

























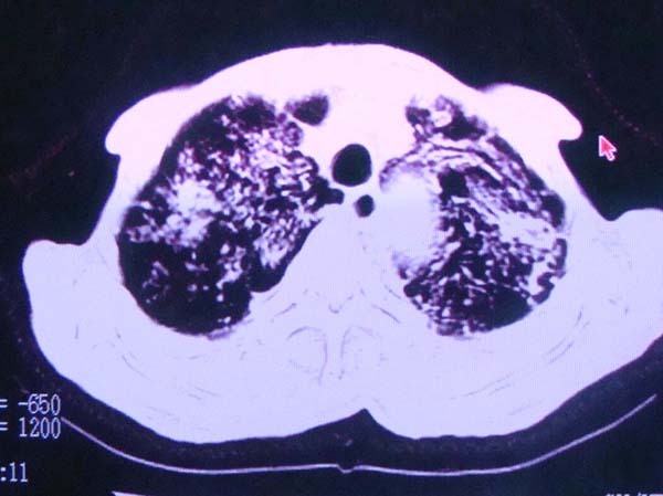
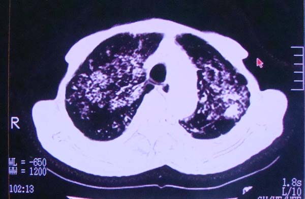
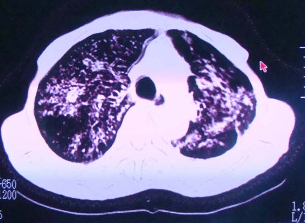
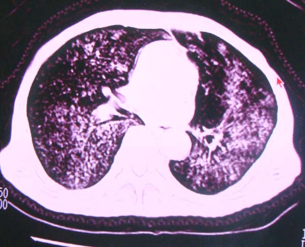
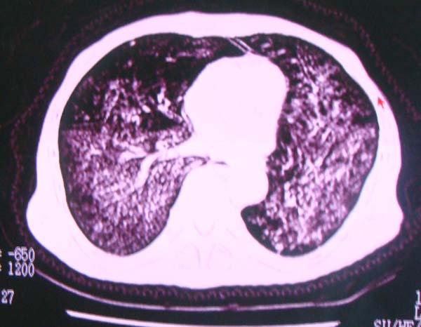
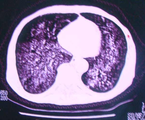
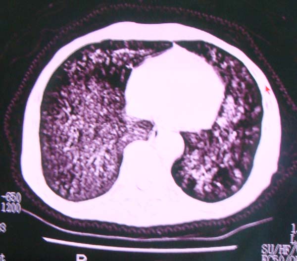
以下是引用zhangzhongshou在2008-2-15 22:25:00的发言:[br]片子照得不清,基本考虑1、细支气管肺泡癌2、亚急性血行播散型肺结核。请结合临床。片子细节显示不清,无法提供进一步意见。
以下是引用杀毒软件在2008-2-15 22:34:00的发言:[br]小叶中心性肺气肿。两肺弥漫性病变,肺泡微石病,过敏性肺炎,尘肺2期,特发性肺纤维化都有可能。[br]不象肺泡癌。
| 欢迎光临 医影在线 (http://bbs.radida.com/bbs/) | Powered by Discuz! X3.2 |