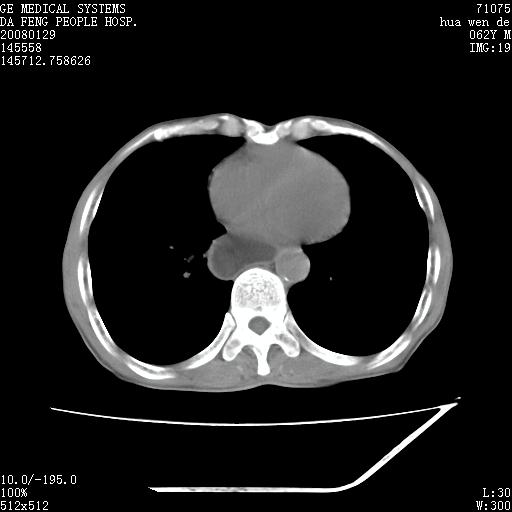
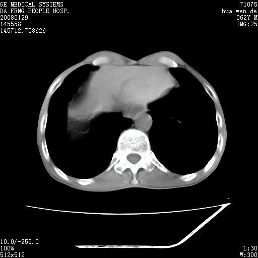
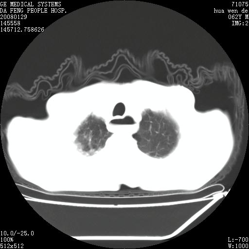
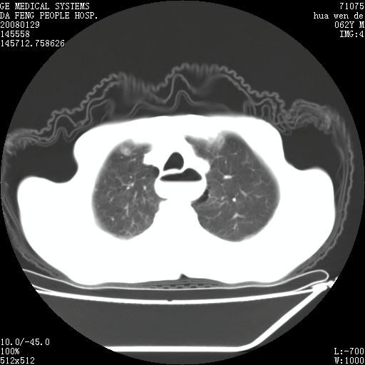
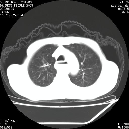
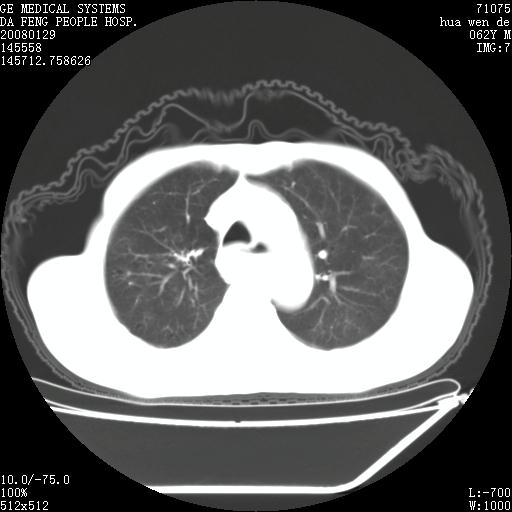
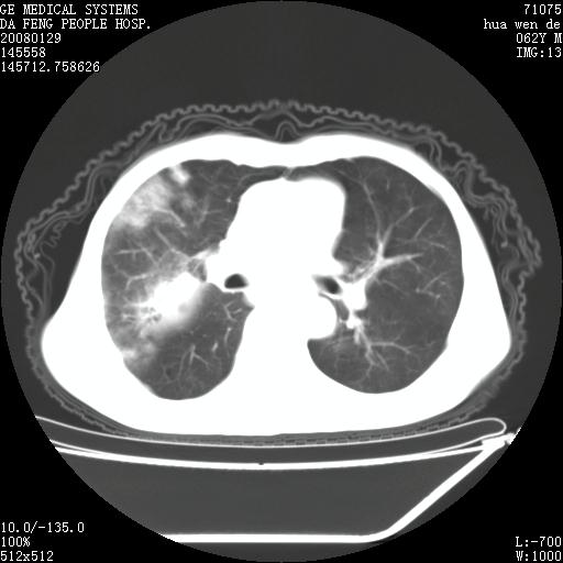
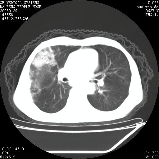
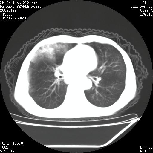
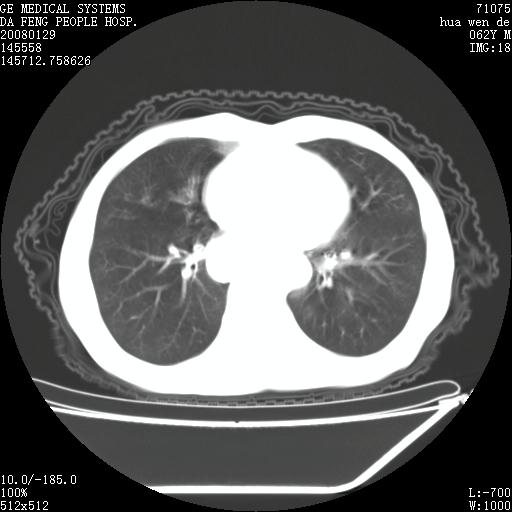
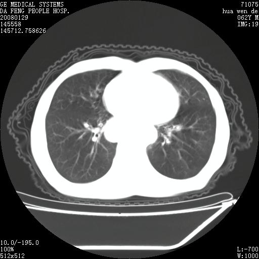
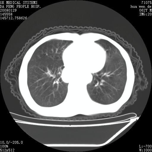
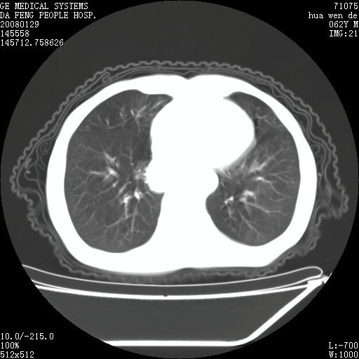
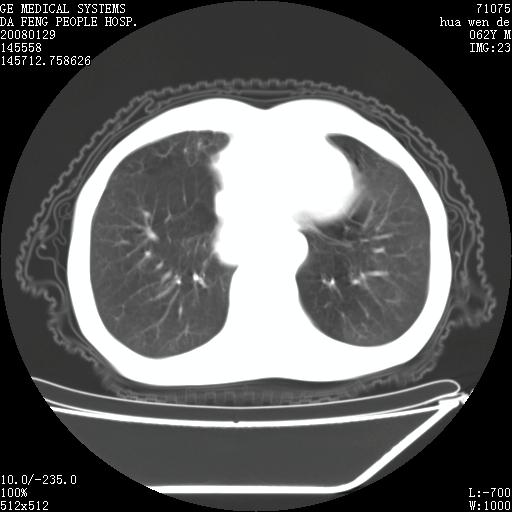
男性,67岁。作肺部检查时发现





















































[本贴已被 翁志蓬 于 2008-1-29 23:47:12 修改过]
作者: 朱亮 时间: 2008-1-30 03:10
右肺脓肿 胸腔胃
作者: ZHANGZHONGSHOU 时间: 2008-1-30 03:47
考虑1、右肺周围型肺癌可能性大。
2、贲门失迟缓症可能,建议钡餐检查。
3、不提供病史,诊断有难度。
作者: 516429ASDF 时间: 2008-1-30 03:49
标题: 回复
考虑:胸腔胃并支气管瘘(并发肺炎,肺脓肿形成)。
对于周围型癌,贲门失驰缓症不考虑。
理由:1、右上肺内病灶,空洞形成,有液平。
