












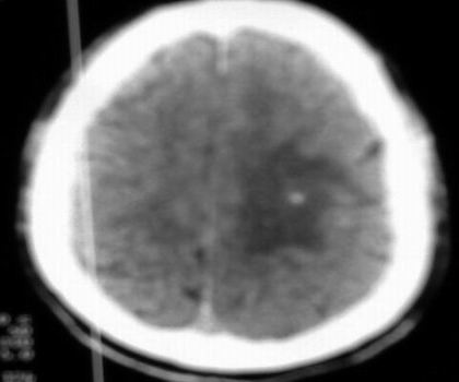
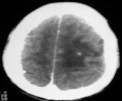
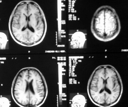
以下是引用杀毒软件在2008-2-17 14:43:00的发言:[br]左顶叶见片状低密度影,内见点状影,占位效应不明显。[br]左顶叶结核性肉芽肿可能性大。脑囊虫病?做补体结合试验除外。
以下是引用dyqct在2008-2-17 17:19:00的发言:[br][quote]以下是引用杀毒软件在2008-2-17 14:43:00的发言:[br]左顶叶见片状低密度影,内见点状影,占位效应不明显。[br]左顶叶结核性肉芽肿可能性大。脑囊虫病?做补体结合试验除外。[/quote[br]支持!!
| 欢迎光临 医影在线 (http://bbs.radida.com/bbs/) | Powered by Discuz! X3.2 |