医影在线
标题: X0221:肘关节外伤,新手必看。 [打印本页]
作者: wanyych 时间: 2005-4-1 07:11
标题: X0221:肘关节外伤,新手必看。
看看有事吗?
[本贴已被 翁志蓬 于 2005-4-1 0:05:45 修改过]
作者: wanyych 时间: 2005-4-1 07:12
标题: 回复:肘关节外伤,新手必看。

[本贴已被 翁志蓬 于 2005-4-1 0:05:30 修改过]
作者: jiangjing 时间: 2005-4-1 07:36
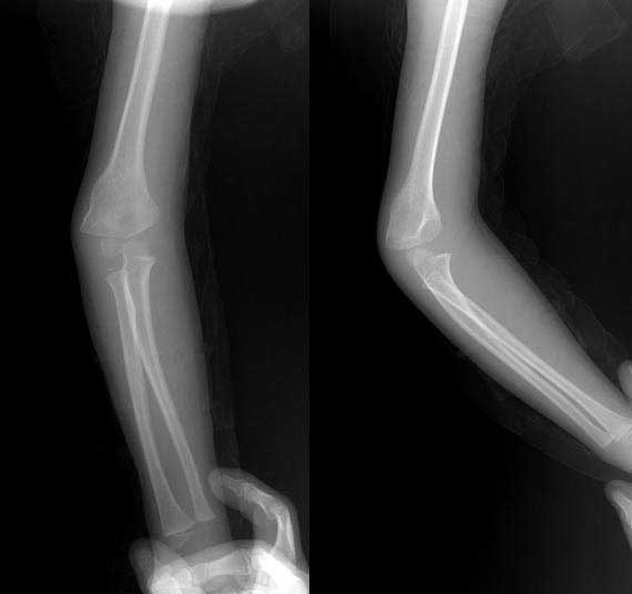
肱骨青枝骨折累及干骺端,干骺端形态不规则。
作者: honghua 时间: 2005-4-1 15:17
[emb6]
作者: 寻芳者 时间: 2005-4-1 20:53
肱骨髁上青枝骨折!!
作者: lg720821 时间: 2005-4-2 00:53
肱骨髁上骨折,侧位不标准.
[emb6]
作者: ctm 时间: 2005-4-2 02:40
髁上外侧骨皮质彭出,骨皮质连续,肘关节内翻,软组织未见肿胀。内髁小。
印象:陈旧性髁上骨折。
作者: hejie 时间: 2005-4-2 04:59
髁上外侧骨皮质彭出,骨皮质连续,肘关节内翻,软组织未见肿胀。内髁小。
印象:陈旧性髁上骨折。[emb6][emb6]
作者: xmcyyy 时间: 2005-4-2 07:42
[emb6][emb6] 8楼
作者: 建华 时间: 2005-4-3 02:54
[emb6]8楼
作者: 潘建华 时间: 2005-4-3 03:40
青枝fr
作者: 黄恩辉 时间: 2005-4-3 06:22
[emb6]
作者: teachersun 时间: 2005-4-3 16:31
应该是青枝骨折
作者: yatter 时间: 2005-4-4 00:36
[emb6]5楼!
作者: weixuan 时间: 2005-4-4 01:05
[emb6]
作者: huhong1111111 时间: 2005-4-4 21:49
标题: 回复:x221:肘关节外伤,新手必看。
以下是引用ctm在2005-4-1 18:40:46的发言:[br]髁上外侧骨皮质彭出,骨皮质连续,肘关节内翻,软组织未见肿胀。内髁小。[br]印象:陈旧性髁上骨折。
作者: 阿敏 时间: 2005-4-7 07:43
肱骨青枝骨折
作者: slc0002slc 时间: 2005-4-7 18:05
肱骨髁上青枝骨折
作者: 于老爷子 时间: 2005-4-8 00:46
[emb6]
作者: thj 时间: 2005-4-8 05:39
[emb6][emb6]
作者: jiexiong521 时间: 2005-4-9 03:36
为什么会有膨胀性改变呢?
