



















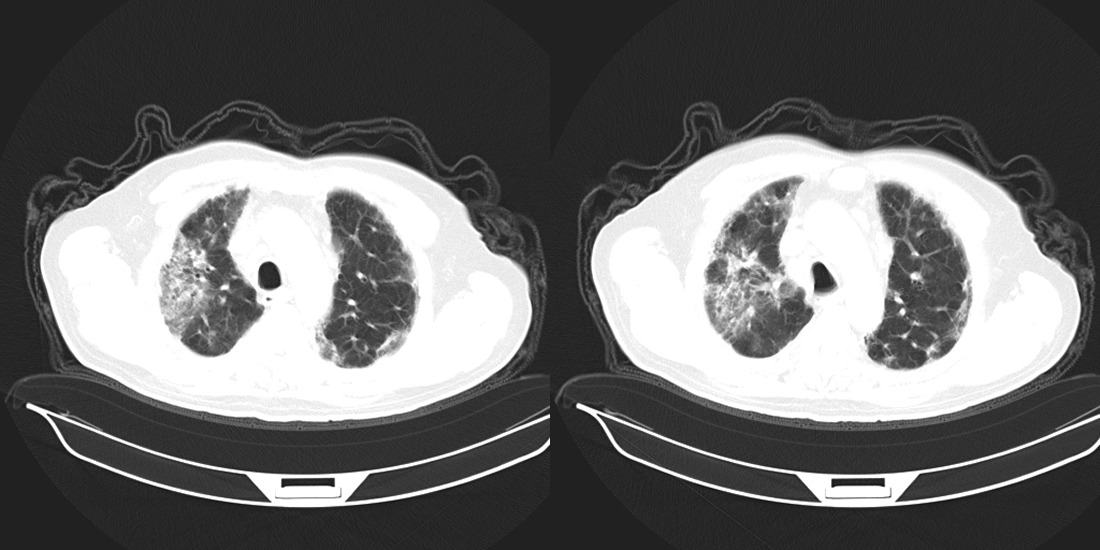
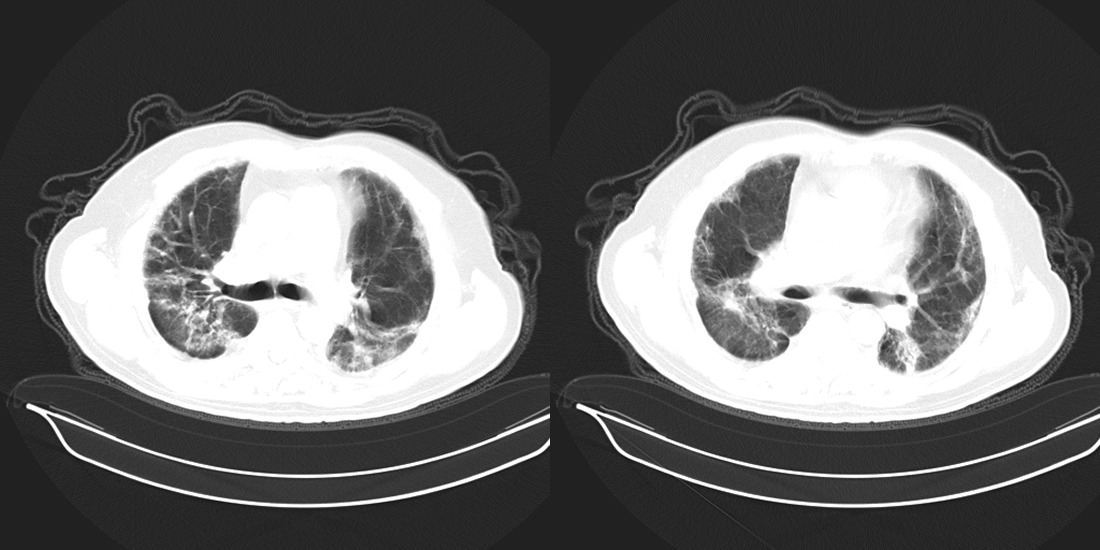
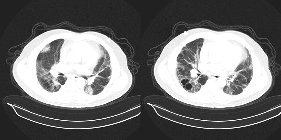
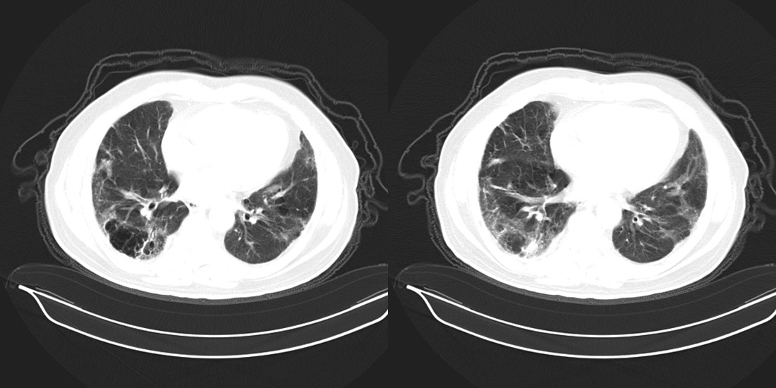
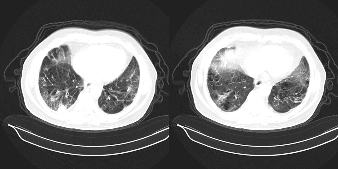
以下是引用zsl6918在2008-2-14 12:15:00的发言:[br]慢支并感染,肺气肿,肺间质纤维化,肺动脉高压。
以下是引用liuyue在2008-2-14 17:25:00的发言:[br]慢支并感染,肺气肿,肺间质纤维化,肺动脉高压 .肺大泡.[br]
以下是引用随光逐影在2008-2-15 11:10:00的发言:[br]1)慢性支气管炎并肺部感染。2)肺间质纤维化。3)肺气肿(多发性肺大泡形成)。4)肺动脉高压。
| 欢迎光临 医影在线 (http://bbs.radida.com/bbs/) | Powered by Discuz! X3.2 |