










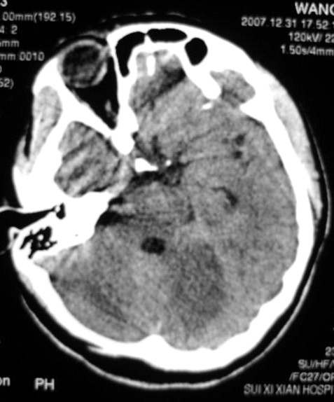
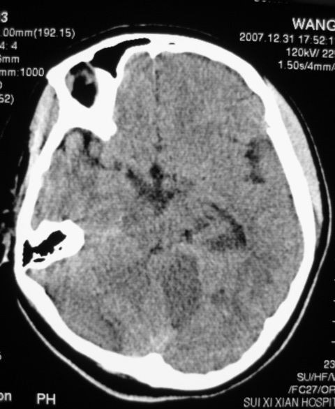
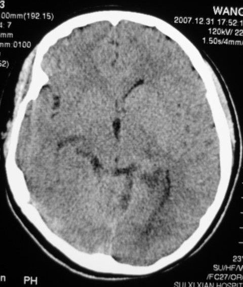
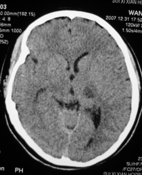
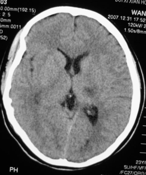
以下是引用zjzjr在2008-2-19 15:45:00的发言:[br]左侧小脑缺血性脑梗塞,基底节区脑梗塞,强烈建议血管造影,除外烟雾病。
以下是引用玉真在2008-2-19 17:46:00的发言:[br]多发性脑梗塞,不知病人是否有风心或先心病史
以下是引用zjzjr在2008-2-19 15:45:00的发言:[br]左侧小脑缺血性脑梗塞,基底节区脑梗塞,强烈建议血管造影,除外烟雾病。
| 欢迎光临 医影在线 (http://bbs.radida.com/bbs/) | Powered by Discuz! X3.2 |