医影在线

标题: CT11383B:(复查)F,43Y。颅脑外伤——仅仅为蛛网膜下腔出 [打印本页]

作者: 随光逐影    时间: 2008-2-17 00:21
标题: CT11383B:(复查)F,43Y。颅脑外伤——仅仅为蛛网膜下腔出
ct11383: http://www.radida.com/bbs/forum.php?mod=viewthread&tid=33998

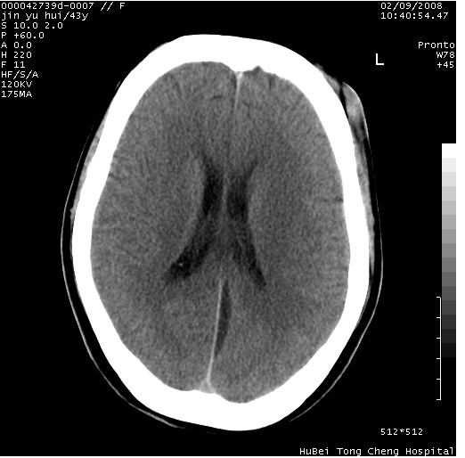
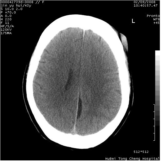
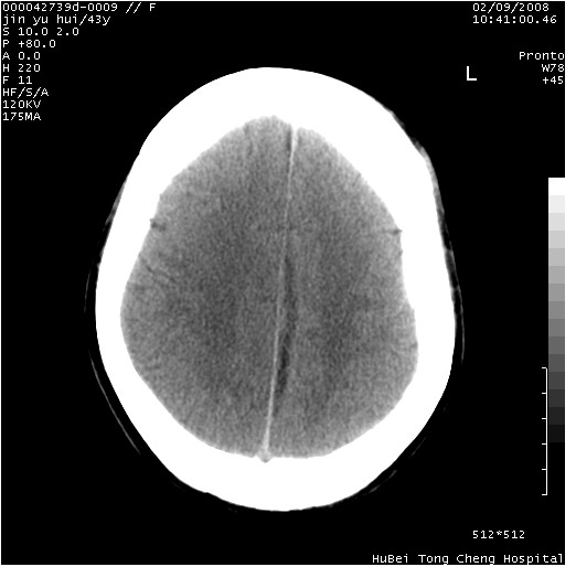
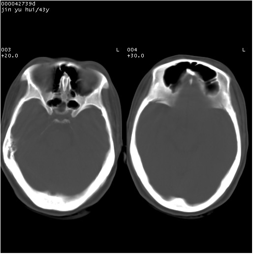
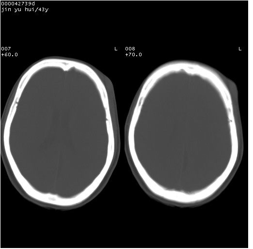
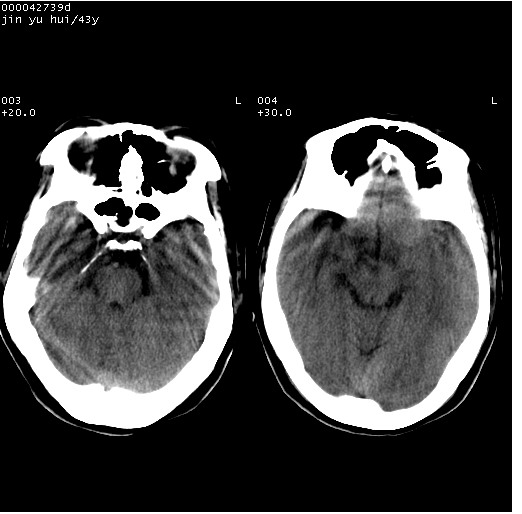
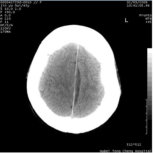
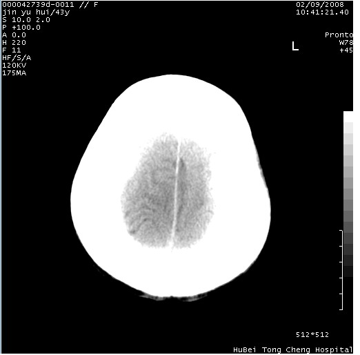
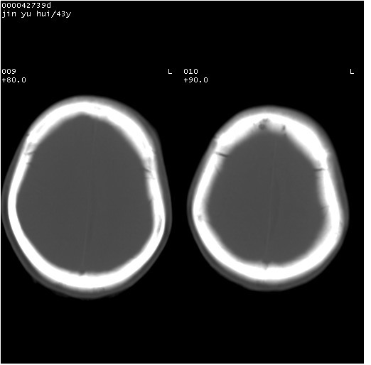
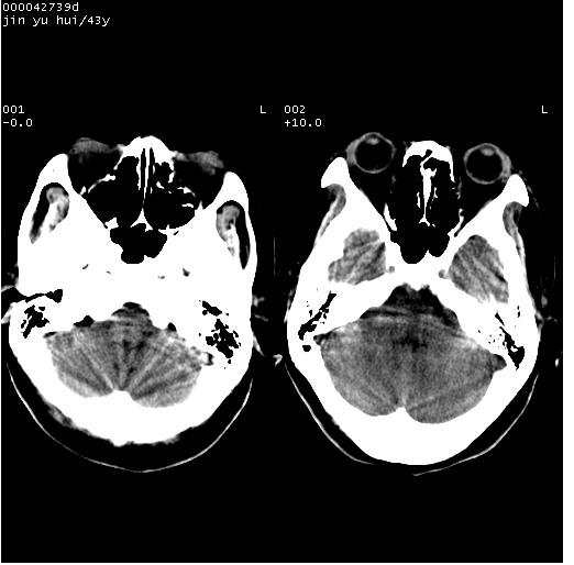
患者 女,43岁。头部外伤26天,经住院治疗,现头痛减轻。申请ct复查,了解颅内情况。

