









以下是引用liuqiang在2008-2-12 10:28:00的发言:[br]怎么了?所见图像正常,你的图像传的不够吧?有什么疑问吗?
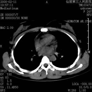
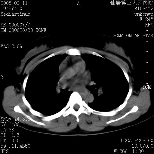
以下是引用zjzjr在2008-2-12 14:32:00的发言:[br]胸腺大点,是不是胸腺瘤或胸腺增生
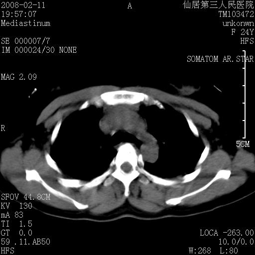
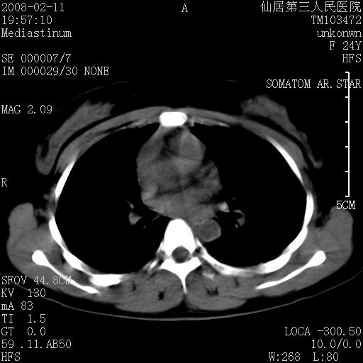
以下是引用zjzjr在2008-2-12 14:32:00的发言:[br]胸腺大点,是不是胸腺瘤或胸腺增生
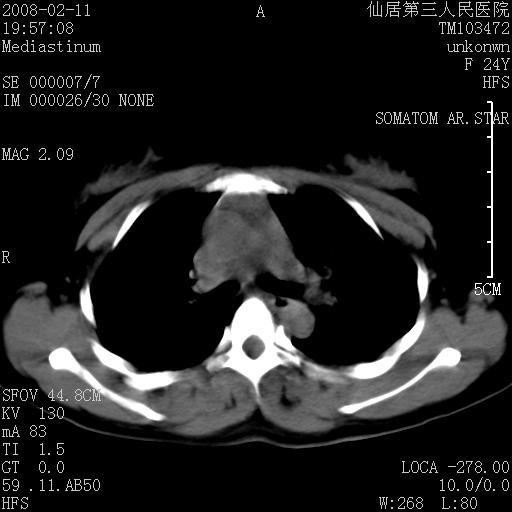
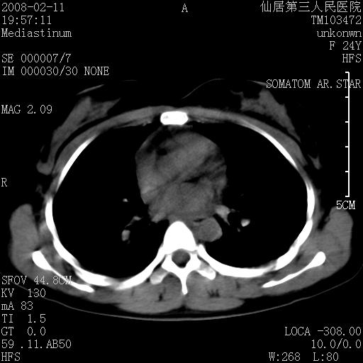
以下是引用zjzjr在2008-2-12 14:32:00的发言:[br]胸腺大点,是不是胸腺瘤或胸腺增生
| 欢迎光临 医影在线 (http://bbs.radida.com/bbs/) | Powered by Discuz! X3.2 |