医影在线

标题: CT11650:左髋病变,请会诊. [打印本页]

作者: qiuleiyu    时间: 2008-2-11 17:21
标题: CT11650:左髋病变,请会诊.
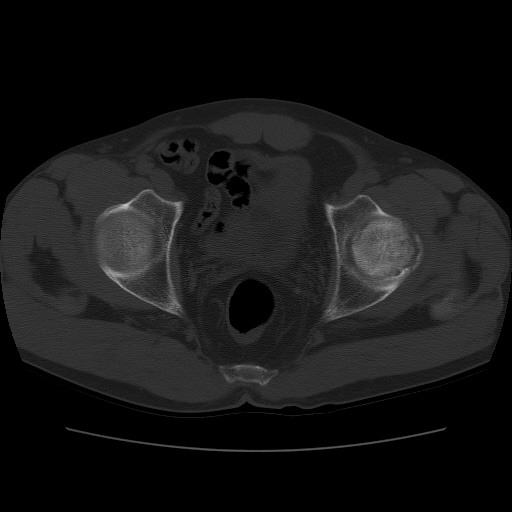
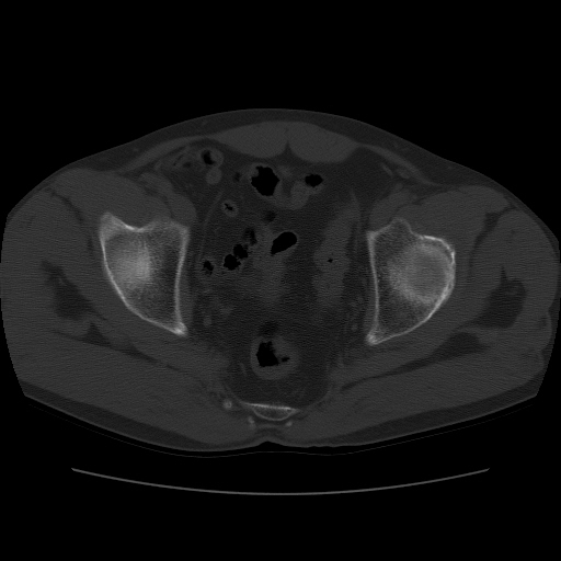
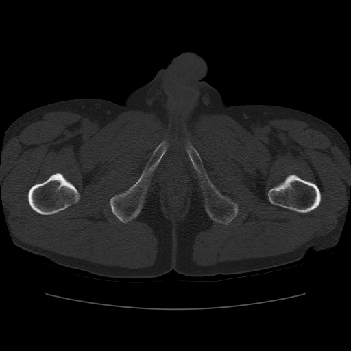
左髋疼痛不适近半年,局部无红肿热.无明确外伤病史.黄酒每天二餐.

















[本贴已被 jiajie 于 2008-2-11 10:29:27 修改过]

作者: liaizhi    时间: 2008-2-11 17:36
考虑左侧股骨头缺血性坏死.(常期饮酒引起代谢障碍?)
作者: 宇宙CT    时间: 2008-2-11 18:00
考虑左侧股骨头缺血性坏死.(常期饮酒引起代谢障碍?)
作者: 象水一样    时间: 2008-2-11 18:40
左侧股骨头缺血性坏死
作者: luoyanmin    时间: 2008-2-11 19:07
标题: 回复:ct11650:左髋病变,请会诊.
以下是引用宇宙ct在2008-2-11 10:00:00的发言:[br]考虑左侧股骨头缺血性坏死.(常期饮酒引起代谢障碍?)

支持
作者: zjzjr    时间: 2008-2-11 19:09
左侧股骨头缺血性坏死
作者: HARRY    时间: 2008-2-11 19:49
考虑左侧股骨头缺血性坏死.(常期饮酒引起代谢障碍?)
作者: liangshusheng    时间: 2008-2-11 20:35
考虑左侧股骨头缺血性坏死,长期饮酒引起
作者: peijunlong    时间: 2008-2-11 21:06
还是股骨头缺血坏死
作者: yangyudong333    时间: 2008-2-11 21:40
无菌坏死
作者: 卜一    时间: 2008-2-12 01:36
左侧股骨头缺血性坏死!
作者: liuyue    时间: 2008-2-12 02:32
左侧股骨头缺血性坏死
作者: 还珠格格    时间: 2008-2-12 03:35
支持 左侧股骨头缺血性坏死。
作者: xulianj    时间: 2008-2-12 04:09
左侧股骨头缺血性坏死
作者: 拾荒者    时间: 2008-2-12 04:40
支持: 左侧股骨头缺血性坏死。
作者: lijuanln    时间: 2008-2-12 06:58
缺血坏死
作者: qc80012345    时间: 2008-2-12 08:41
左侧股骨头缺血性坏死;很典型。
作者: dyqct    时间: 2008-2-12 16:43
左侧股骨头缺血性坏死,支持!图像有些乱。
作者: wy232326    时间: 2008-2-12 18:11
左侧股骨头缺血性坏死!
作者: zyx168    时间: 2008-2-29 20:57
左侧股骨头缺血性坏死
作者: 黑白光影    时间: 2008-2-29 21:29
“局部无红肿热.无明确外伤病史.黄酒每天二餐”。考虑左侧股骨头缺血性坏死。
作者: lxq2000    时间: 2008-2-29 21:43
左侧股骨头缺血性坏死。
作者: jinguoji    时间: 2008-3-15 17:36
左侧股骨头缺血性坏死。




欢迎光临 医影在线 (http://bbs.radida.com/bbs/) Powered by Discuz! X3.2