临床诊断:2级脑外伤。

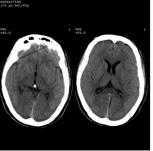
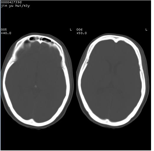
颅脑ct轴位平扫(层厚、层距均为10mm),图像如下:

















[本贴已被 jiajie 于 2008-2-16 17:58:01 修改过]

作者: 894072    时间: 2008-2-17 01:37
伴硬膜下水瘤
作者: 宇宙CT    时间: 2008-2-17 01:59
硬膜下水瘤
作者: 道哥    时间: 2008-2-17 02:36
纵裂旁硬膜下水瘤,左额部头皮肿胀
作者: 光线    时间: 2008-2-17 02:41
标题: 结合病史
大脑镰左旁硬膜下血肿慢性期。

[本贴已被 光线 于 2008-2-16 18:42:13 修改过]

作者: 同    时间: 2008-2-17 03:05
标题: 回复:ct11383b:(复查)f,43y。颅脑外伤——仅仅为蛛网膜
以下是引用光线在2008-2-16 18:41:00的发言:[br]大脑镰左旁硬膜下血肿慢性期。[br][br]
[本贴已被 光线 于 2008-2-16 18:42:13 修改过]

作者: 杀毒软件    时间: 2008-2-17 04:29
标题: 回复:ct11383b:(复查)f,43y。颅脑外伤——仅仅为蛛网膜
以下是引用光线在2008-2-16 18:41:00的发言:[br]大脑镰左旁硬膜下血肿慢性期。[br][br]
[本贴已被 光线 于 2008-2-16 18:42:13 修改过]

作者: 旭阳    时间: 2008-2-17 04:37
大脑镰左旁慢性硬膜下血肿.
作者: 卜一    时间: 2008-2-17 04:50
以下是引用光线在2008-2-16 18:41:00的发言:
大脑镰左旁硬膜下血肿慢性期。

支持!
作者: HARRY    时间: 2008-2-17 04:52
蛛网膜硬膜外积液
作者: panyishengct    时间: 2008-2-17 05:03
大脑镰左旁慢性硬膜下血肿.
作者: gaoshengjiang    时间: 2008-2-17 05:06
左大脑镰旁硬膜下慢性血肿。
作者: zjzjr    时间: 2008-2-17 05:48
大脑镰左旁慢性硬膜下血肿.左额部头皮血肿.
作者: zsl6918    时间: 2008-2-17 06:01
标题: 回复:ct11383b:(复查)f,43y。颅脑外伤——仅仅为蛛网膜
大脑镰左旁慢性硬膜下血肿.
作者: 拾荒者    时间: 2008-2-18 04:48
大脑镰左旁慢性硬膜下血肿.左额部头皮血肿.
作者: ysxyy    时间: 2008-2-19 00:44
是不是应该为:大脑镰左旁硬膜下血肿吸收期更妥当些;
作者: 宝天曼    时间: 2008-2-19 03:42
以下是引用光线在2008-2-16 18:41:00的发言:
大脑镰左旁硬膜下积液
作者: jinguoji    时间: 2008-3-29 22:07
大脑镰左旁慢性硬膜下血肿.




欢迎光临 医影在线 (http://bbs.radida.com/bbs/) Powered by Discuz! X3.2