2、肺内多处炎症。
3、前段肺内炎症,支气管引流通畅,与肿块无关系。
[本贴已被 516429asdf 于 2008-1-29 20:00:42 修改过]
作者: HARRY 时间: 2008-1-30 04:20
请楼主提供临床资料,否则
可考虑:1、胸腔胃并支气管瘘(并发肺炎,肺脓肿形成)。
2、周围型癌,贲门失驰缓症。
两者都有可能。
作者: qc80012345 时间: 2008-1-30 04:30
胸腔胃并支气管瘘(并发肺炎,肺脓肿形成)
作者: 岚儿 时间: 2008-1-30 04:57
胸腔胃多伴有左侧胸膜术后改变 ,本例不明显
作者: zzzzhhhhaaaannn 时间: 2008-1-30 04:58
肺炎,肺脓肿形成,贲门失迟缓症可能,建议钡餐检查。
作者: 北方的狼 时间: 2008-1-30 05:00
考虑:胸腔胃并支气管瘘(并发吸入肺炎,肺脓肿形成)。
对于周围型癌,贲门失驰缓症不考虑。
理由:1、右上肺内病灶,空洞形成,有液平。
2、肺内多处炎症。
3、前段肺内炎症,支气管引流通畅,与肿块无关系。
作者: 我心飞翔 时间: 2008-1-30 05:21
肺炎合并肺脓肿
癌性空洞不除外
胸腔胃并支气管瘘
作者: dyqct 时间: 2008-1-30 05:55
标题: 回复:又是一例典型病例;作肺部检查时发现。请共享。
以下是引用zhangzhongshou在2008-1-29 19:47:00的发言:[br]考虑1、右肺周围型肺癌可能性大。[br] 2、贲门失迟缓症可能,建议钡餐检查。[br] 3、不提供病史,诊断有难度。
支持!!
作者: jinguoji 时间: 2008-1-30 06:27
标题: 回复:又是一例典型病例;作肺部检查时发现。请共享。
以下是引用harry在2008-1-29 20:20:00的发言:[br]请楼主提供临床资料,否则[br]可考虑:1、胸腔胃并支气管瘘(并发肺炎,肺脓肿形成)。[br] 2、周围型癌,贲门失驰缓症。[br]两者都有可能。[br]
作者: 石门之剑 时间: 2008-1-30 06:35
