医影在线

标题: CT11660:男,16岁,现腹痛剧烈,现发烧、头痛、恶心呕吐 [打印本页]

作者: 水晶之恋    时间: 2008-2-12 06:34
标题: CT11660:男,16岁,现腹痛剧烈,现发烧、头痛、恶心呕吐
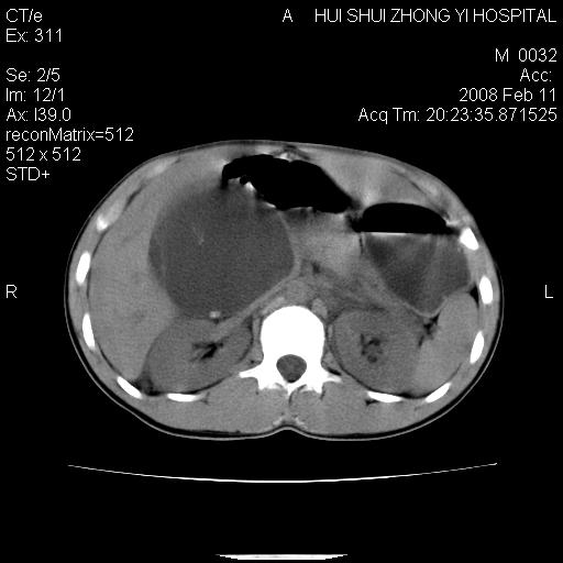
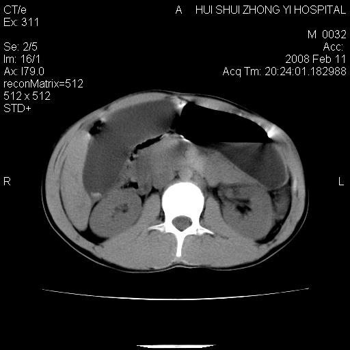
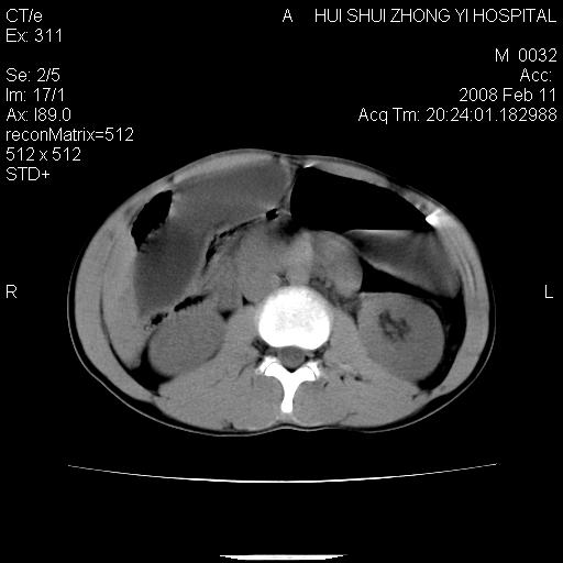
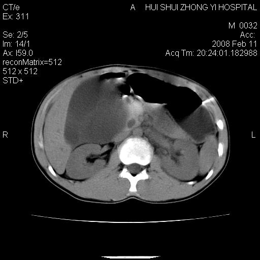
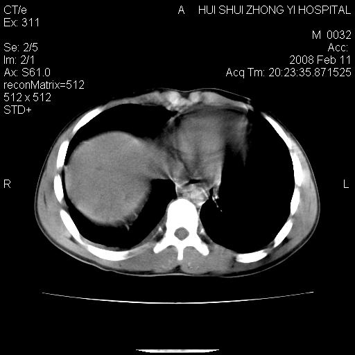
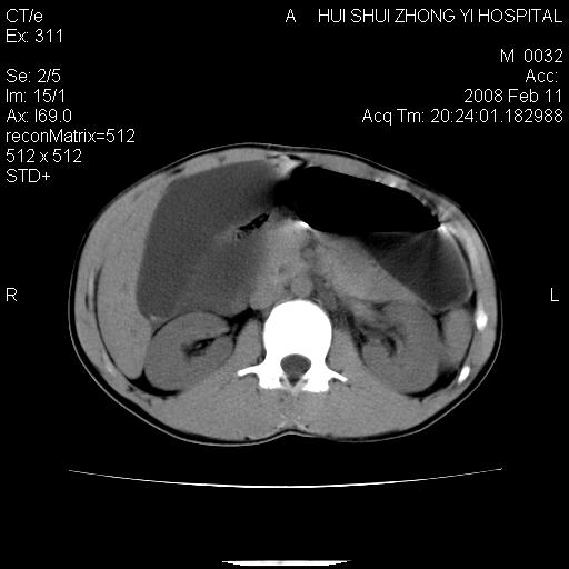
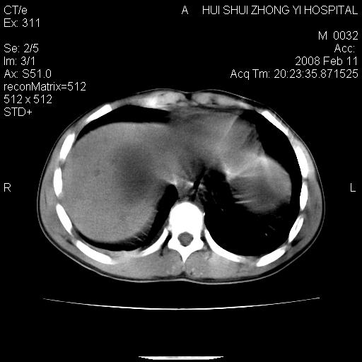
