















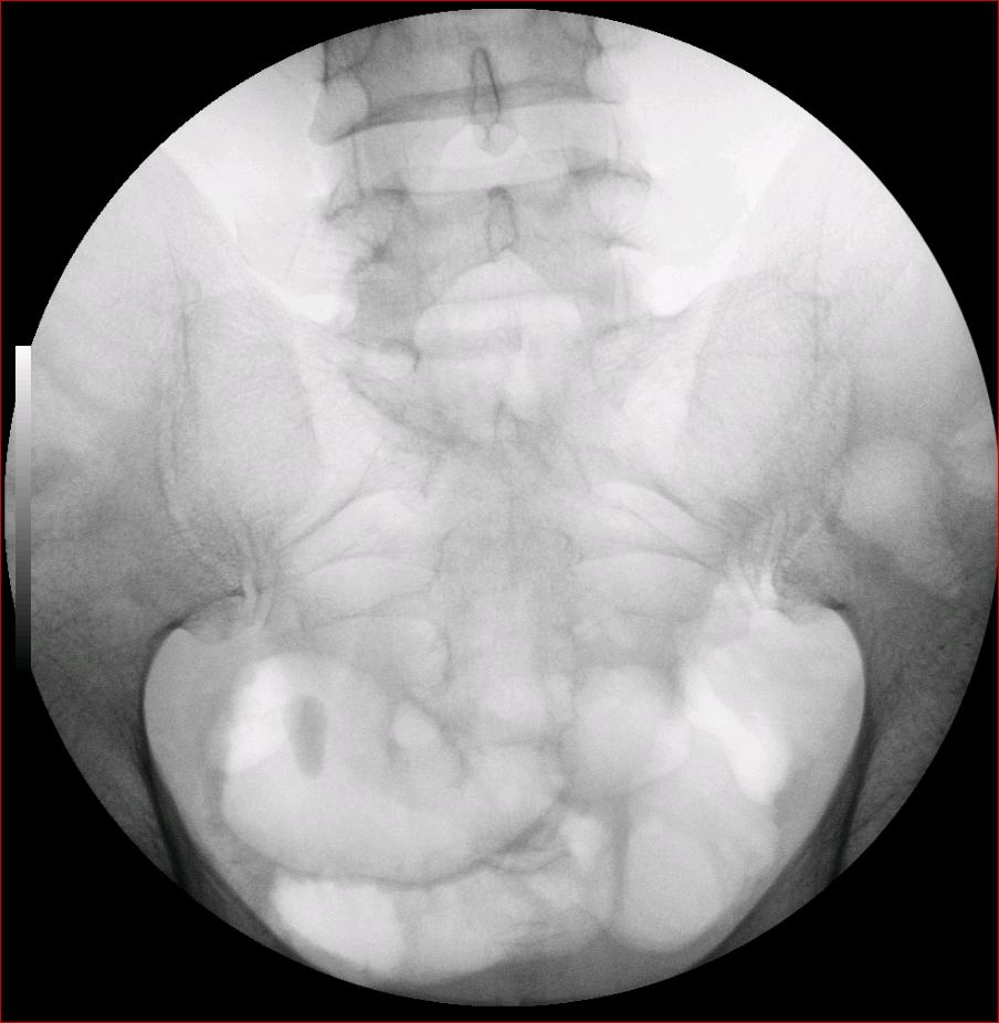
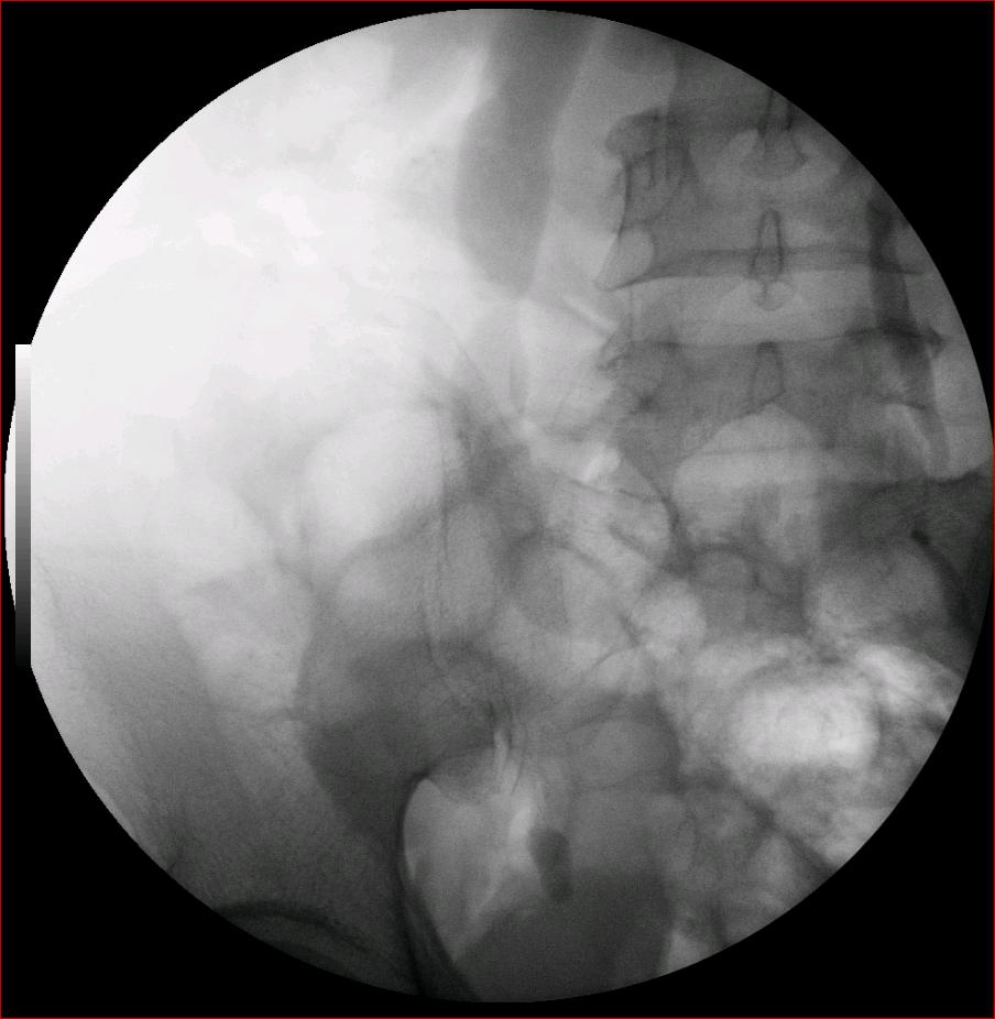
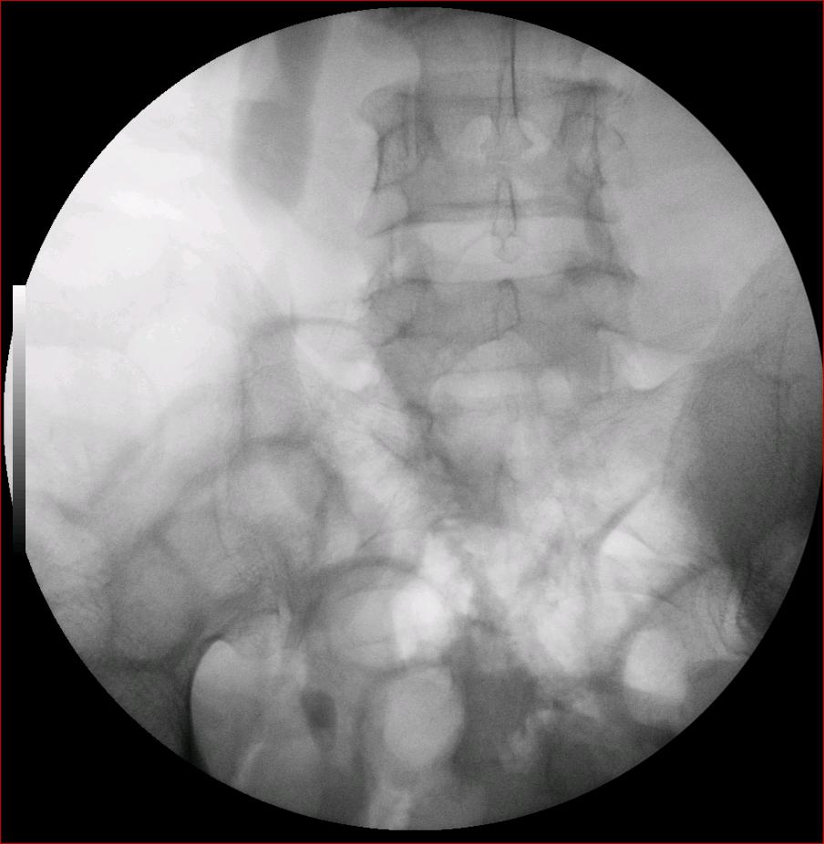
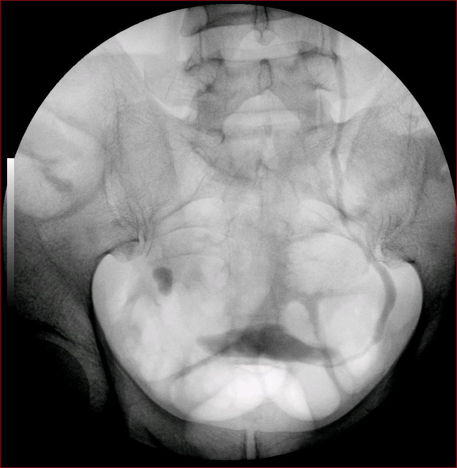
以下是引用luoxinjun在2008-2-18 15:54:00的发言:[br]右肾积水,右输尿管下端结石
以下是引用zhangxiangjun在2008-2-18 21:01:00的发言:[br]右输尿管盆段末端结石,继发其近端输尿管、右肾积水。
以下是引用hexue在2008-2-18 17:33:00的发言:[br]右输尿管下段结石并右肾及右输尿管积水扩张
以下是引用杀毒软件在2008-2-18 16:24:00的发言:[br]右输尿管下段结石,肾盂积水。
| 欢迎光临 医影在线 (http://bbs.radida.com/bbs/) | Powered by Discuz! X3.2 |