标题: 回复:又是一例典型病例;作肺部检查时发现。请共享。
以下是引用dyqct在2008-1-29 21:55:00的发言:[br][quote]以下是引用zhangzhongshou在2008-1-29 19:47:00的发言:[br]考虑1、右肺周围型肺癌可能性大。[br] 2、贲门失迟缓症可能,建议钡餐检查。[br] 3、不提供病史,诊断有难度。
[br]支持!![/quote]
作者: SCW007 时间: 2008-1-30 06:50
胸腔胃不支持,
因无病史,暂考虑:贲门失驰缓症并肺部化脓感染(吸入性)
作者: zyyzzy 时间: 2008-1-30 07:07
胸腔胃多伴有左侧胸膜术后改变~!!请提供病史!!
作者: 随光逐影 时间: 2008-1-30 07:31
标题: 回复:ct11534:又是一例典型病例;作肺部检查时发现。请共
以下是引用zhangzhongshou在2008-1-29 19:47:00的发言:[br]考虑1、右肺周围型肺癌可能性大。[br] 2、贲门失迟缓症可能,建议钡餐检查。[br] 3、不提供病史,诊断有难度。
支持。
作者: liuyue 时间: 2008-1-30 12:54
1.整个食管扩张,未见明显占位性病变,贲门区亦未见明显占位病变,考虑:贲门失驰缓症;
2.右上肺病变边缘可见毛刺,囊壁厚度不均匀,周围境界较清楚,未见炎性渗出性影,右上肺外带可见片状影,边缘不清,考虑:肺癌伴空洞形成、右上肺炎。
期待结果。
作者: 312nanyang 时间: 2008-1-30 16:17
15楼主分析有道理,胸腔胃除外,那么考虑贲门失驰缓症并肺部化脓感染(吸入性)可能。
肺内病灶位于右肺中叶,食道扩张后导致咽部功能受影响,吸入气管可能是存在的。
可疑之处在于:左肺未见吸入性病灶存在。另右肺癌(右肺中央型并阻塞性肺炎)不能除外
作者: wy232326 时间: 2008-1-30 17:16
可考虑:1、胸腔胃并支气管瘘(并发肺炎,肺脓肿形成)。
2、周围型癌,贲门失驰缓症。
两者都有可能。
支持!
