医影在线

标题: X3412:左胫腓骨外伤 [打印本页]

作者: wy232326    时间: 2008-2-17 19:47
标题: X3412:左胫腓骨外伤
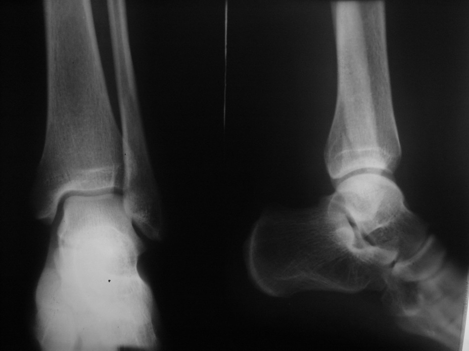
患者 男26岁 左胫腓骨扭伤






[本贴已被 翁志蓬 于 2008-2-17 23:04:30 修改过]

作者: ZHANGZHONGSHOU    时间: 2008-2-17 19:54
1、外踝骨折。
2、腓骨下端内生骨瘤,即骨岛。
作者: 731208    时间: 2008-2-17 20:15
1、外踝骨折。
2、腓骨下端内生骨瘤,即骨岛。  
   

zhangzhongshou说
支持
作者: hexue    时间: 2008-2-17 20:23
左侧外踝骨折
作者: 杀毒软件    时间: 2008-2-17 20:34
左侧外踝骨折,骨岛.
作者: xuhuihong    时间: 2008-2-17 20:45
1、外踝骨折。
2、腓骨下端内生骨瘤,即骨岛。怎么有这么多的伪影。
作者: jinguoji    时间: 2008-2-17 20:58
1、外踝骨折。
2、腓骨下端内生骨瘤,即骨岛。
作者: 黑白光影    时间: 2008-2-17 21:59
标题: 回复:左胫腓骨外伤
以下是引用zhangzhongshou在2008-2-17 11:54:00的发言:[br]1、外踝骨折。[br]2、腓骨下端内生骨瘤,即骨岛。

作者: taky    时间: 2008-2-17 22:07
标题: 回复:左胫腓骨外伤
以下是引用zhangzhongshou在2008-2-17 11:54:00的发言:[br]1、外踝骨折。[br]2、腓骨下端内生骨瘤,即骨岛。

作者: dyqct    时间: 2008-2-18 01:13
支持外踝斜形骨折,腓骨骨岛。
作者: 随光逐影    时间: 2008-2-18 02:23
支持  左侧外踝骨折,左腓骨中下段骨岛。
作者: yangyudong333    时间: 2008-2-18 03:11
1、外踝骨折。
2、腓骨下端内生骨瘤,即骨岛
作者: xulianj    时间: 2008-2-18 03:27
1、外踝骨折。
2、腓骨下端内生骨瘤,即骨岛。
作者: luoxinjun    时间: 2008-2-18 04:21
1、外踝骨折
2、腓骨下端骨岛
作者: 天天向上CR    时间: 2008-2-18 16:11
支持外踝斜形骨折,腓骨骨岛。
作者: 宇宙CT    时间: 2008-2-18 19:19
1、外踝骨折。
2、腓骨下端内生骨瘤,即骨岛。
作者: ljj88    时间: 2008-2-19 19:03
左侧外踝骨折,骨岛
作者: 358450m    时间: 2008-2-19 21:39
、外踝骨折。
2、腓骨下端内生骨瘤
作者: 求智123    时间: 2008-2-20 18:17
1、外踝骨折
2、腓骨下端骨岛
作者: zhangxiangjun    时间: 2008-2-21 07:50
1、外踝骨折。
2、腓骨下端内生骨瘤,即骨岛。
作者: gjj6818    时间: 2008-2-21 17:23
左侧外踝骨折,骨岛.
作者: shibing    时间: 2013-10-7 12:57
1、外踝骨折。
2、腓骨下端内生骨瘤,即骨岛。




欢迎光临 医影在线 (http://bbs.radida.com/bbs/) Powered by Discuz! X3.2