作者: zhuxiangbin 时间: 2005-4-9 04:26
[emb6]8楼
作者: sunnydxx2000 时间: 2005-4-12 06:55
肱骨髁上上青枝骨折 很明显啊 [emb25]
作者: ximen212 时间: 2005-4-15 02:55
肱骨外上髁轻支骨折
作者: wang20017 时间: 2005-4-15 18:10
[emb6][emb6]
作者: zhongmu 时间: 2005-4-16 00:51
半脱位
作者: 向医生 时间: 2005-6-27 06:27
应该是肱骨髁上陈旧性骨折。
如果是新鲜骨折,这么明显的髁上骨折其邻近的软组织一定肿胀的特别厉害,本例骨折处后外侧的软组织根本就没有肿胀。故不支持新鲜骨折。
作者: guzhongliangddd 时间: 2005-6-30 01:35
我同意向医生的说法。
作者: dgma 时间: 2005-6-30 03:27
[emb6]3楼
作者: 悬壶济世 时间: 2005-7-1 02:34
[emb6]
作者: mhdsj 时间: 2006-2-15 05:17
标题: 回复:x0221:肘关节外伤,新手必看。
以下是引用slc0002slc在2005-4-7 10:05:00的发言:[br]肱骨髁上青枝骨折
作者: 实习医生 时间: 2006-3-18 13:04
肱骨青枝骨折累及干骺端
作者: 刘静 时间: 2006-5-2 20:39
我觉得 肱骨小头中心未和桡骨纵轴再一条直线上
作者: 学医者 时间: 2006-5-9 03:38
有青枝骨折
作者: liuyisheng 时间: 2006-8-16 21:14
支持
作者: 岩光蛋 时间: 2006-8-18 07:33
请给出临床病史,老兄
作者: wansheng 时间: 2006-8-22 05:41
标题: 回复:x0221:肘关节外伤,新手必看。
以下是引用向医生在2005-6-26 22:27:00的发言:[br]应该是肱骨髁上陈旧性骨折。[br]如果是新鲜骨折,这么明显的髁上骨折其邻近的软组织一定肿胀的特别厉害,本例骨折处后外侧的软组织根本就没有肿胀。故不支持新鲜骨折。
作者: lolo84 时间: 2006-8-22 06:46
没有专家出来讲啊 ~!
作者: chrch 时间: 2006-8-24 04:42
摄片位置一定要标准.
作者: njdzq2004 时间: 2006-8-27 01:38
支持
作者: jinguoji 时间: 2006-9-1 18:07
肱骨髁上骨折,侧位不标准. 摄片位置一定要标准.
作者: shiqingfa 时间: 2006-9-3 05:19
肱骨髁上青枝骨折
作者: zhangshanwen 时间: 2006-9-3 21:01
支持上面的
作者: 寒叶蛰夫 时间: 2006-9-17 21:32
肱骨髁上陈旧性骨折.
作者: 忧郁王子 时间: 2006-9-18 01:02
支持
作者: shiqingfa 时间: 2006-10-9 02:53
肱骨髁上陈旧性骨折
作者: chuandongliuhua 时间: 2006-10-9 04:27
支持8楼.
作者: wangzhongliang 时间: 2006-10-9 23:58
肱骨髁上青枝骨折。
作者: crp111 时间: 2006-10-12 18:13
肱骨髁上陈旧性骨折
作者: 曾感屏 时间: 2006-10-12 19:29
肱骨髁上青枝骨折。
作者: marco 时间: 2006-11-2 07:44
肱骨髁上青枝骨折
作者: zhw974247 时间: 2006-11-2 21:35
标题: 回复:x0221:肘关节外伤,新手必看。
以下是引用hejie在2005-4-1 20:59:00的发言:[br]髁上外侧骨皮质彭出,骨皮质连续,肘关节内翻,软组织未见肿胀。内髁小。[br]印象:陈旧性髁上骨折。[emb6][emb6]
作者: 忧郁王子 时间: 2006-11-3 00:12
支持
作者: shibing 时间: 2012-8-29 10:51
肱骨髁上青枝骨折!!
作者: 李仕雄 时间: 2012-8-29 22:07
不支持青枝骨质,个人认为更像脱位,(侧位是否体位问题)
作者: 李仕雄 时间: 2012-8-29 22:11
肱骨远端发育异常?脱位?请楼主追踪观察分享结果啊
作者: zqzwq 时间: 2012-8-30 10:09
支持肱骨髁上陈旧性骨折
作者: lyming00 时间: 2012-9-27 13:44
髁上外侧骨皮质彭出,骨皮质连续,肘关节内翻,软组织未见肿胀。内髁小。
印象:陈旧性髁上骨折。
作者: mujianbao 时间: 2012-9-27 19:04
肱骨髁上青枝骨折
| 欢迎光临 医影在线 (http://bbs.radida.com/bbs/) |
Powered by Discuz! X3.2 |