期待结果
作者: 卜一 时间: 2008-1-30 18:21
以下是引用zhangzhongshou在2008-1-29 19:47:00的发言:
考虑1、右肺周围型肺癌可能性大。
2、贲门失迟缓症可能,建议钡餐检查。
3、不提供病史,诊断有难度。
支持!!!
作者: 前行 时间: 2008-1-30 20:39
贲门失驰缓症,并吸入性肺炎。肺脓肿形成。
作者: 云翔 时间: 2008-1-30 21:06
食管全程扩张,壁均匀不厚,喷门失弛缓症
右上肺空洞可见液平,临近肺野磨玻璃密度,考虑1.结核2.脓肿
作者: iispjdoctor 时间: 2008-1-30 21:43
可考虑:1、胸腔胃并支气管瘘(并发肺炎,肺脓肿形成)。
2、周围型癌,贲门失驰缓症。
两者都有可能。
支持!
期待结果
作者: yangyudong333 时间: 2008-1-30 21:46
考虑1、右肺周围型肺癌可能性大。
2、贲门失迟缓症可能,建议钡餐检查。
3、不提供病史,诊断有难度
作者: 徐飞 时间: 2008-1-30 21:48
贲门失驰缓症并肺部化脓感染(吸入性)
作者: zjzjr 时间: 2008-1-30 22:03
贲门失驰缓症.肺部感染伴脓肿形成.
作者: yy杨洋 时间: 2008-1-31 01:04
标题: 回复:ct11535:又是一例典型病例;作肺部检查时发现。请共
以下是引用zjzjr在2008-1-30 14:03:00的发言:[br]贲门失驰缓症.肺部感染伴脓肿形成.[br] [br]
作者: wansheng 时间: 2008-1-31 02:19
贲门失驰缓症.肺部感染伴脓肿形成
作者: 拾荒者 时间: 2008-1-31 04:30
贲门失驰缓症.肺部感染伴脓肿形成。支持!是否吸入性要结合临床诊断,我们影像是看不出来的。但胸腔胃能排除(1.没有手术史支持,2.双侧胸廓对称,胸壁、肋骨及胸膜规整,3,食管壁明显扩张内壁光滑,胸腔胃黏膜皱襞多较厚)。
作者: zsl6918 时间: 2008-1-31 05:15
标题: 回复:ct11535:又是一例典型病例;作肺部检查时发现。请共
贲门失驰缓症.(硬皮病?)肺部感染考虑结核
作者: 450344989 时间: 2008-1-31 05:38
1.胸腔胃.
2.右肺炎变伴脓肿形成.
作者: luanhai 时间: 2008-1-31 06:19
he he
大家都要病史呢
作者: 游侠 时间: 2008-1-31 18:37
食管全程扩张,壁均匀不厚,喷门失弛缓症
右上肺空洞可见液平,临近肺野磨玻璃密度,考虑1.结核2.脓肿 支持!
作者: iispjdoctor 时间: 2008-2-1 08:10
标题: 回复:ct11535:又是一例典型病例;作肺部检查时发现。请共
以下是引用游侠在2008-1-31 10:37:00的发言:[br]食管全程扩张,壁均匀不厚,喷门失弛缓症[br]右上肺空洞可见液平,临近肺野磨玻璃密度,考虑1.结核2.脓肿 支持!
作者: zyx168 时间: 2008-2-10 19:31
考虑1、右肺周围型肺癌可能性大。
2、贲门失迟缓症可能,建议钡餐检查。
作者: dr.yang 时间: 2011-11-19 15:18
贲门失驰缓症.肺部感染伴脓肿形成。支持!是否吸入性要结合临床诊断,我们影像是看不出来的。但胸腔胃能排除(1.没有手术史支持,2.双侧胸廓对称,胸壁、肋骨及胸膜规整,3,食管壁明显扩张内壁光滑,胸腔胃黏膜皱襞多较厚)。 --学习了
作者: zxczxc 时间: 2011-11-19 17:05
胸腔胃,右肺脓肿。
作者: zxczxc 时间: 2011-11-19 17:16
没有食管术后病史,贲门失弛缓症。
| 欢迎光临 医影在线 (http://bbs.radida.com/bbs/) |
Powered by Discuz! X3.2 |