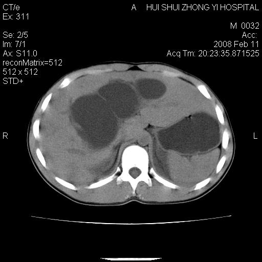
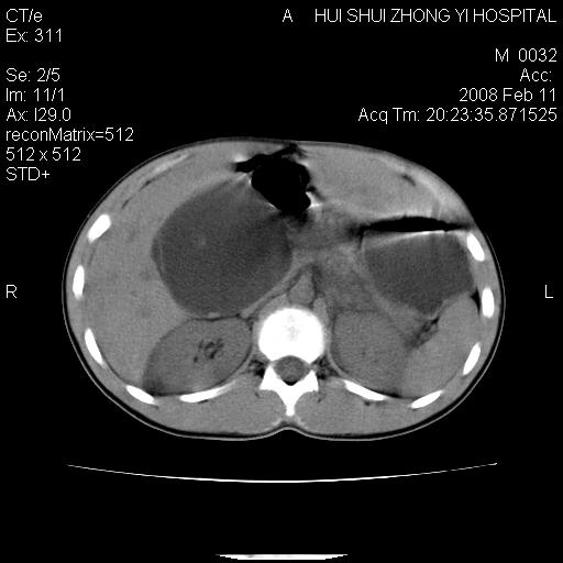
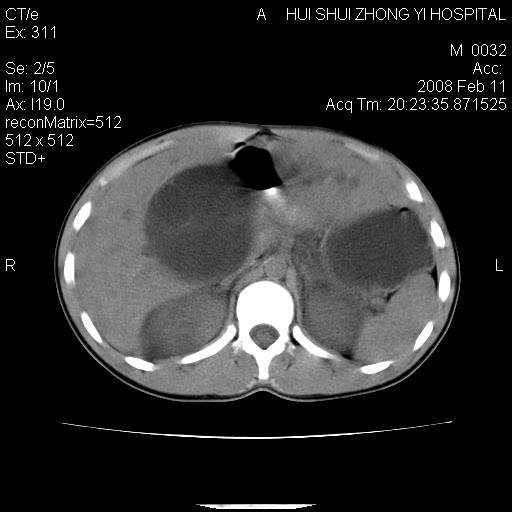
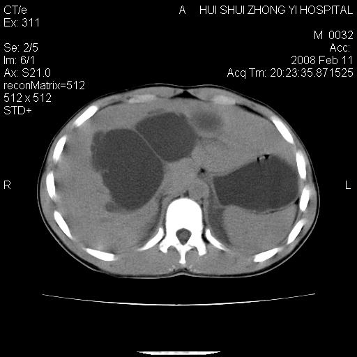
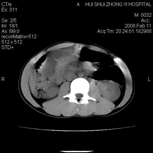
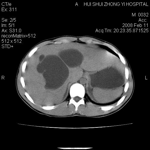
8年前曾在贵洲省人民医院b超诊断为肝内胆管结石。现腹痛剧烈,现发烧、头痛、恶心呕吐县医院b超示胆囊肿大大小159*46mm,囊内见6*5mm强回声光团,胆各总管内径56mm。提示:胆囊结石、急性胆囊炎、胆总管重度扩张。























[本贴已被 jiajie 于 2008-2-11 23:28:26 修改过]

作者: lijuanln    时间: 2008-2-12 06:42
胆囊结石.急性胆囊炎.重度胆管扩张.右侧胸腔少量积液,建议ct增强
作者: qc80012345    时间: 2008-2-12 08:53
增强看看吧,太年轻了。
作者: gaoshengjiang    时间: 2008-2-12 15:35
考虑先天性胆管囊肿;胆囊增大并结石。右侧胸腔少量积液,建议ct增强。
作者: zjzjr    时间: 2008-2-12 16:38
考虑先天性胆管囊肿;胆囊增大并结石。右侧胸腔少量积液,建议ct增强。
作者: dyqct    时间: 2008-2-12 17:06
标题: 回复:ct11660:男,16岁,现腹痛剧烈,现发烧、头痛、恶心呕吐
以下是引用zjzjr在2008-2-12 8:38:00的发言:[br]考虑先天性胆管囊肿;胆囊增大并结石。右侧胸腔少量积液,建议ct增强。

支持!
作者: 卜一    时间: 2008-2-12 17:33
以下是引用zjzjr在2008-2-12 8:38:00的发言:
考虑先天性胆管囊肿;胆囊增大并结石。右侧胸腔少量积液,建议ct增强。


支持!!!
作者: liuqiang    时间: 2008-2-12 18:32
以下是引用zjzjr在2008-2-12 8:38:00的发言:
考虑先天性胆管囊肿;胆囊增大并结石。右侧胸腔少量积液,建议ct增强。
作者: qiushi    时间: 2008-2-12 18:46
考虑先天性胆管囊肿;胆囊增大并结石。右侧胸腔少量积液,建议ct增强。
作者: zzyy    时间: 2008-2-12 18:48
caroli囊肿并囊内结石。胆囊增大并胆结石。典型!
作者: liangshusheng    时间: 2008-2-12 20:17
囊肿,非扩张
作者: 随光逐影    时间: 2008-2-12 20:30
先天性胆管囊肿,胆囊结石、胆囊增大,右侧少量胸腔积液。
作者: 南沙    时间: 2008-2-12 20:31
考虑先天性胆管囊肿;胆囊增大并结石。右侧胸腔少量积液,建议ct增强
作者: zsl6918    时间: 2008-2-12 20:38
标题: 回复:ct11660:男,16岁,现腹痛剧烈,现发烧、头痛、恶心呕吐
以下是引用随光逐影在2008-2-12 12:30:00的发言:[br]先天性胆管囊肿,胆囊结石、胆囊增大,右侧少量胸腔积液。

作者: 前行    时间: 2008-2-12 21:39
mrcp检查
作者: LIAOQIANG    时间: 2008-2-12 22:44
支持:考虑先天性胆管囊肿;胆囊增大并结石。右侧胸腔少量积液。
作者: LLXXLL    时间: 2008-2-12 23:53
考虑先天性胆管囊肿;胆囊增大并结石。右侧胸腔少量积液,建议ct增强。
作者: zjb    时间: 2008-2-12 23:54
先天性胆管囊肿,胆囊结石
作者: xulianj    时间: 2008-2-13 03:18
考虑先天性胆管囊肿;胆囊增大并结石。右侧胸腔少量积液,建议ct增强。

支持
作者: 拾荒者    时间: 2008-2-13 06:16
支持:考虑先天性胆管囊肿;胆囊增大并结石。右侧胸腔少量积液。
作者: 黑白光影    时间: 2008-2-13 06:33
先天性胆管囊肿;胆囊增大并结石。右侧胸腔少量积液,建议ct增强。
作者: zyx168    时间: 2008-2-29 22:18
考虑先天性胆管囊肿;胆囊增大并结石。右侧胸腔少量积液,建议ct增强。
作者: jinguoji    时间: 2008-3-20 18:24
考虑先天性胆管囊肿;胆囊增大并结石。右侧胸腔少量积液,建议ct增强。




欢迎光临 医影在线 (http://bbs.radida.com/bbs/) Powered by Discuz! X3.2